| 編號 | | | 治療項目 | | | 標題 |
|---|---|---|---|---|
| 1 | 齒顏矯正 | 平凡很好,不平凡更好 | ||
| 2 | 齒顏矯正 | 浩呆小男生變身酷帥型男 | ||
| 3 | 齒顏矯正 | 嘴唇閉不合的暴牙小姐,變身人見人愛的親善美女 | ||
| 4 | 齒顏矯正 | 漂亮還可以更漂亮!3D齒顎顏雕塑秘技 | ||
| 5 | 齒顏矯正 | 脫胎換骨矯正術-翹唇暴牙小公主 變身 氣質可愛美少女 |
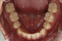
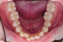
K小姐/平凡很好,不平凡更好2013-09-02
以前我都不懂的要如何愛護牙齒,導致牙齒蛀一堆,尤其是上下的門牙,只能說:當時真糗!而且還差一點點要拔光光才有救。在敬偉葉醫師不但幫我把門牙保住了,就連可能會成為禍害的智齒都能利用矯正的方式拿來利用,還幫我省掉了一大筆的植牙費用,真可以說是太神奇了。現在我懂得好何照顧我的牙齒,每天都可以漂漂亮亮、自信滿滿的面對所有人,這都要感謝敬偉的葉醫師。
S先生/浩呆小男生變身酷帥型男2013-06-28
還沒矯正前總覺得下排牙齒不整齊,沒什麼大不了的。現在矯正完成了我發覺真是好處多多,像吃東西不容易卡牙縫,刷牙也比較容易清潔,當然,最最最......為重要的一點就是--變帥了。
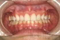
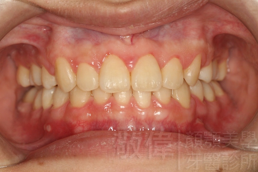
G小姐/嘴唇閉不合的暴牙小姐,變身人見人愛的親善美女2013-05-27
以前我的牙齒因為極度的混亂不整齊,一度不管做什麼都缺少一點自信,現在的智慧型手機盛行,隨手就可以自拍、打卡,當時的我最不喜歡的就是拍照了。自從矯正完成後,我的人生整個都不一樣了,人際關係也變得更好了,朋友的邀約不斷,生活更多采多姿。現在的我很願意分享我每天的點滴,所以自拍、打卡也變成我最喜歡的事了!
C小姐/漂亮還可以更漂亮!3D齒顎顏雕塑秘技2013-06-01
各位沒有看錯,我就是那個有點Baby fat、又有點美的小助理,我的阿那達對我現在的臉型都讚不絕口,真多虧了葉醫師高明的神奇矯正,葉醫師,謝謝您!
K小妹/脫胎換骨矯正術-翹唇暴牙小公主 變身 氣質可愛美少女2013-06-01
回想起剛戴上bling bling的矯正器當時,有的男同學還會幫我取什麼鋼牙妹這種奇怪的綽號。有時候,同學玩笑開過了火,我總是讓含著淚回家,我告訴我自己這一切的辛苦一定是值得的。現在,再見到以前那些調皮愛捉弄我的男同學,現在看我的眼神和說話的內容都不一樣。這讓我深深的感受到,外在會影響一個人的自信和別人的態度。所以我要感謝我有很疼我的父母,願意為了我花那麼多心力,找到敬偉牙醫的葉醫師,讓我的人生有這麼棒的轉變。














第 1 / 2 頁





















昶遠資訊 牙醫234