| 編號 | | | 治療項目 | | | 標題 |
|---|---|---|---|---|
| 1 | 人工植牙 | 重拾品嚐美食的喜悅 | ||
| 2 | 齒顏矯正 | 平凡很好,不平凡更好 | ||
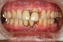
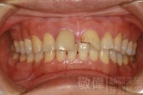
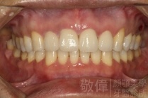
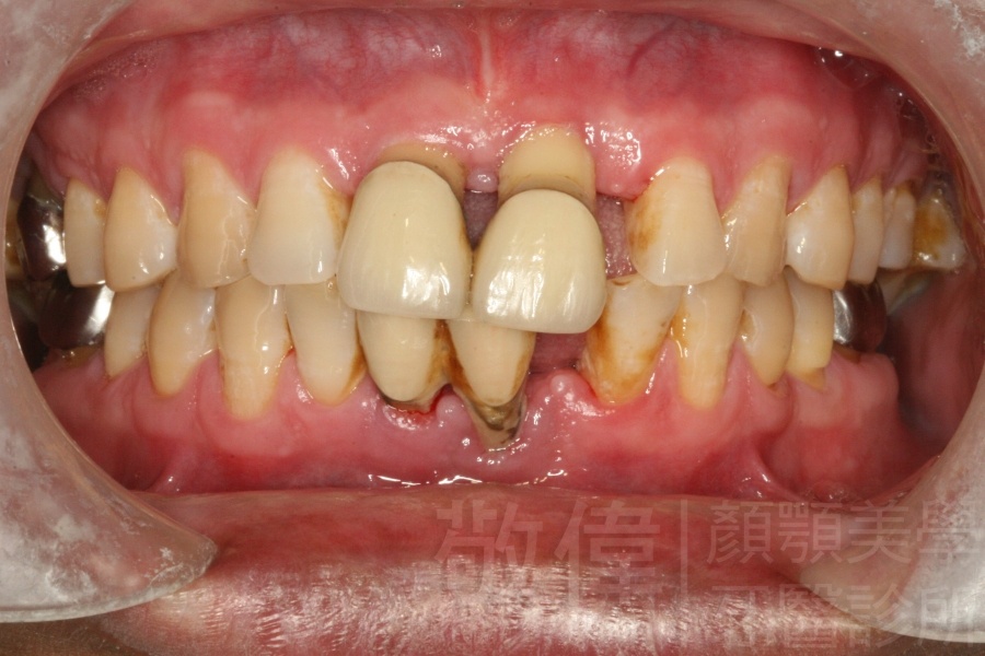
| 3 | 人工植牙 | 治療牙周和植牙矯正重建咬合 | ||
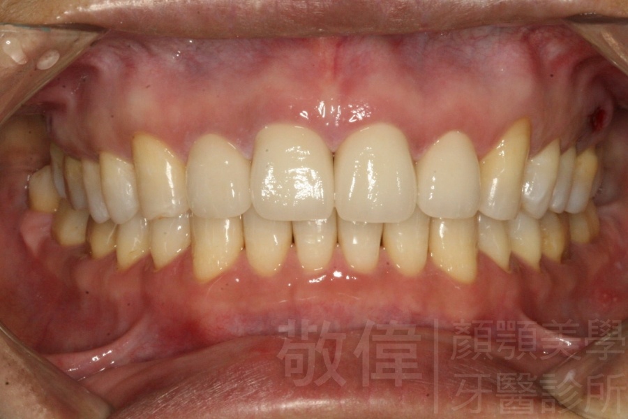
| 4 | 前牙美容 | 晶鑽全瓷冠前牙美容 | ||
| 5 | 人工植牙 | 18年來的第一顆土豆和芭樂 |
Y先生/重拾品嚐美食的喜悅2013-11-20
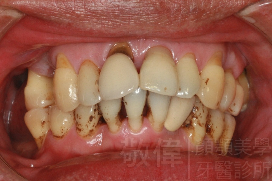
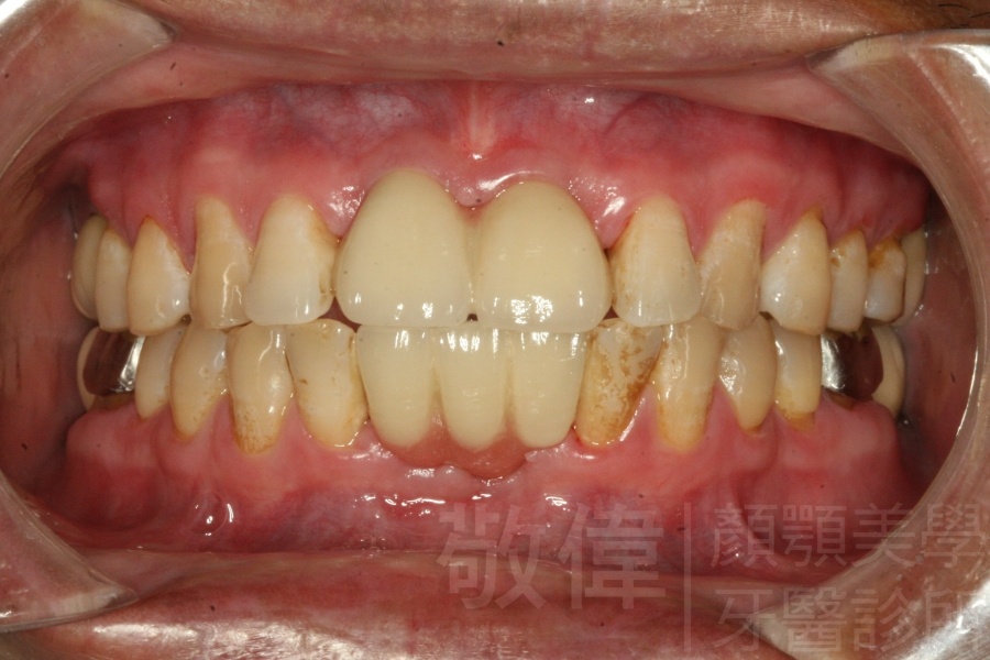
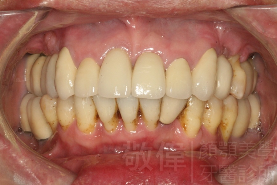
我因門牙斷裂,因此在吃東西時常會有無法咬合,也常有許多的美食無法享用,後經葉醫師診斷後,建議我做植牙手術,後來因牙齒健康讓我可可再吃到許多美食,在此感謝葉醫的診療。
K小姐/平凡很好,不平凡更好2013-09-02
以前我都不懂的要如何愛護牙齒,導致牙齒蛀一堆,尤其是上下的門牙,只能說:當時真糗!而且還差一點點要拔光光才有救。在敬偉葉醫師不但幫我把門牙保住了,就連可能會成為禍害的智齒都能利用矯正的方式拿來利用,還幫我省掉了一大筆的植牙費用,真可以說是太神奇了。現在我懂得好何照顧我的牙齒,每天都可以漂漂亮亮、自信滿滿的面對所有人,這都要感謝敬偉的葉醫師。














第 1 / 4 頁




















昶遠資訊 牙醫234