| 編號 | | | 治療項目 | | | 標題 |
|---|---|---|---|---|
| 1 | 人工植牙 | 有了牙齒,生活像一尾活龍! | ||
| 2 | 齒顏矯正 | 浩呆小男生變身酷帥型男 | ||
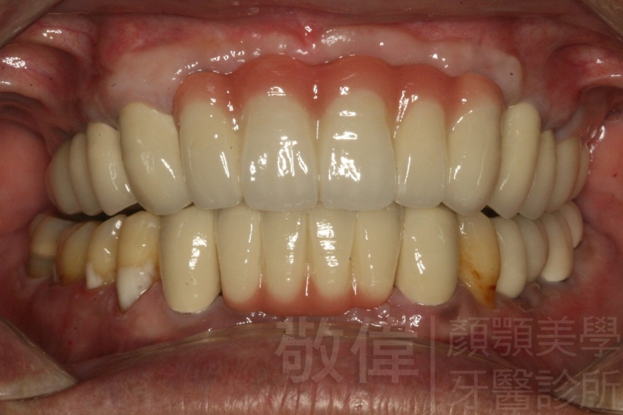
| 3 | 人工植牙 | 恢復帥氣自信的笑容 | ||
| 4 | 人工植牙 | 大吃大笑的感覺真好 | ||
| 5 | 齒顏矯正 | 嘴唇閉不合的暴牙小姐,變身人見人愛的親善美女 |
S先生/浩呆小男生變身酷帥型男2013-06-28
還沒矯正前總覺得下排牙齒不整齊,沒什麼大不了的。現在矯正完成了我發覺真是好處多多,像吃東西不容易卡牙縫,刷牙也比較容易清潔,當然,最最最......為重要的一點就是--變帥了。
L先生/恢復帥氣自信的笑容2013-05-31
我是個嚴重的牙周病患者,牙周病一直苦惱著我,在治療前我都只能吃不太需要咬的食物,跟本就忘了牛排、豬排、雞排是什麼樣的味道了。我一度以為這就是我往後的人生了,直到我來到敬偉做牙周病深度治療和人工植牙。現在的我謹尊葉醫師的指示,除了金、銀、銅、鐵、鑽石和骨頭不要吃,什麼都可以吃。從這一刻起,我一定好好的照顧我的牙齒,可以陪我到永遠。
G小姐/嘴唇閉不合的暴牙小姐,變身人見人愛的親善美女2013-05-27
以前我的牙齒因為極度的混亂不整齊,一度不管做什麼都缺少一點自信,現在的智慧型手機盛行,隨手就可以自拍、打卡,當時的我最不喜歡的就是拍照了。自從矯正完成後,我的人生整個都不一樣了,人際關係也變得更好了,朋友的邀約不斷,生活更多采多姿。現在的我很願意分享我每天的點滴,所以自拍、打卡也變成我最喜歡的事了!







































昶遠資訊 牙醫234