敬偉牙醫診所
敬偉牙醫診所
敬偉牙醫診所
首頁  |  患者見證

敬偉牙醫診所敬偉牙醫診所第 2 / 2 頁敬偉牙醫診所敬偉牙醫診所  

編號 | 治療項目 | 標題
1   齒顏矯正   天壤之別的矯正-大暴牙 變身 時尚美女
2   齒顏矯正   像住樓中樓的牙齒
敬偉牙醫診所敬偉牙醫診所第 2 / 2 頁敬偉牙醫診所敬偉牙醫診所  


敬偉牙醫診所

C小姐/天壤之別的矯正-大暴牙 變身 時尚美女2013-06-01

敬偉牙醫診所

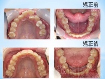
P小妹/像住樓中樓的牙齒2013-06-01

以前我上排的牙齒就好像是樓中樓,當然對於年紀還小的我來說跟本是不以為意,後來我也漸漸發現每次吃東西總是特別容易卡殘渣,一不注意清潔就會被別人知道,我剛吃了什麼好料的,只能說當時真糗。還好我來到了敬偉牙醫,由葉醫師幫我把像閣樓的牙齒排列整齊。現在不僅是門面變好看了,就算在偷吃了香噴噴的雞排,也都沒有被媽媽發現。當然最重要的一點就是,現在的笑容我自己照鏡子看都覺得好開心,那大家覺得呢?

敬偉牙醫診所