
敬偉3D斷層數位影像矯正
本院院長葉泰榮醫師,於研究所及美國紐約大學求學期間,專攻顏顎美學矯正(Dentofacial Orthodontics and Orthopedics),跳脫一般的傳統齒列矯正技術,提供最高標準的顏顎矯正治療,讓矯正技術升級成為美顏齒顎矯正,也能有微整型型及肉毒的效果。
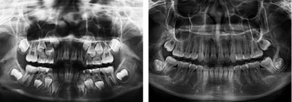
本院斥資千萬引進國內最先進3D全臉型斷層掃描儀器系統。為雙北市唯一也是第一台的Vatech大型手術型及矯正型機種。可以精密診斷出牙齒歪斜狀況,提供精準的牙齒矯正建議及評估。
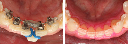
傳統矯正
本院採用世界知名大廠3M矯正器系統,有金屬和陶瓷兩種自鎖式矯正器可供選擇。因為沒有橡皮圈綁在牙齒上,使矯正器更易保持清潔,佩戴起來更加舒適,還可使牙齒更快地移動,大幅縮短整個療程時間。陶瓷自鎖式矯正器的顏色於牙齒然一體,讓您就算不是選用隱形矯正,依然是美麗大方、帥氣有型。

局部矯正
針對於齒列中小部分的不正去做調整,最常見也最重要的優點就是,可以省去做假牙或是植牙的可能。
舌側矯正
顧名思義就是將矯正器由頰側的牙面改黏在舌側或顎側,矯正期間不易被發覺,屬於隱形矯正的一種,效果又比牙套式的隱形矯正有效率,對於不想被人發現在做矯正或是對外型非常要求的人非常合適。
生長誘導性矯正
最常發生在換牙期間的小朋友,我們用專業的設備和技術預測控制將來牙齒的生長,與期說是預測,不如說是我們引導恆牙的生長,一步一步長在我們希望或預期的地方。
免植牙矯正
主要的目的就是為了要保留住原來的牙齒,並且恢復他原本的功能,還可以省去一筆昂貴的植牙費用,可以說是一舉數得。無論科技如何進步,植體設計的多好,都不會比自己的真牙來的好。
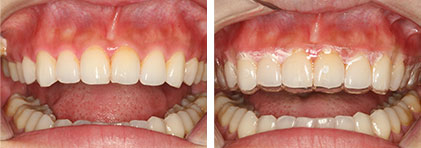
美顏矯正
齒列的改變會影響到臉型的變化,最明顯的就是暴牙造成的嘴唇無法自然閉合,嚴重的影響到整體的美觀。不過大家不知道的部分就是,本院葉醫師最引以為傲的矯正技術,不僅可以把患者的牙齒排列整齊,還可以讓矯正在沒有做整型手術的前提下,進一步的達到微整型或打肉毒的效果。
變臉矯正
這是屬於前後差異最明顯的矯正,最具代表性的是嚴重戽斗的患者,有時為了讓治療的效果更好,除了配戴矯正器、面弓等矯正器具之外,可能還要進一步搭配口腔外科的正顎手術治療。本院會為這類的患者做一個完整的分析,再提出最適合的治療計畫,令整個矯正療程能在患者全盤清楚,完全配合情況下順利完成。
隱形矯正
隱形、舒適、美麗的新選擇!數位隱形矯正是透過一系列透明、舒適而又可取下的「數位隱形牙套」把牙齒矯正整齊。不論牙齒是太擠、太疏或從前矯正過的牙齒已經移位。只須要每兩週更換一副新的牙套,牙齒便會慢慢被矯正排列整齊。數位隱形矯正採用先進的斷層掃瞄及電腦科技,結合本院醫師專業的診斷治療,再利用獨家專利研發的電腦軟體,模擬患者牙齒的治療移動情形,透過電腦鉅細靡遺的呈現在你眼前。這不僅讓醫師能仔細分析臨床上的治療,並且讓患者在矯正療程開始之前,就能了解牙齒移動的整個過程,讓患者對矯正效果有加倍的信心。
矯正專屬服務
見證矯正後的改變一直是所有的家長或是患者最期待的事,但是戴上傳統矯正器期間最麻煩的不外乎口腔的清潔,也是最重要的部分。試想,如果矯正結束後,牙齒也都蛀光光了,那這段時間的辛苦和心血不就白費了嗎。有鑑於此,本院葉醫師特別重視這一點,對於本院的矯正患者,提供矯正期間不限次數的免費潔牙指導,甚至還準備了專業的潔牙教室,可提供更多需要潔牙指導的患者練習使用。為了要進一步對牙齒做防蛀處理,我們還提供了三次的全口塗氟的服務及半年一次的防蛀處理。
整個矯正的療程要定期追蹤回診,我們定期至少每2~3個月會對口內及外型的做一個完整的照相紀錄,紀錄矯正期間臉型及齒列的各種變化,適時的修正與調整。
矯正治療要對整個臉型做精密的計算和預測,本院也提供矯正前後的口內照片、外型照片、3D斷層攝影、2D全口、側顱、正顱X光的拍攝。待矯正完成後再提供一付矯正維持器,確保矯正後的牙齒可以維持在最好的位置。
我們有最完備的的矯正流程與計畫,從患者踏進本院決定徹底改造之後,我們提供的是一系列全方位的服務。針對於矯正期間可能會發生的狀況,我們用專業技術和用心服務將可能性降至最低,讓家長或患者無後顧之憂的等待矯正完成後的蛻變。
雖然齒顎矯正的治療能帶給患者整齊的牙齒、良好的咬合及迷人的微笑,但如同所有的醫療行為,治療過程中存在著許多不確定的因素,因此無法百分之百地保證達到預期的評估及治療的效果。不過,假如您在治療前充分了解本人或患者的治療流程、牙齒與顎骨之問題所在及治療可能發生的問題,並於治療期間充分地合作,則將會得到良好且另人滿意的治療結果。












昶遠資訊 牙醫234