
首頁 | 診療項目
口腔外科
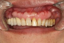
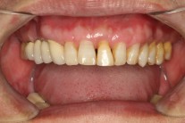
骨瘤多發生於膜內成骨的骨骼,常見於顱面骨,稱「骨旁骨瘤」;偶爾也見於軟組織,稱骨外骨瘤。膜內成骨的骨瘤可隨骨骼發育成熟而停止生長,此病有遺傳性。骨瘤是骨膜性成骨過程異常引起骨組織過度增殖形成的一種良性腫瘤,它不是真正腫瘤,而是一種錯構瘤,也有人認為是一種骨組織異常的緻密性增殖。

骨瘤(osteoma)是一種良性病損,據文獻記載有可能是胚胎殘留、外傷、感染、內分泌紊亂以及遺傳等說法,多見於顱、面各骨,由生骨性纖維組織、成骨細胞及其所產生的新生骨所構成,含有分化良好的成熟骨組織,並有明顯的板層結構,骨瘤伴隨人體的發育而逐漸生長,當人體發育成熟以後,大部分腫瘤亦停止生長。無癥狀的腫瘤可能終其一生都未被發現。對癥狀輕者可採取對症治療,不需手術切除;若腫瘤生長很快,或成年後仍繼續生長,則需手術切除。對突出於骨外的骨瘤,可自根部切除;切除不徹底時易復發。

一般來說,只要是良性的,不一定要切除。但只要是會影響到發音、咀嚼、外觀、易破皮造成傷口、有異物感等狀況,牙醫師會建議切除。骨瘤切除手術屬健保支付範圍,本院會再對患部提供拍攝照片、3D斷層攝影,作詳盡分析後,訂定一套完整的治療計畫,令患者在術前身心方面都能作好萬全的準備。












昶遠資訊 牙醫234