
「美齒重塑」最重視全口微笑整體感,所以牙醫師的審美能力及操作技巧,決定治療結果。本院葉醫師於美國紐約大學求學期間,研修顏顎美學專科,在牙齒與顏面顎間整體的比例特別挑剔。再利用最先進的3D數位斷層掃描,更進一步的計算出臉部肌肉、骨頭與牙齒之間的完美比例。
有的患者求診前表情嚴肅,或是含蓄害羞,經了解後發現其實是「不好意思笑」,因為覺得不好看。若再追溯根本的原因就在於牙齒。牙齒不好看有可能是天生,也有可能是後天,不論是哪一種,我們都可以透過本院的最專業技術將它重建或是恢復。
本院葉醫師專攻顏顎美學,會對每一患者做完整的紀錄與分析,再為每位患訂定適當的治療計畫,量身訂做出最佳的微笑曲線。不論是齒列凌亂、暴牙、做過根管治而變色的牙齒,或是其它因素,都可以有機會擁有一口亮白整齊的美齒。
本院美齒治療最大的特色可以說是按步就班,也可以說是因人而異。所謂按步就班是指:數位檢查、口內外紀錄、治療及服務一樣也不少。而因人而異是依照患者的需求及口腔狀況訂定合適的治療計畫。
美齒重塑治療可以是齒列不整、蛀牙、缺牙、牙齒顏色偏黃偏暗等等:
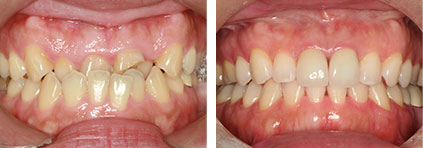
1.齒列不整:
一般來說齒列不整都會建議用矯正的方式治療,但可能因患者需求可以採用晶瓷冠來代替治療。好處是除了排列外,對不滿意的牙齒顏色、大小、形狀都可以同時做修正,治療的時間也遠遠少於矯正的時間,所以此類治療也稱為快速矯正。

2.蛀牙:
如果太嚴重就必須要做根管治療,根管治療後的牙齒如果沒有做強化,這顆牙齒可能很快就會裂掉,所以必須加入柱釘,再套上牙冠來保護這個牙齒。在前牙的部分,基於美觀上的考量,我們會建議患者選用跟真牙最為相近的全瓷冠,讓整體的色澤看起來跟真牙無異。

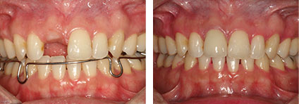
3.缺牙:
這不僅僅是美觀上嚴重的問題,還關係到牙齒的咬合,更有可能會影響到健康。目前最好的治療方式不外乎是用植牙的方式來重建。使用氧化鋯支台柱和晶瓷牙冠,療程完畢後在色澤和透光度上都跟真牙最為相近。

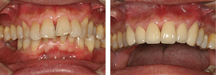
4.色澤偏黃偏暗:
牙齒的色澤不甚理想,有的人可能會考慮到做牙齒美白療程。由於美白是要用藥劑一次又一次耐心的治療,療程可能要幾個月的時間才看得出效果。我們推薦另一種較快的方式「晶瓷貼片」,貼附在原來暗沈的牙齒上,除了美觀的效果外,也可以有保護牙齒的作用。治療時間也只需要1~2個星期,所以也算是快速矯正的一種。

本院葉醫師不但臨床經驗豐富,還參與了各個定期性的技術研究討論會議,綜合各家所長,不斷的創新治療技術。美齒重塑最重要的就是要給患者笑的自信、笑的漂亮,其中這最深奧的就是牙齒和臉型又能完美的搭配,如此才算是最完美的美齒治療。












昶遠資訊 牙醫234