敬偉牙醫診所
敬偉牙醫診所
人工植牙
首頁  |  案例分享  |  人工植牙

編號 | 治療項目 | 標題
6   人工植牙   因嚴重牙周病而缺牙的植牙重建
7   人工植牙   左下後牙區植牙
敬偉牙醫診所敬偉牙醫診所第 2 / 2 頁敬偉牙醫診所敬偉牙醫診所 


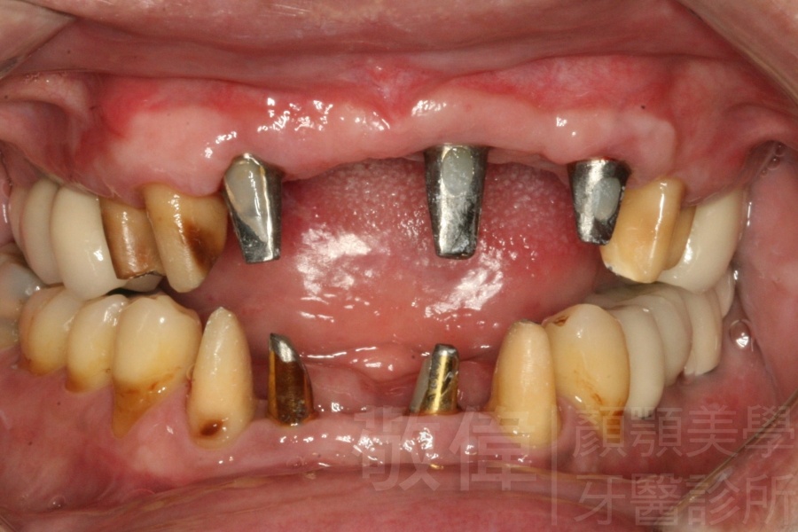
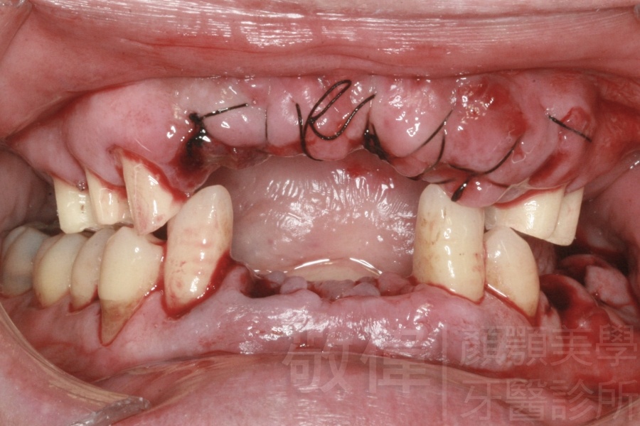
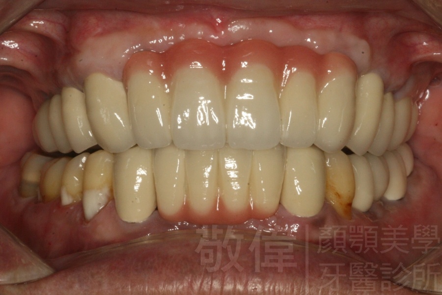
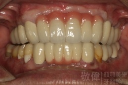
人工植牙/因嚴重牙周病而缺牙的植牙重建

嚴重牙周病   拔除牙周病牙齒
植牙的支台柱   裝上假牙完成

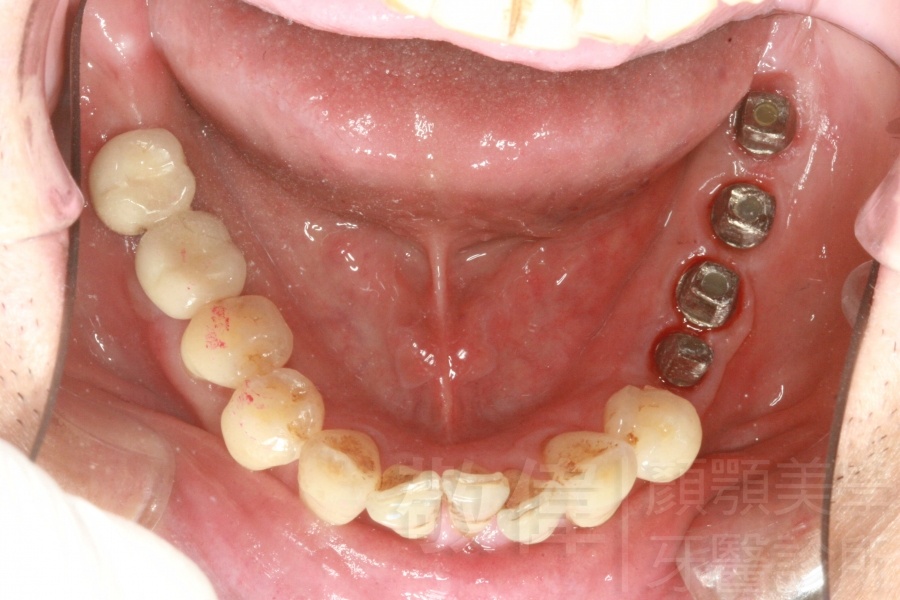
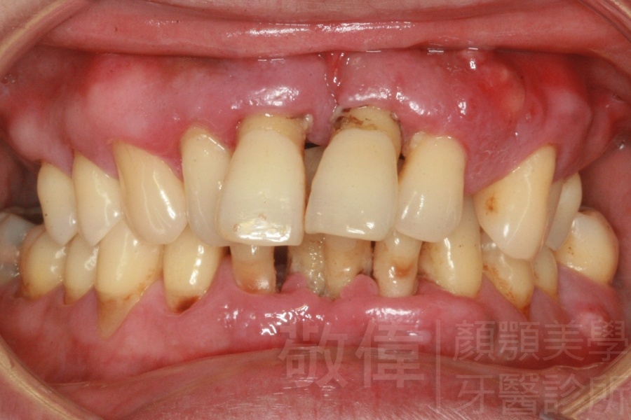
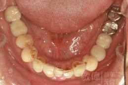
人工植牙/左下後牙區植牙

左下後牙區植牙後的支台柱   植牙後

敬偉牙醫診所