| 編號 | | | 治療項目 | | | 標題 |
|---|---|---|---|---|
| 1 | 齒顏矯正 | 矯正智齒不用植牙案例 | ||
| 2 | 齒顏矯正 | 天壤之別的矯正-大暴牙 變身 時尚美女 | ||
| 3 | 齒顏矯正 | 漂亮還可以更漂亮!3D齒顎顏雕塑秘技 | ||
| 4 | 齒顏矯正 | 嘴唇閉不合的暴牙小姐,變身人見人愛的親善美女 | ||
| 5 | 齒顏矯正 | 脫胎換骨矯正術-翹唇暴牙小公主 變身 氣質可愛美少女 |
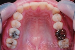
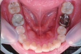
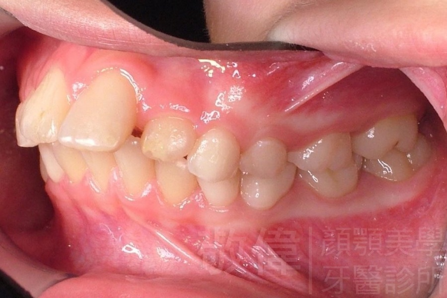
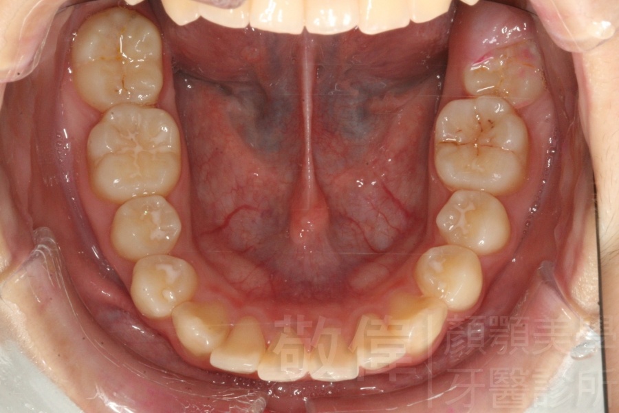
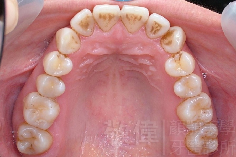
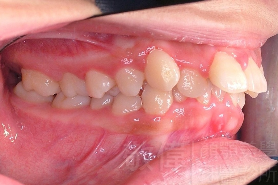
齒顏矯正/矯正智齒不用植牙案例
齒顏矯正/天壤之別的矯正-大暴牙 變身 時尚美女
齒顏矯正/漂亮還可以更漂亮!3D齒顎顏雕塑秘技
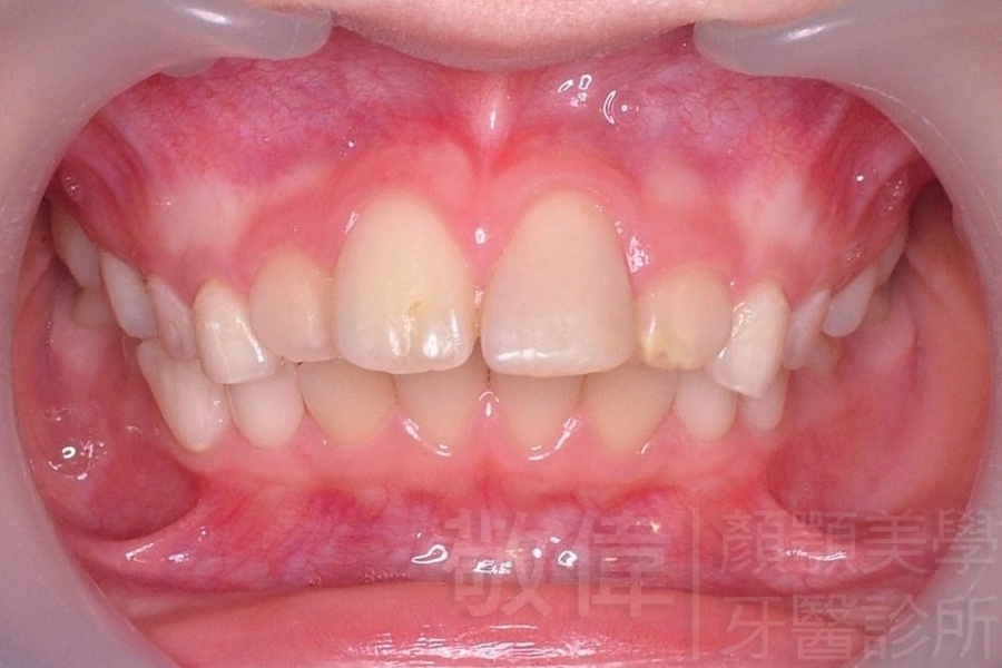
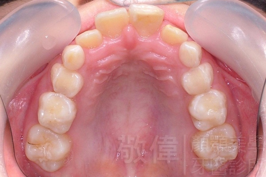
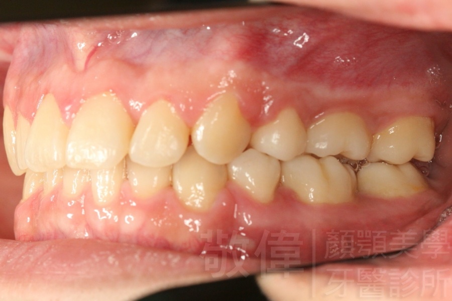
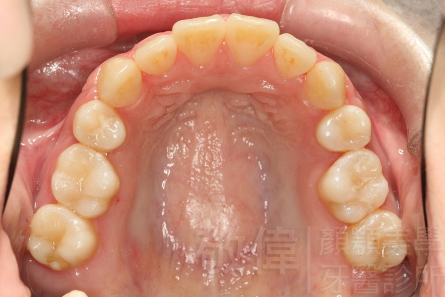
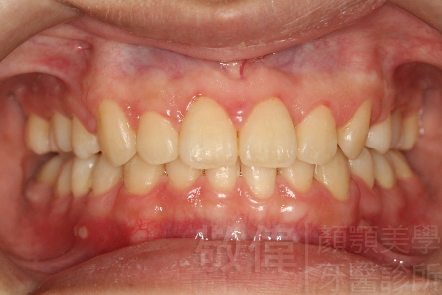
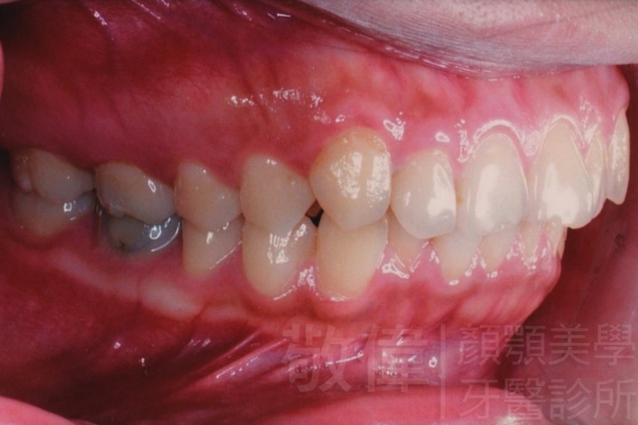
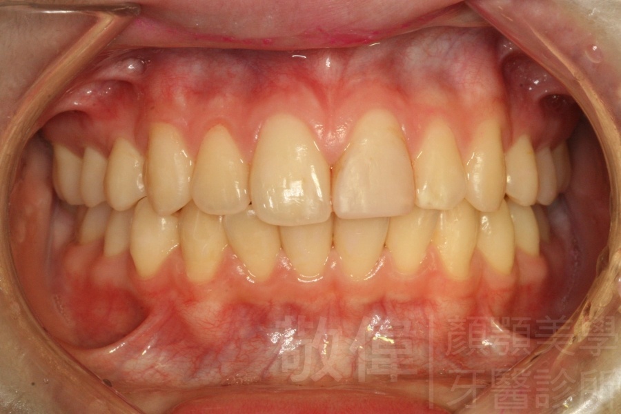
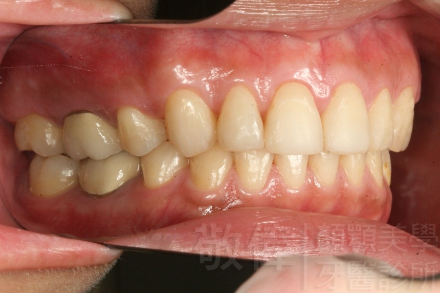
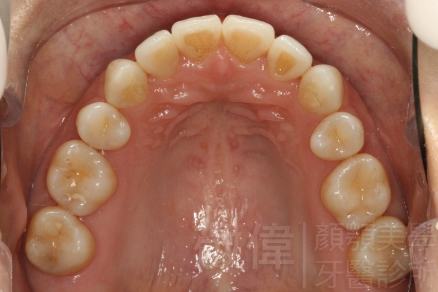
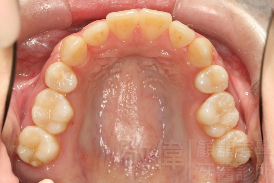
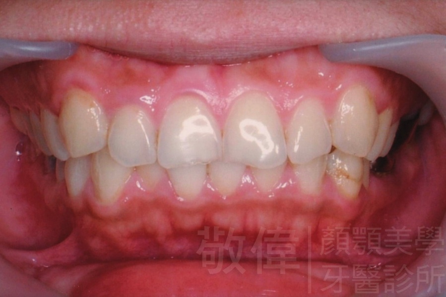
<個案說明>
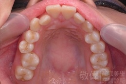
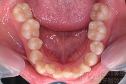
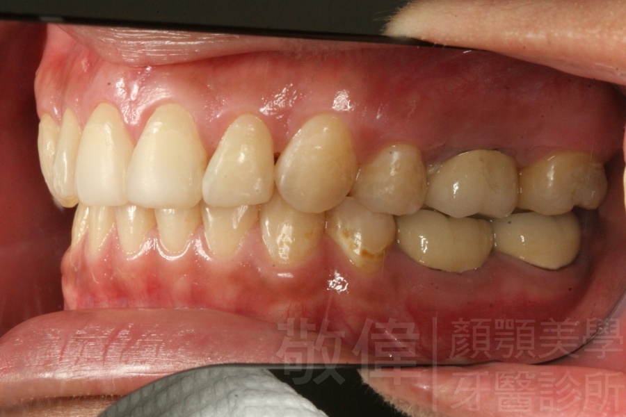
原來可就已經長得不錯的女孩經由本院的矯正技術,綜合各家之所長,再配合本院開發獨特的3D顏面設計分析的技術,設計出良好的臉型,可以把原來上顎微翹的嘴唇,配合本院3D齒顎顏雕塑秘技,達到患者更完美的臉型。
原來可就已經長得不錯的女孩經由本院的矯正技術,綜合各家之所長,再配合本院開發獨特的3D顏面設計分析的技術,設計出良好的臉型,可以把原來上顎微翹的嘴唇,配合本院3D齒顎顏雕塑秘技,達到患者更完美的臉型。
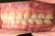
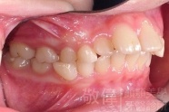
3D齒顎顏雕塑秘技-它是一種運用3D數位影像,所發展出來的齒顎顏面的美塑矯正技術 。思考更周延,設計更詳實,準確度更高,治療效果更流線、更安定、更立體,更合乎美學的要求!
矯正牙齒的位置,會進而影響骨頭的生長, 而骨頭的生長會影響顏面的輪廓!如果運用得當,可同時改善牙齒的排列,進而改善顏面的外型。
目前,矯正各家學說、理論盛行,如果能截長補短,集各家之所長 ,可將矯正技術及療效發揮得淋漓盡致。本院院長葉泰榮醫師長期對矯正科技專研進修,尤其善長「3D齒顎顏美塑矯正技術」,希望提供給患者最安全、最新、最好的技術!。齒顏矯正/嘴唇閉不合的暴牙小姐,變身人見人愛的親善美女
齒顏矯正/脫胎換骨矯正術-翹唇暴牙小公主 變身 氣質可愛美少女













第 1 / 4 頁
















































昶遠資訊 牙醫234