敬偉牙醫診所
敬偉牙醫診所
人工植牙
首頁  |  案例分享  |  人工植牙

編號 | 治療項目 | 標題
1   人工植牙   牙周病入侵,牙冠下的牙齒已爛
2   人工植牙   全口咬合植牙重建
3   人工植牙   左下第1、2大臼齒植牙
4   人工植牙   上顎前牙植牙重建
5   人工植牙   左下第1、2大臼齒植牙
敬偉牙醫診所敬偉牙醫診所第 1 / 2 頁敬偉牙醫診所敬偉牙醫診所 


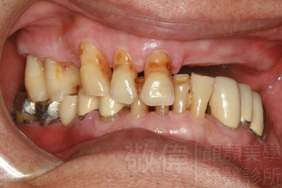
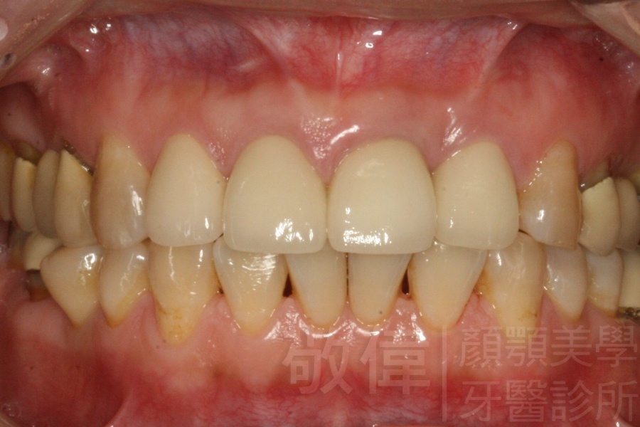
人工植牙/牙周病入侵,牙冠下的牙齒已爛

原來的牙冠底下當支撐的真牙已經爛掉了,造成整排假牙掉下來   植牙的支台柱   金屬燒附陶瓷前牙美容

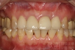
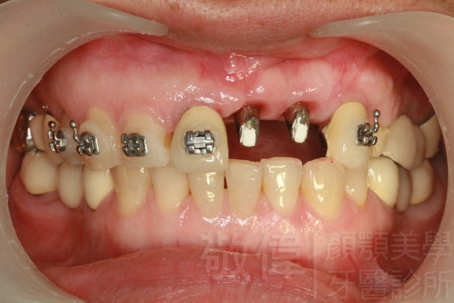
人工植牙/全口咬合植牙重建

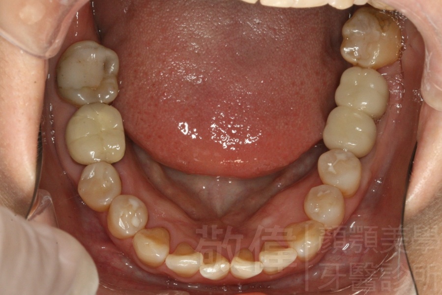
治療前上顎   治療前正面   治療前下顎
治療後上顎   治療後正面   治療後下顎
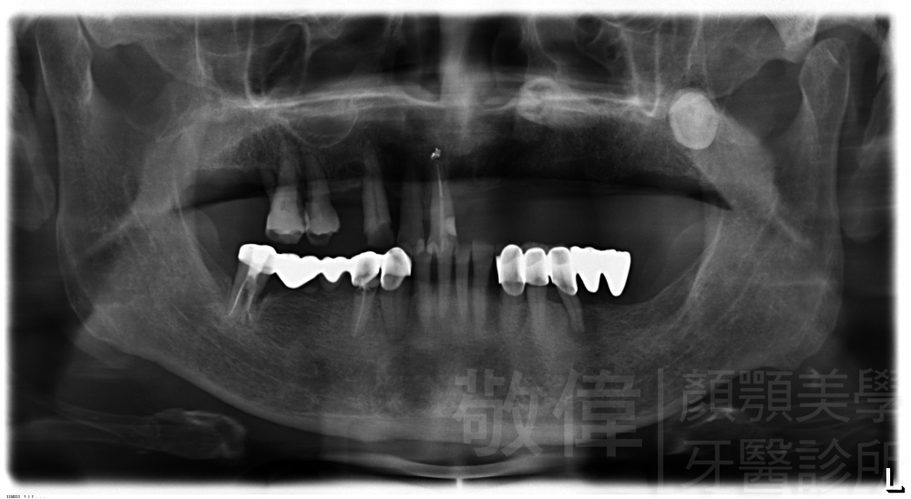
治療前X光   治療後X光

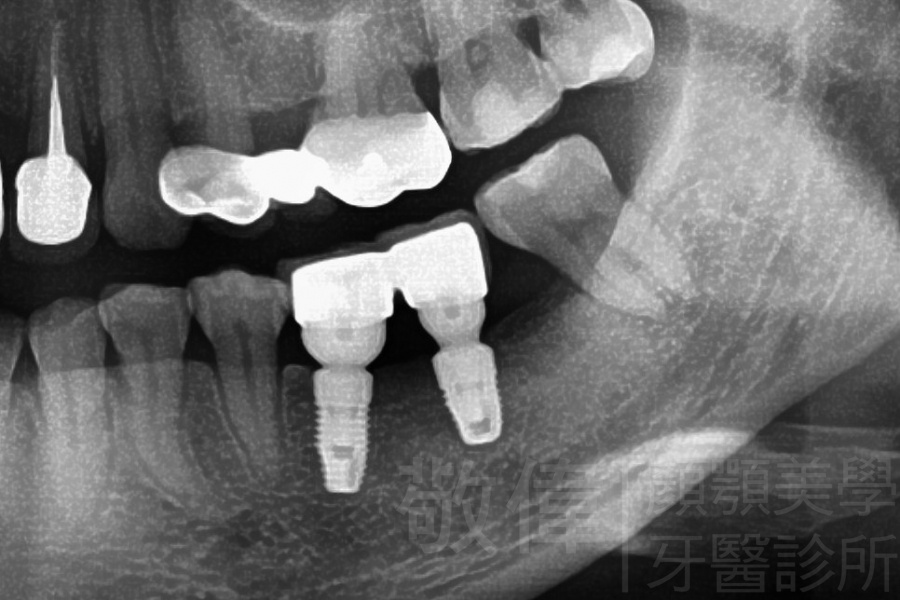
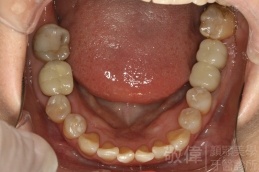
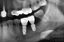
人工植牙/左下第1、2大臼齒植牙

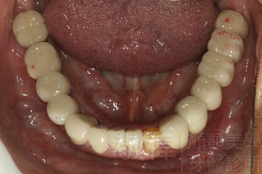
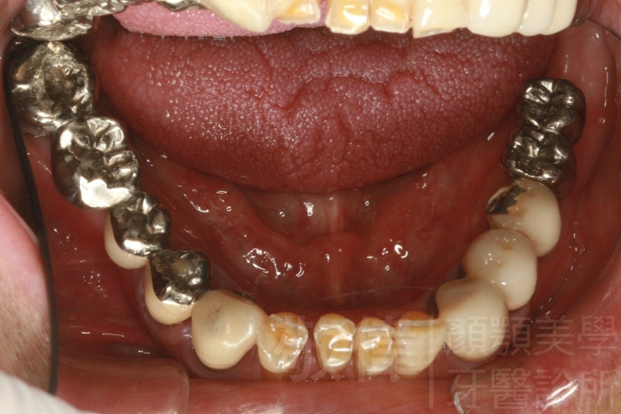
治療前-下顎全口   治療後-下顎全口
治療前-缺牙區X光   治療後-大臼齒X光

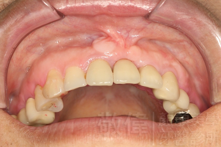
人工植牙/上顎前牙植牙重建

治療前-缺上排前牙   治療後
治療前-全口X光   治療後-全口X光

人工植牙/左下第1、2大臼齒植牙

敬偉牙醫診所