| 編號 | | | 治療項目 | | | 標題 |
|---|---|---|---|---|
| 1 | 隱形矯正 | CA(Clear Aligner)隱形矯正 | ||
| 2 | 隱形矯正 | 不知不覺中,牙齒變整齊、變健康、變漂亮! | ||
| 3 | 隱形矯正 | 舌側矯正下顎前牙不整 |

第 1 / 1 頁
隱形矯正/CA(Clear Aligner)隱形矯正
隱形矯正/不知不覺中,牙齒變整齊、變健康、變漂亮!
<個案說明>
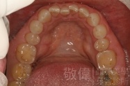
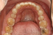
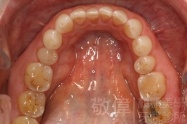
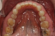
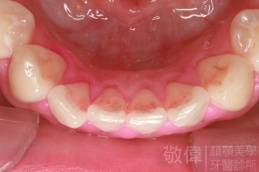
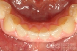
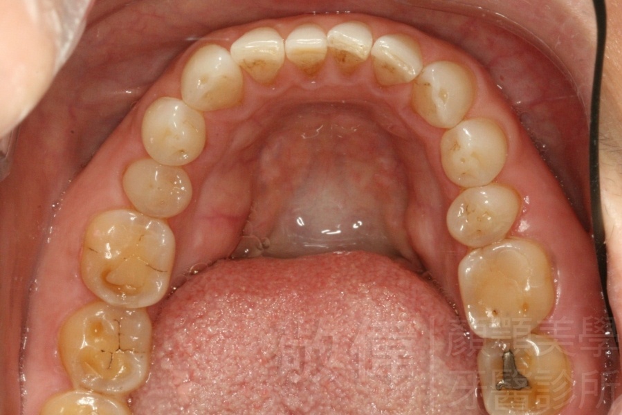
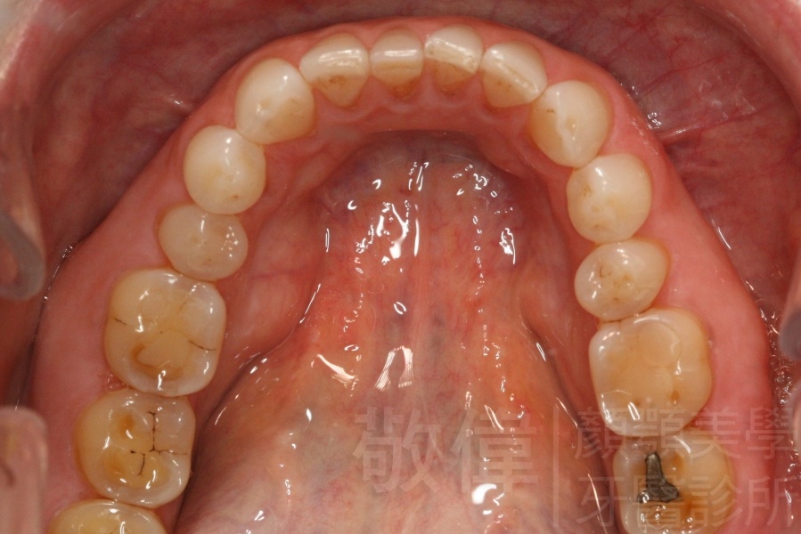
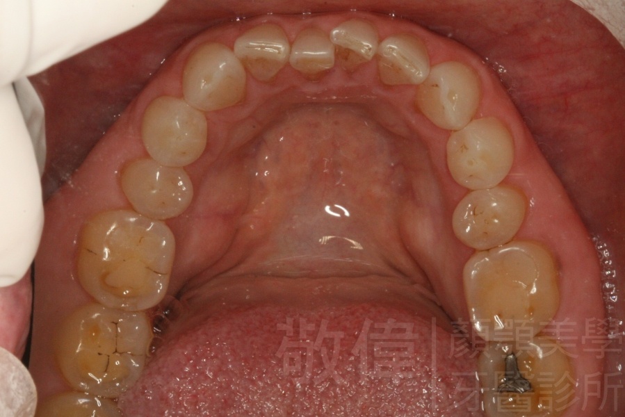
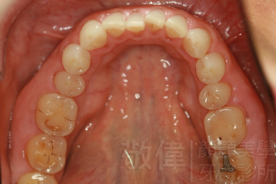
不知不覺中,牙齒變整齊、變健康、變漂亮!
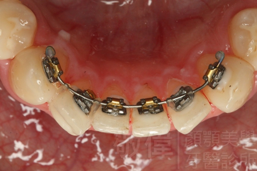
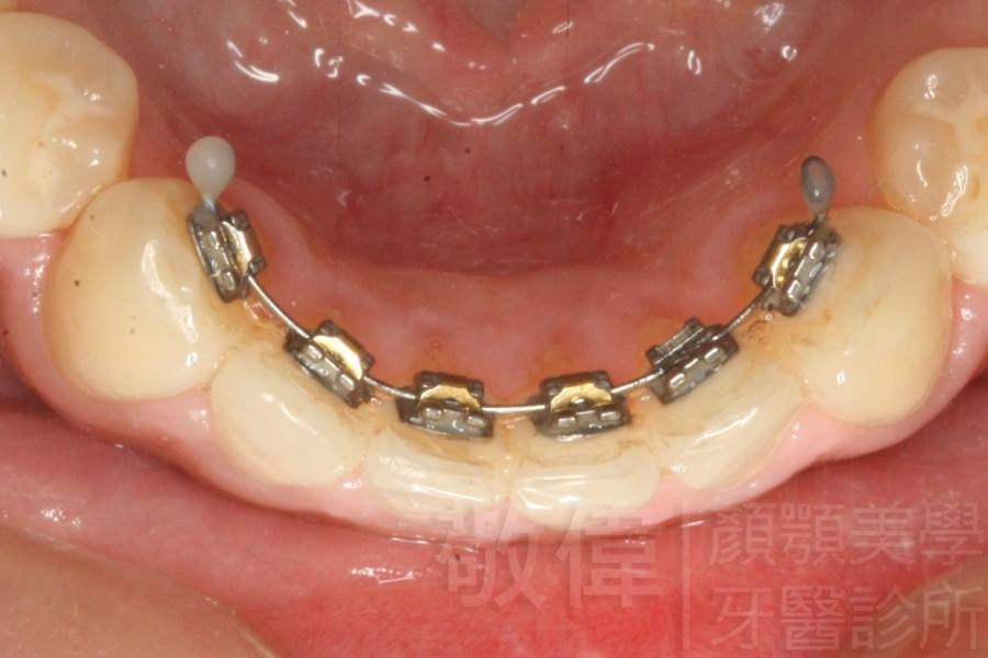
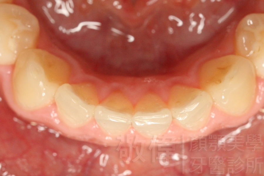
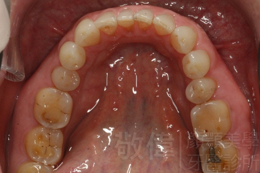
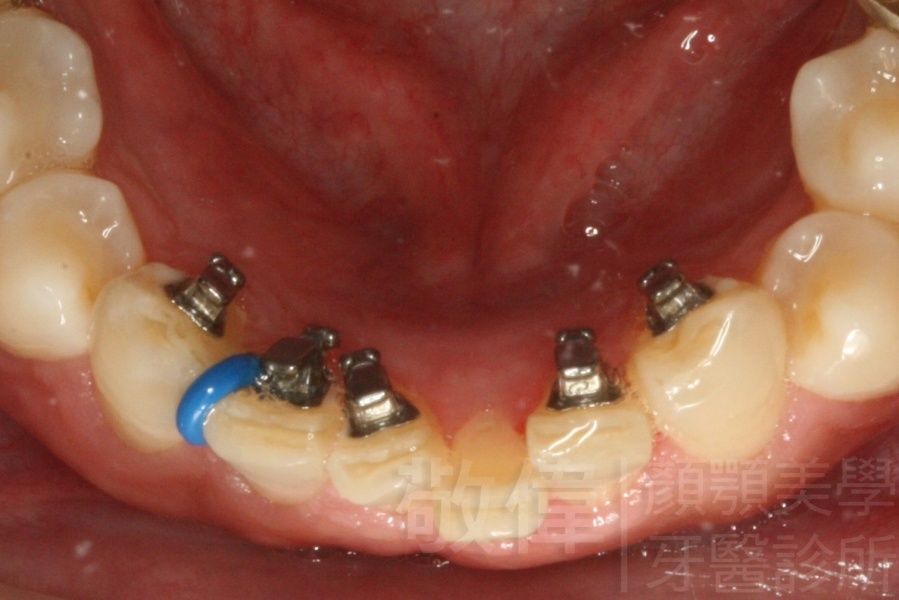
下顎嚴重不整齊,對於一個年近40的男性來說,牙齒能長久健康會比美觀重要得多。如果不做治療有可能會造成清潔上的死角,容易造成蛀牙或是牙周病。由於患者在過去就有想過要治療,但是又不想要拔牙,又不知道還可以用「其它矯正方式」治療,所以一直拖到現在。
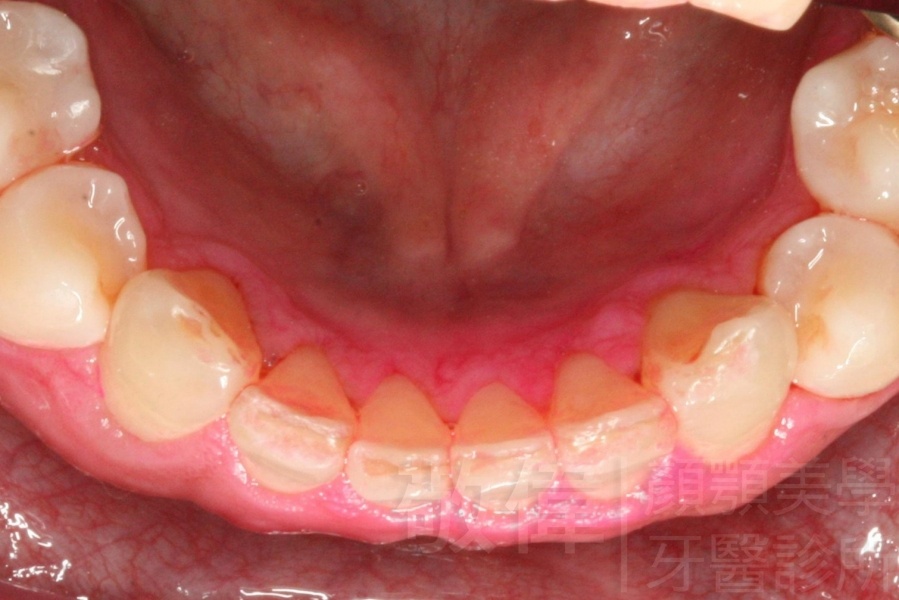
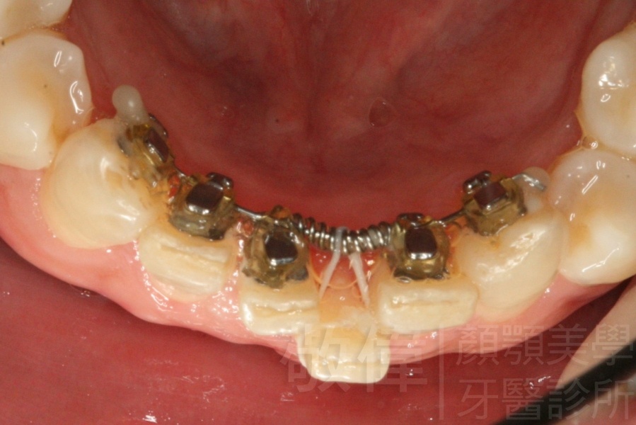
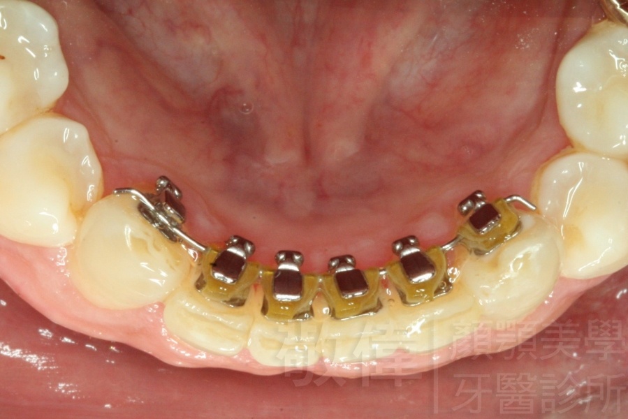
本院建議他可以考慮隱形矯正中的「舌側矯正」,可以符合他不想被其他同事和朋友發現。於是聽從了醫師的建議治療下顎的齒列不整。其實從一開始到半年左右的時間下顎的牙齒就已經排列整齊,只是我們做的不只是排牙齒的事,我們還會依照他的臉型外觀做適當的調整。治療完成後不僅是牙齒有了正確的咬合,就連臉部線條也變的立體有型多了。或許患者的錯覺,但是有一點可以肯定的是,牙齒變的整齊健康了,談吐變的比以前更自信,就連親友問起來也都亳不避諱的承認他做了矯正,因為他真的得到了他想要的效果了。
經由「舌側隱形矯正」可避免拔牙做假牙的命運,而且在治療過程中美觀舒適,沒有人知道,一切都在不知不覺中,牙齒就變整齊變健康。





























昶遠資訊 牙醫234