| 編號 | | | 治療項目 | | | 標題 |
|---|---|---|---|---|
| 1 | 雷射牙周 | 做矯正 救牙周 免植牙 | ||
| 2 | 雷射牙周 | 牙冠增長手術 | ||
| 3 | 雷射牙周 | 晶鑽全瓷冠+雷射美容補牙 | ||
| 4 | 雷射牙周 | 牙周病造成牙齦紅腫 |

第 1 / 1 頁
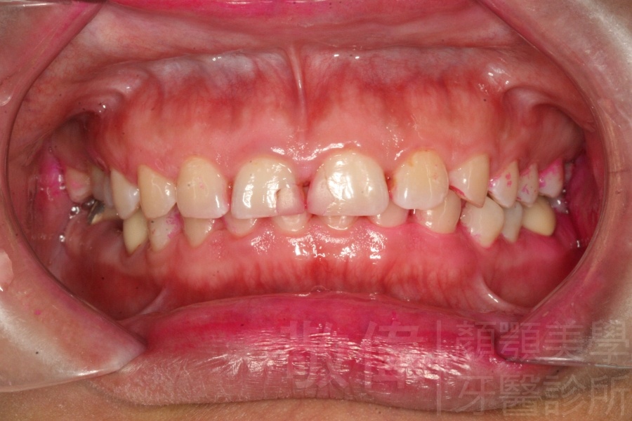
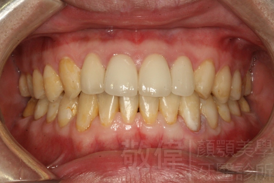
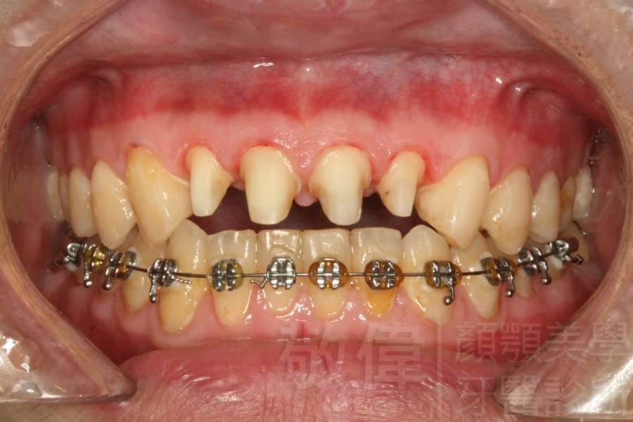
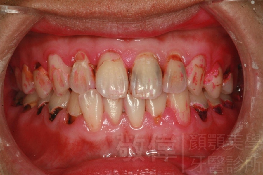
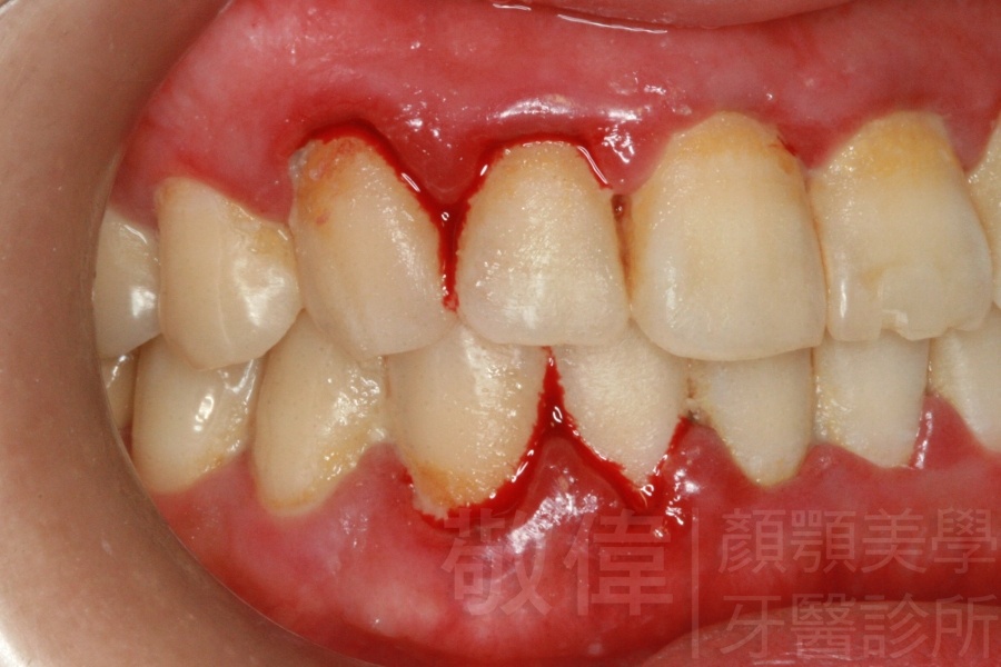
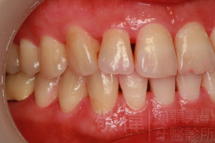
雷射牙周/牙冠增長手術
<個案說明>
患者剛來的時候主要是為了臼齒咬列而前來就診,只是就我那麼要求顏顎美的醫師眼裏,看到他上顎前牙牙冠部分比較短,整體看起來比例很怪,真的不好看,所以建議他做牙冠增長術。當下他不知道是嚇到了還是太開心,原本以為這短短的門面要這樣跟著他一輩子了,沒想到竟然是在看牙齒的機緣下找到救星。
經過母女倆討論了一會,毅然而然說:就今天,可以嗎?這次真的換我嚇到了,不得不說,實在是太有氣迫了。雖然手術的過程感覺得出來,她真的很緊張,不過在完成手術後看到他流著血還是忍不住想要笑的樣子,在場的人都忍不住替他感到開心。
牙冠增長術只是一項小小的手術,不怎麼痛,費用也不高,花一點小錢投資自己,對於將來的人生決對是有正面的幫助。
患者剛來的時候主要是為了臼齒咬列而前來就診,只是就我那麼要求顏顎美的醫師眼裏,看到他上顎前牙牙冠部分比較短,整體看起來比例很怪,真的不好看,所以建議他做牙冠增長術。當下他不知道是嚇到了還是太開心,原本以為這短短的門面要這樣跟著他一輩子了,沒想到竟然是在看牙齒的機緣下找到救星。
經過母女倆討論了一會,毅然而然說:就今天,可以嗎?這次真的換我嚇到了,不得不說,實在是太有氣迫了。雖然手術的過程感覺得出來,她真的很緊張,不過在完成手術後看到他流著血還是忍不住想要笑的樣子,在場的人都忍不住替他感到開心。
牙冠增長術只是一項小小的手術,不怎麼痛,費用也不高,花一點小錢投資自己,對於將來的人生決對是有正面的幫助。































昶遠資訊 牙醫234