敬偉牙醫診所
敬偉牙醫診所
牙齒美白
首頁  |  案例分享  |  牙齒美白

編號 | 治療項目 | 標題
1   牙齒美白   矯正+美白,微笑更迷人
2   牙齒美白   根管治療後造成的牙齒暗沉
敬偉牙醫診所敬偉牙醫診所第 1 / 1 頁敬偉牙醫診所敬偉牙醫診所 


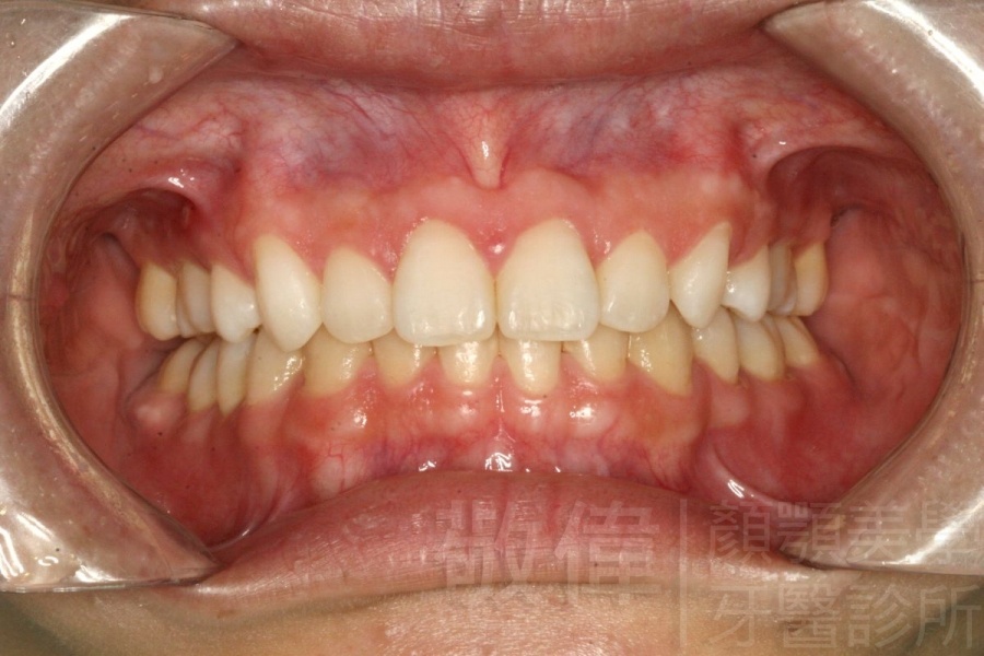
牙齒美白/矯正+美白,微笑更迷人

矯正完,美白前   矯正+美白,完成

牙齒美白/根管治療後造成的牙齒暗沉

根管治療前牙齒顏色   根管治療後牙齒顏色
根管治療過的門牙,牙齒美白後,差異更為明顯   做晶瓷冠
美白+晶瓷冠治療完成後  

敬偉牙醫診所