敬偉牙醫診所
敬偉牙醫診所
前牙美容
首頁  |  案例分享  |  前牙美容

編號 | 治療項目 | 標題
1   前牙美容   根管治療後造成的牙齒暗沉
2   前牙美容   上顎前牙植牙重建
3   前牙美容   植牙+晶鑽全瓷冠
4   前牙美容   矯正+晶鑽全瓷冠
5   前牙美容   植牙+晶鑽全瓷冠
敬偉牙醫診所敬偉牙醫診所第 1 / 5 頁敬偉牙醫診所敬偉牙醫診所 


前牙美容/根管治療後造成的牙齒暗沉

根管治療前牙齒顏色   根管治療後牙齒顏色
根管治療過的門牙,牙齒美白後,差異更為明顯   做晶瓷冠
美白+晶瓷冠治療完成後  

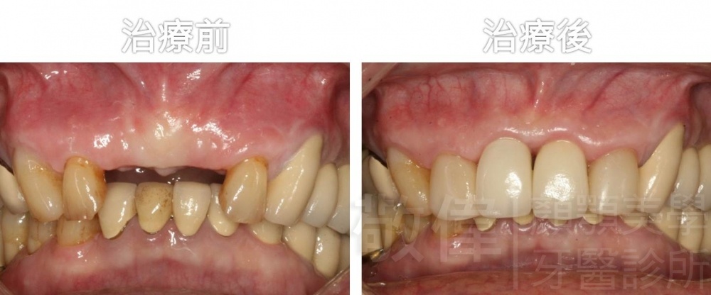
前牙美容/上顎前牙植牙重建

治療前-缺上排前牙   治療後
治療前-全口X光   治療後-全口X光

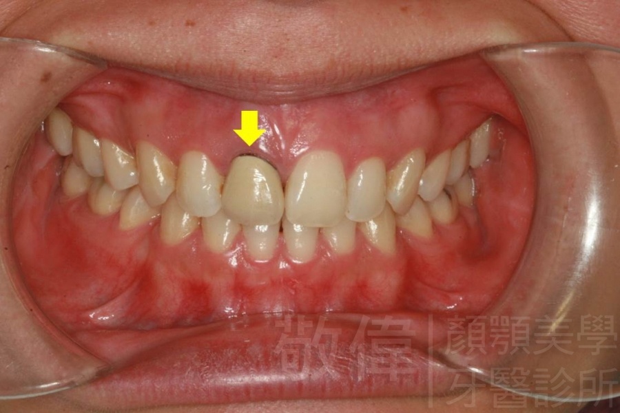
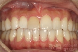
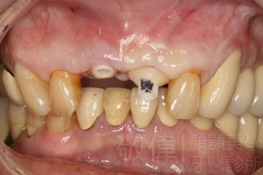
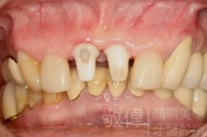
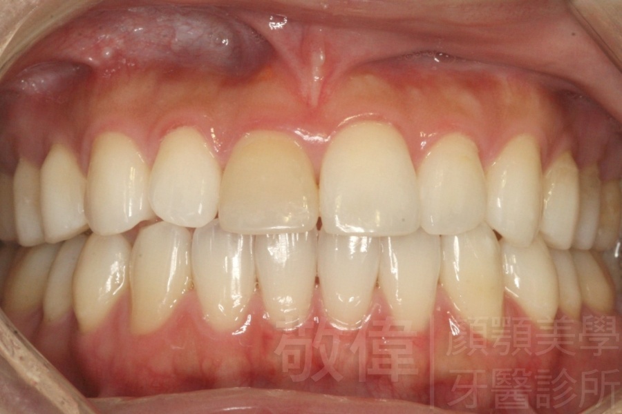
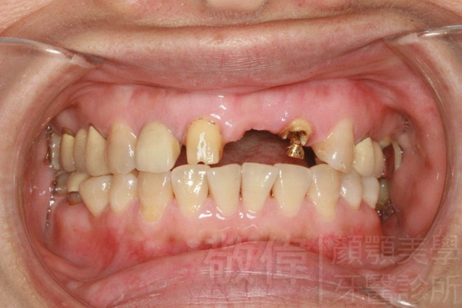
前牙美容/植牙+晶鑽全瓷冠

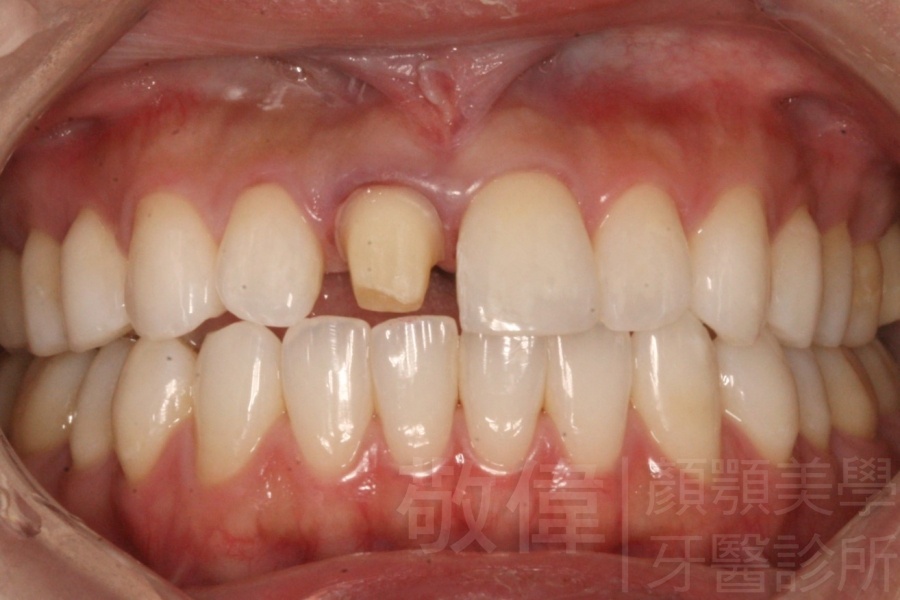
  外觀看起來好像沒什麼問題   拆下牙橋後
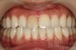
#21換上支台柱,牙肉塑形   前牙美容治療完成  

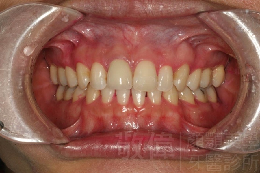
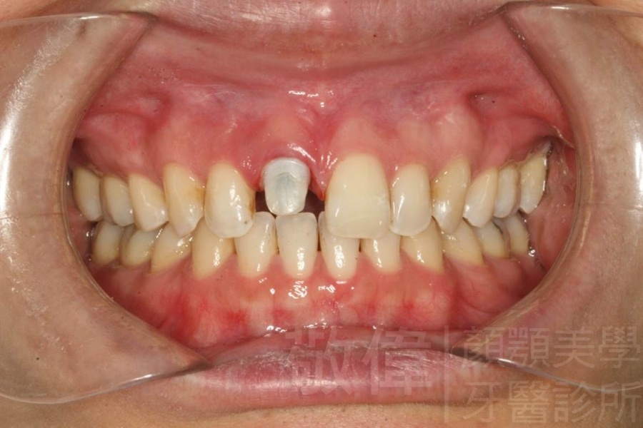
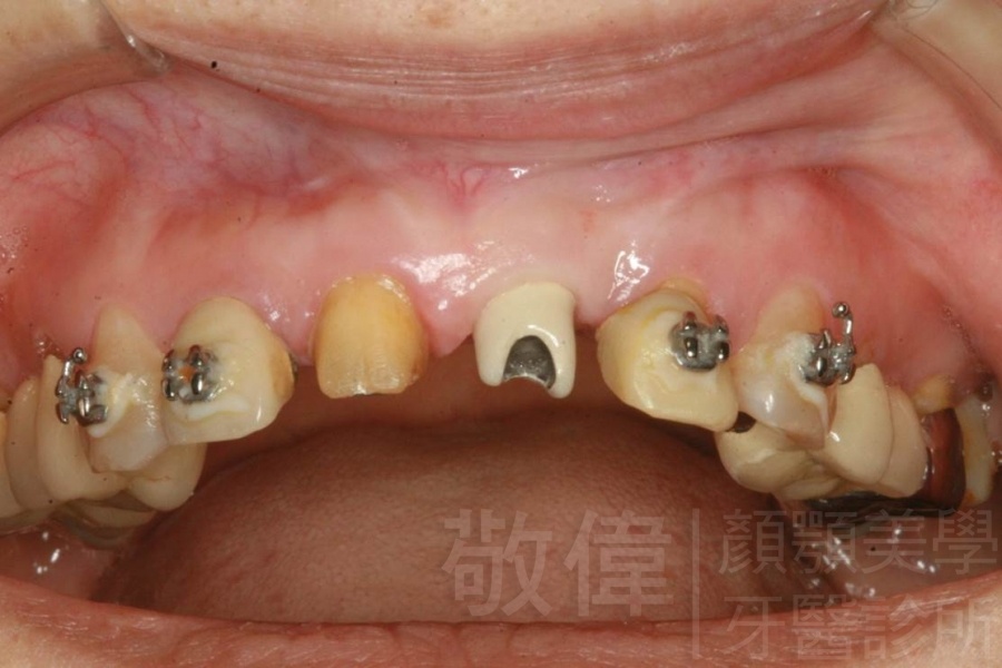
前牙美容/矯正+晶鑽全瓷冠

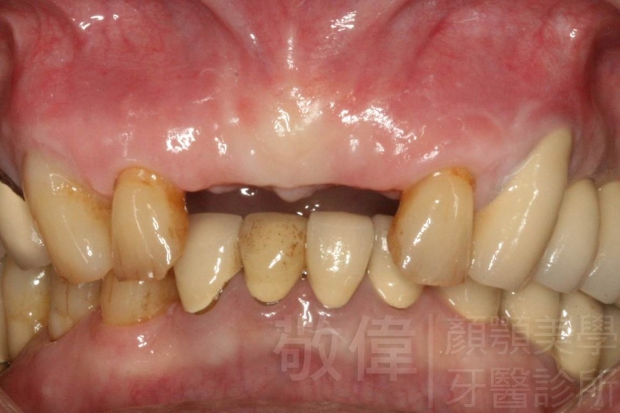
外表看起來沒事,其實牙根已經爛了   拔牙後傷口及植牙追蹤
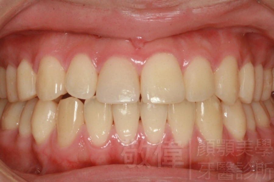
裝上氧化鋯支台柱   晶鑽全瓷冠+植牙治療完成

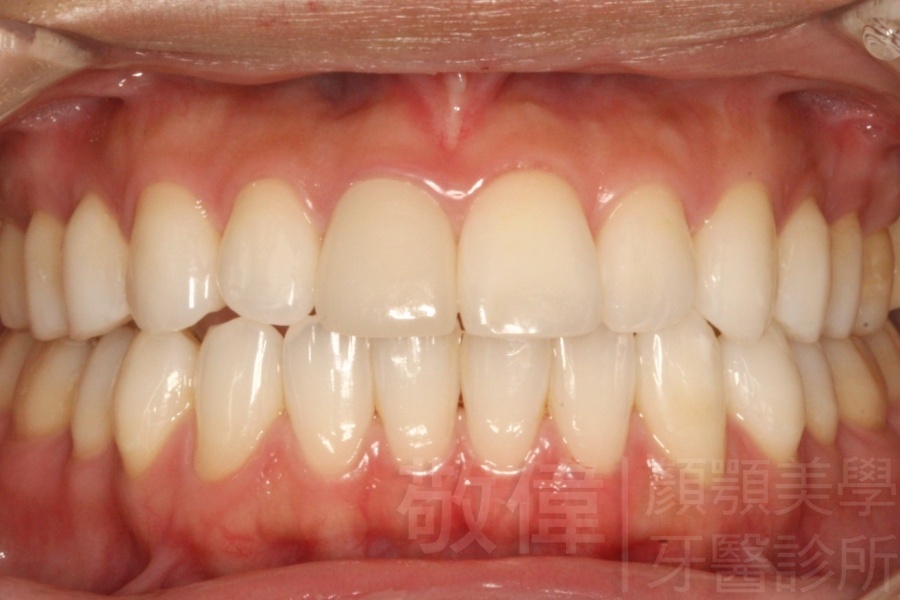
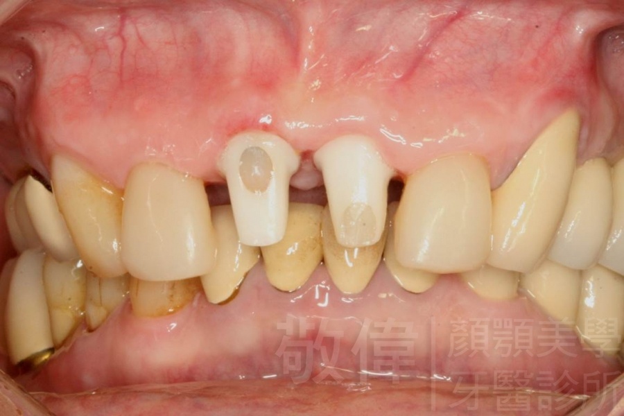
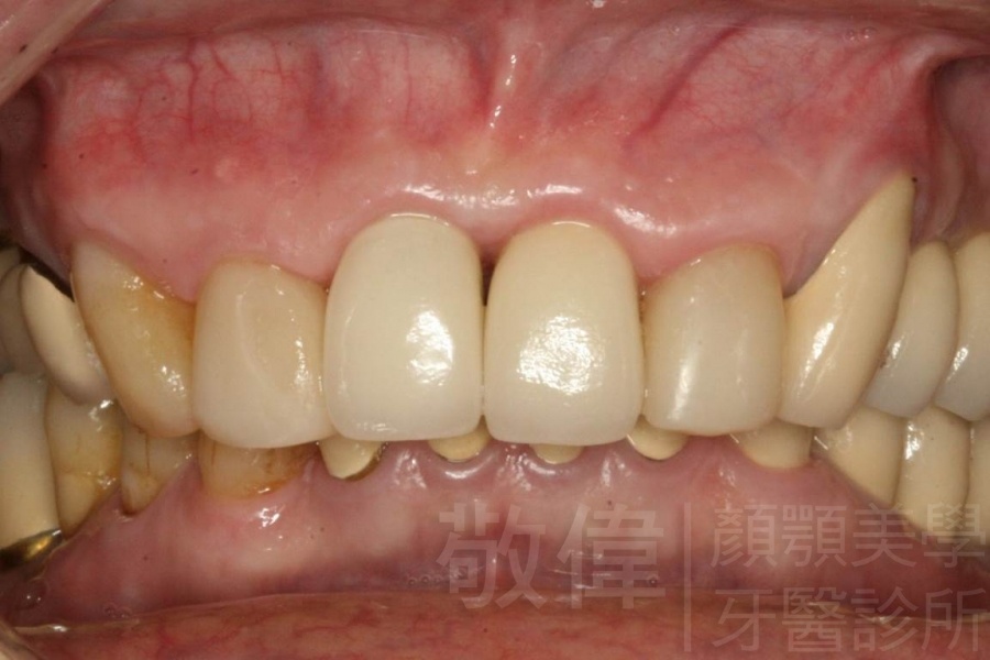
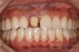
前牙美容/植牙+晶鑽全瓷冠

治療前   植牙後復原   製作專屬牙樁
客製氧化鋯樁   裝上晶鑽全瓷冠完成  

敬偉牙醫診所