敬偉牙醫診所
敬偉牙醫診所
美齒重塑
首頁  |  案例分享  |  美齒重塑

編號 | 治療項目 | 標題
1   美齒重塑   上顎前牙植牙重建
2   美齒重塑   晶鑽全瓷冠前牙美容
3   美齒重塑   拯救前牙晶鑽全瓷冠重塑美齒
4   美齒重塑   門牙使用晶鑽全瓷冠
5   美齒重塑   金屬燒附陶瓷牙冠美容
敬偉牙醫診所敬偉牙醫診所第 1 / 2 頁敬偉牙醫診所敬偉牙醫診所 


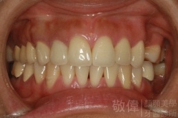
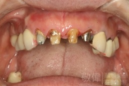
美齒重塑/上顎前牙植牙重建

治療前-缺上排前牙   治療後
治療前-全口X光   治療後-全口X光

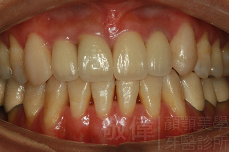
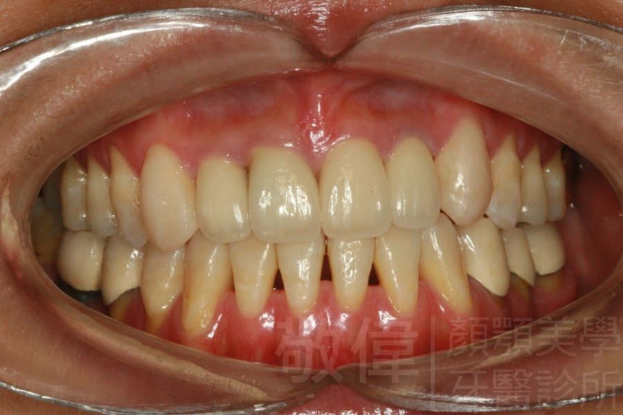
美齒重塑/晶鑽全瓷冠前牙美容

治療前   治療中
全瓷冠牙   治療後

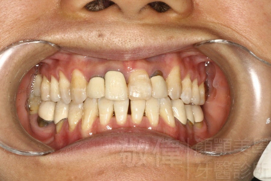
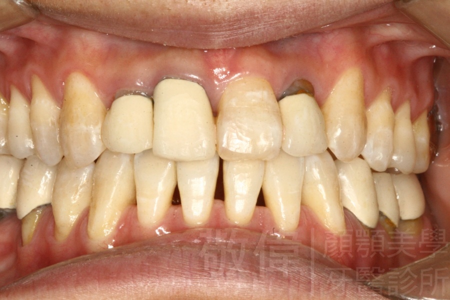
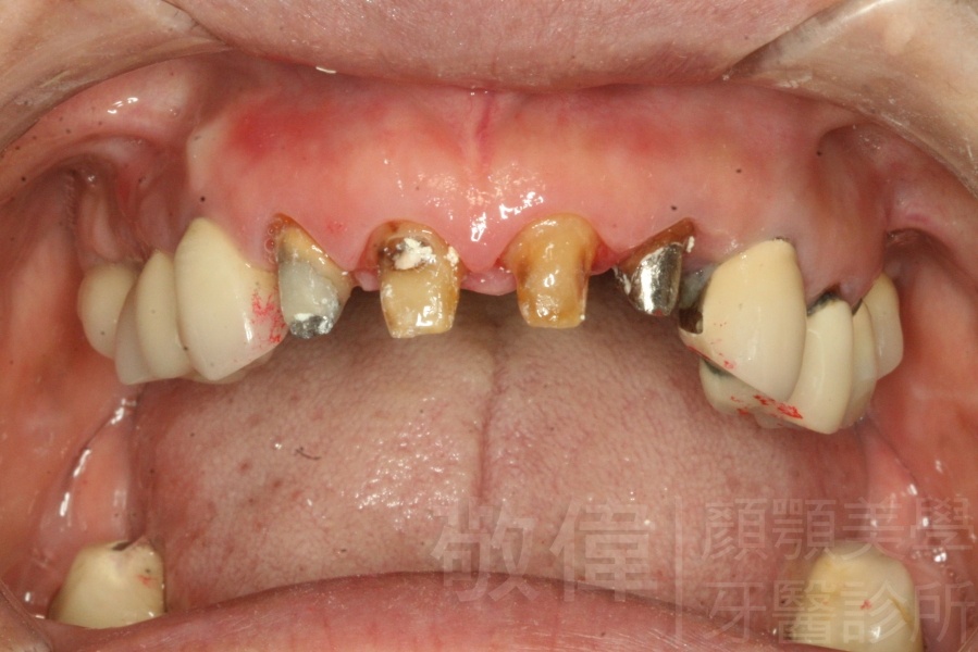
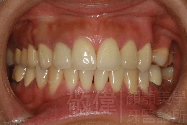
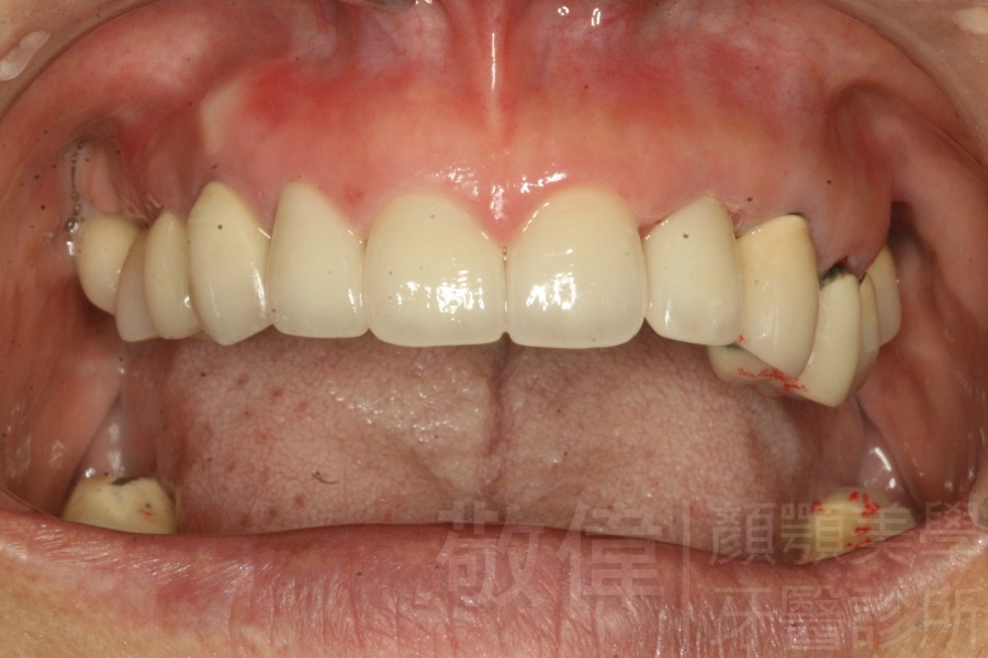
美齒重塑/拯救前牙晶鑽全瓷冠重塑美齒

舊的牙套拆下來樣貌   裝上新牙齒後

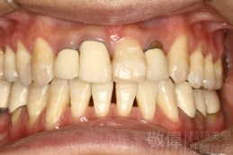
美齒重塑/門牙使用晶鑽全瓷冠

治療前因牙周病侵蝕造成牙根都露出來  
前面門牙的部分是使用晶鑽全瓷冠  

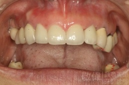
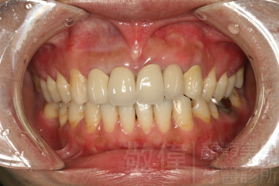
美齒重塑/金屬燒附陶瓷牙冠美容

假牙下的牙齒因牙周病漸生異味和潰爛   拆下牙套後   金屬燒附陶瓷

敬偉牙醫診所