敬偉牙醫診所
敬偉牙醫診所
美齒重塑
首頁  |  案例分享  |  美齒重塑

編號 | 治療項目 | 標題
6   美齒重塑   晶鑽全瓷冠+雷射美容補牙
7   美齒重塑   金屬燒附陶瓷牙冠美容
8   美齒重塑   門牙和牙齦綘隙影響美觀
9   美齒重塑   牙周病入侵,牙冠下的牙齒已爛
10   美齒重塑   晶鑽全瓷冠前牙美容
敬偉牙醫診所敬偉牙醫診所第 2 / 2 頁敬偉牙醫診所敬偉牙醫診所 


美齒重塑/晶鑽全瓷冠+雷射美容補牙

少年愛吃甜食,又沒有做好清潔,造成嚴重的蛀牙   晶鑽全瓷冠
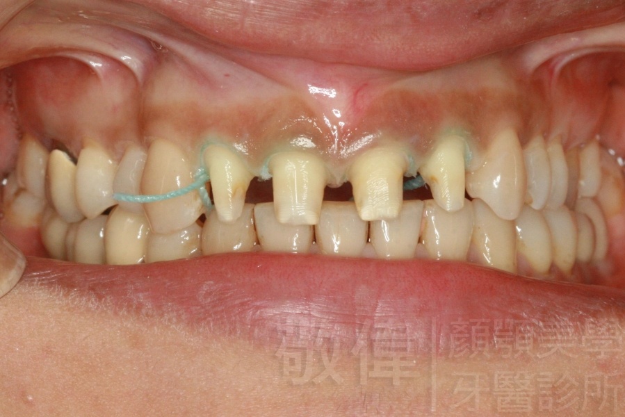
晶鑽全瓷冠裝戴前   上顎門牙晶鑽全瓷冠裝戴後,齒頸部雷射補牙強化

美齒重塑/金屬燒附陶瓷牙冠美容

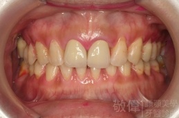
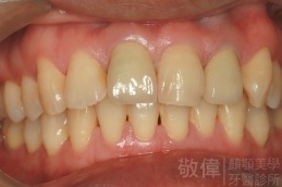
治療前-正   治療後-正

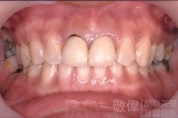
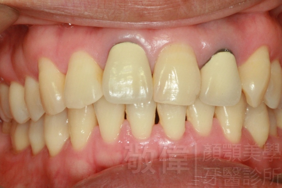
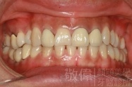
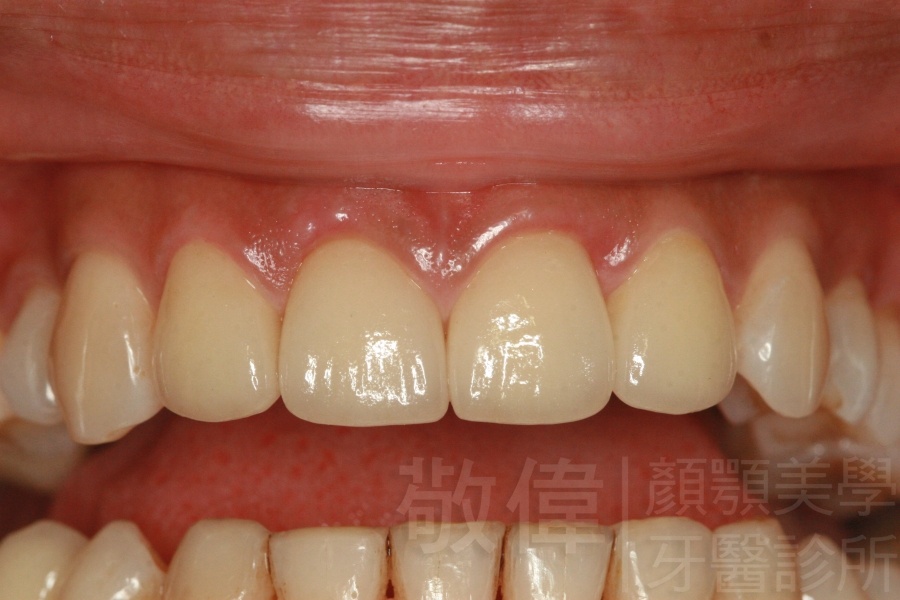
美齒重塑/門牙和牙齦綘隙影響美觀

前面兩顆門牙和牙齦已出現綘隙,嚴重影響到美觀   經過前牙美容後

美齒重塑/牙周病入侵,牙冠下的牙齒已爛

原來的牙冠底下當支撐的真牙已經爛掉了,造成整排假牙掉下來   植牙的支台柱   金屬燒附陶瓷前牙美容

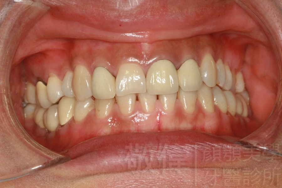
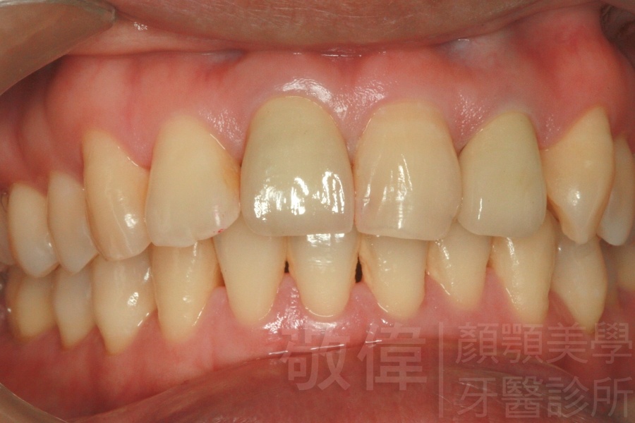
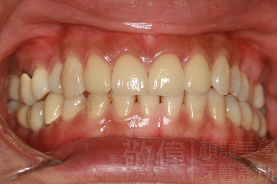
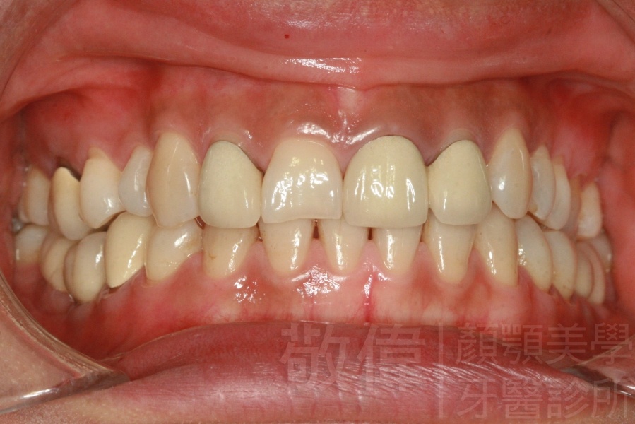
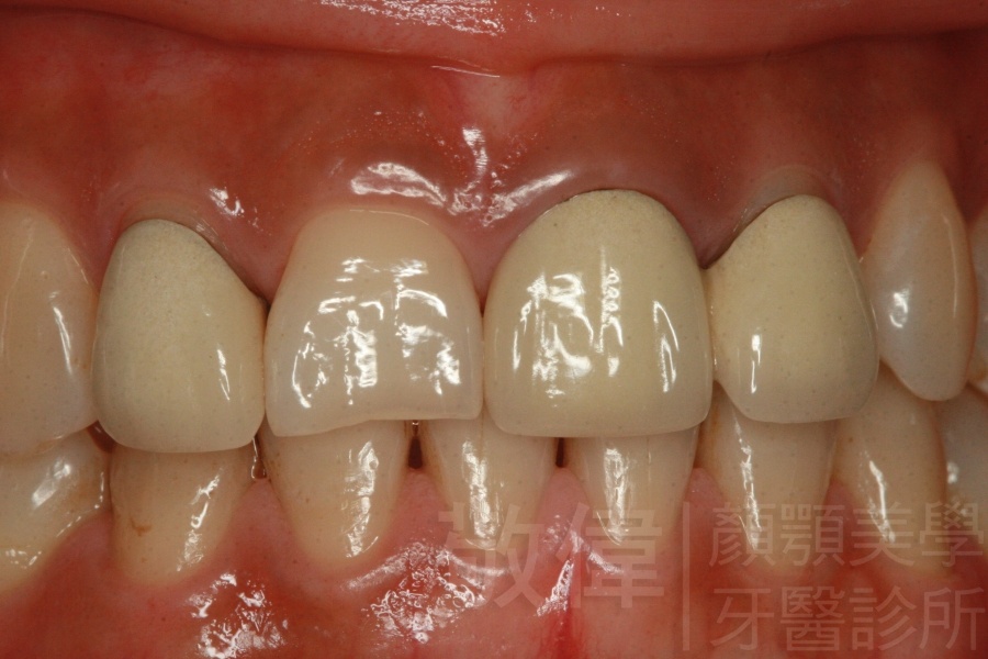
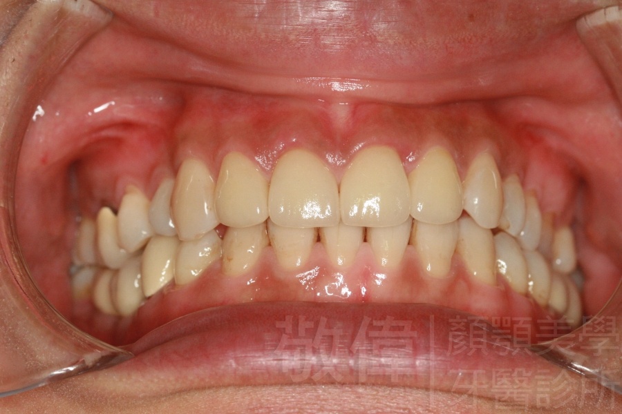
美齒重塑/晶鑽全瓷冠前牙美容

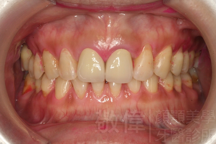
治療前-真假牙顏色差異明顯   治療前-上排牙齒白的較不自然   治療前-牙齦與牙齒間有明顯縫隙
治療後-晶瓷冠色澤與真牙一致   治療後-牙齒與牙齦完美的貼合   治療後-與真牙無異,完全看不出
治療前   治療中   治療後
正面笑   側面笑

敬偉牙醫診所