敬偉牙醫診所
敬偉牙醫診所
齒顏矯正
首頁  |  案例分享  |  齒顏矯正

編號 | 治療項目 | 標題
16   齒顏矯正   扭曲的牙弓和暴出的虎牙的矯正
17   齒顏矯正   上下暴牙嘴唇不容易合起來
18   齒顏矯正   上嘴唇微暴
19   齒顏矯正   上顎暴牙且牙齒極度混亂
20   齒顏矯正   戽斗臉型 變身 大帥哥
敬偉牙醫診所敬偉牙醫診所第 4 / 4 頁敬偉牙醫診所敬偉牙醫診所 


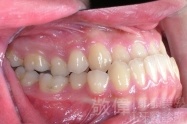
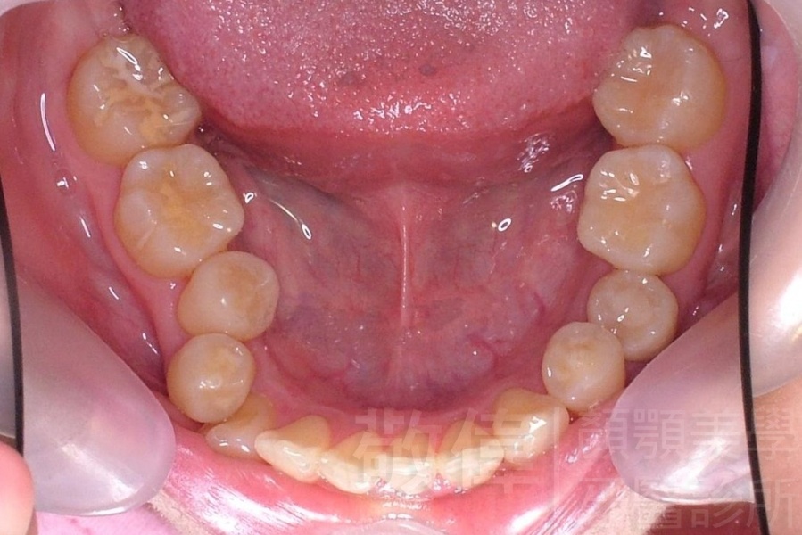
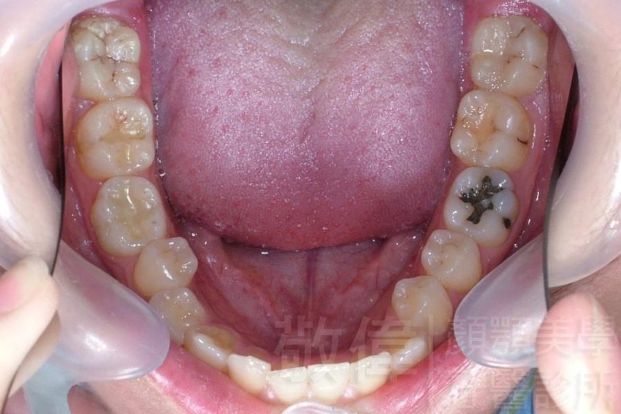
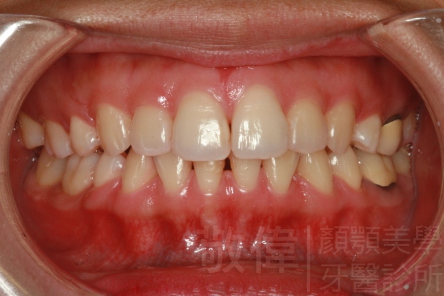
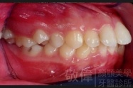
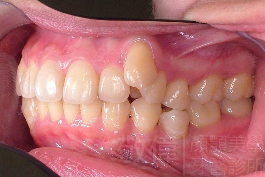
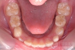
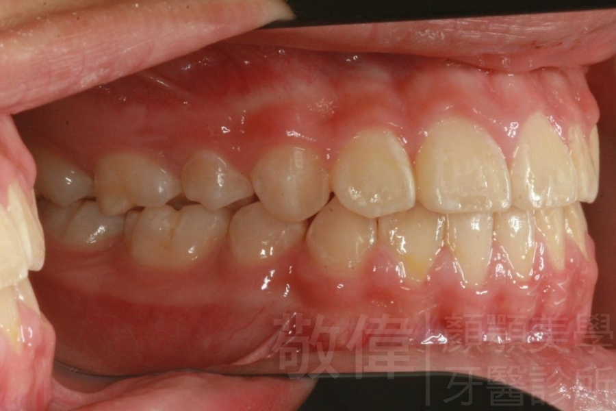
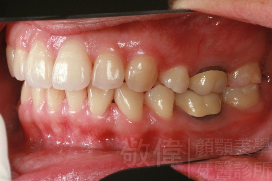
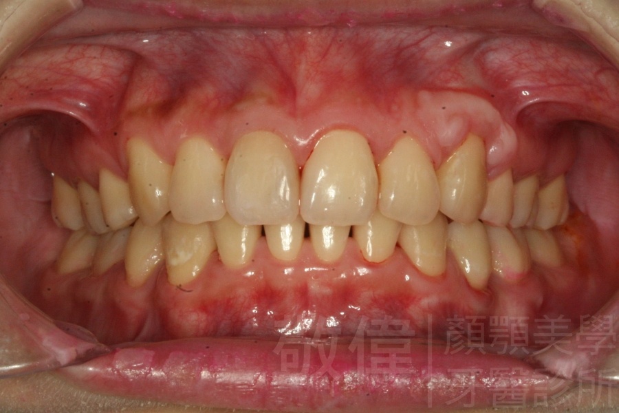
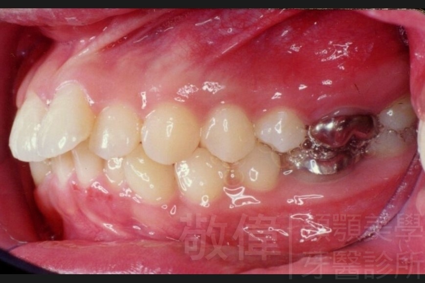
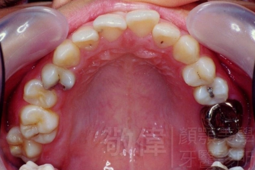
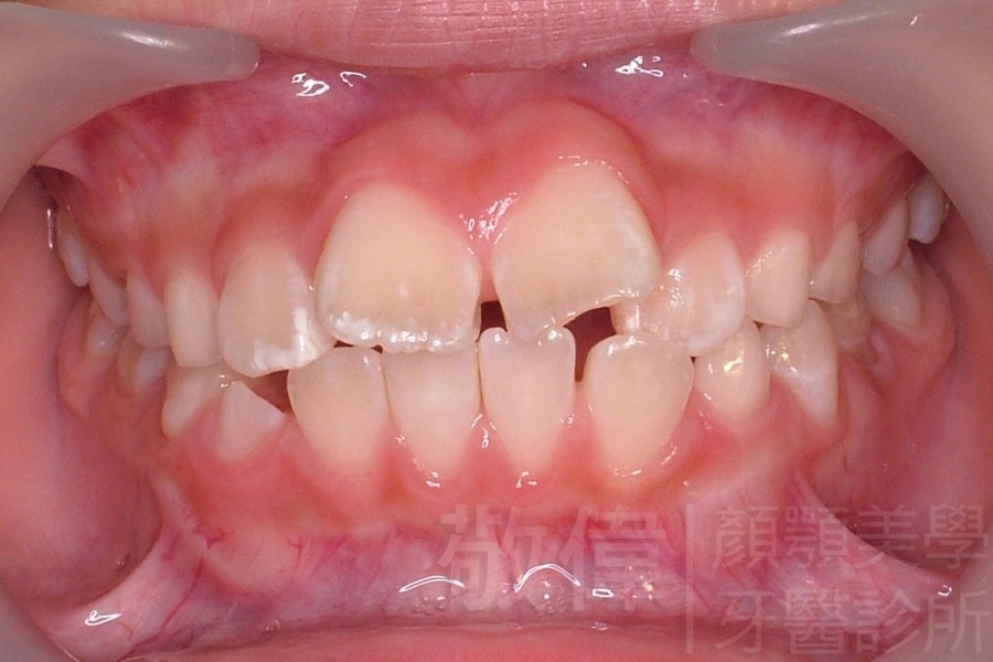
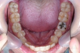
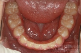
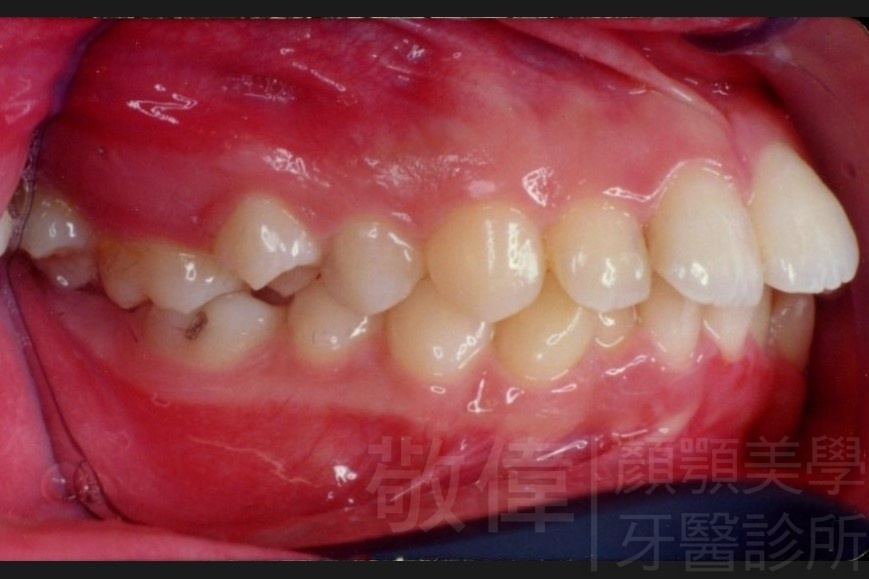
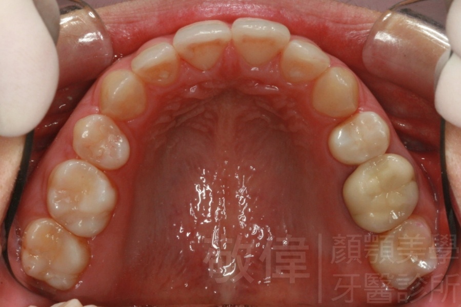
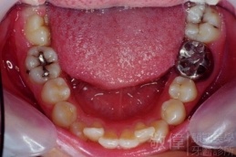
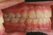
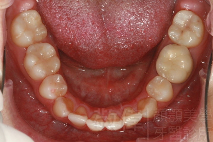
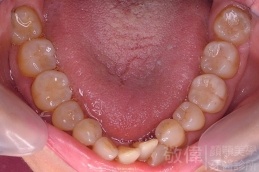
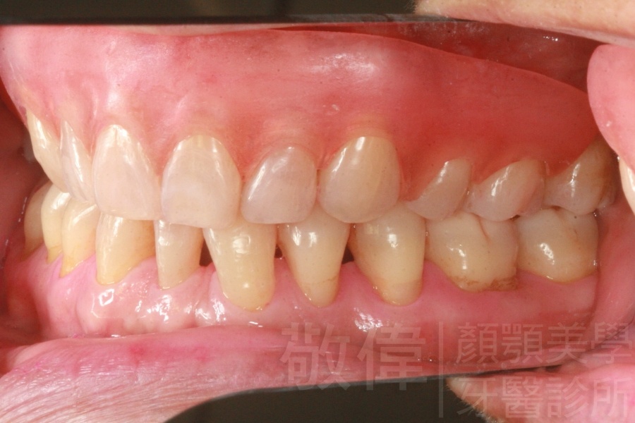
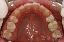
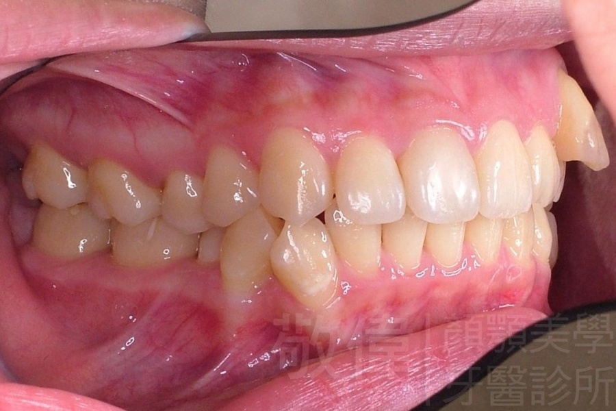
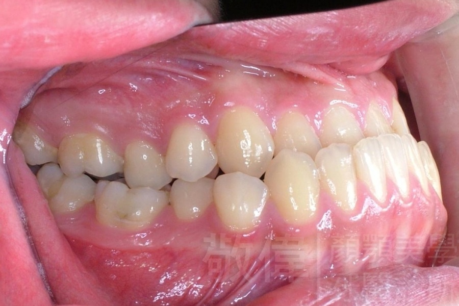
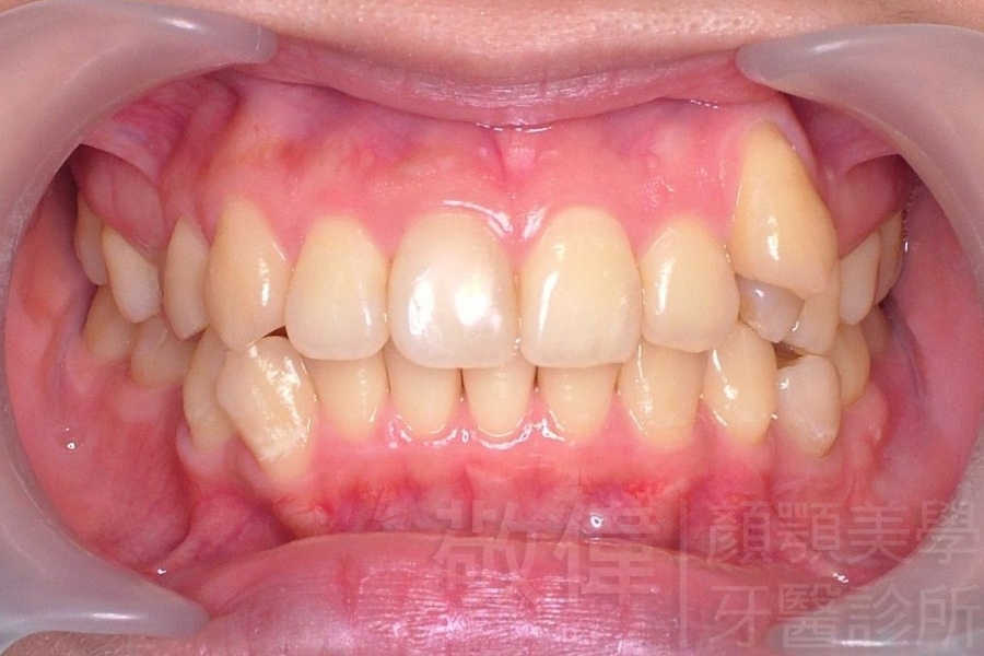
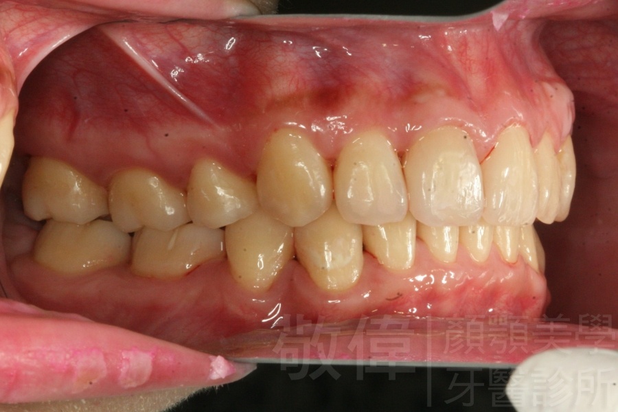
齒顏矯正/扭曲的牙弓和暴出的虎牙的矯正

 
矯正前-右   矯正前-正   矯正前-左
矯正後-右   矯正後-正   矯正後-左
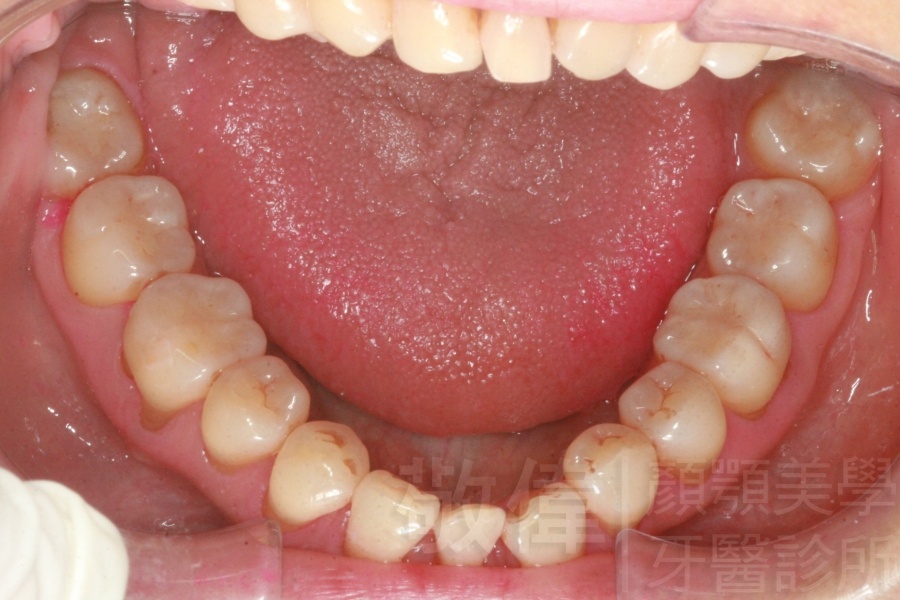
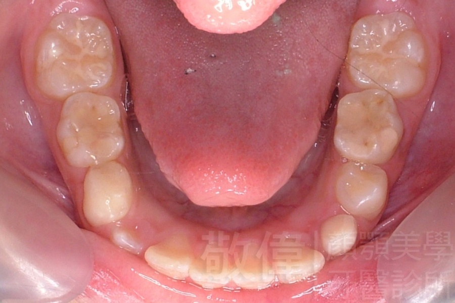
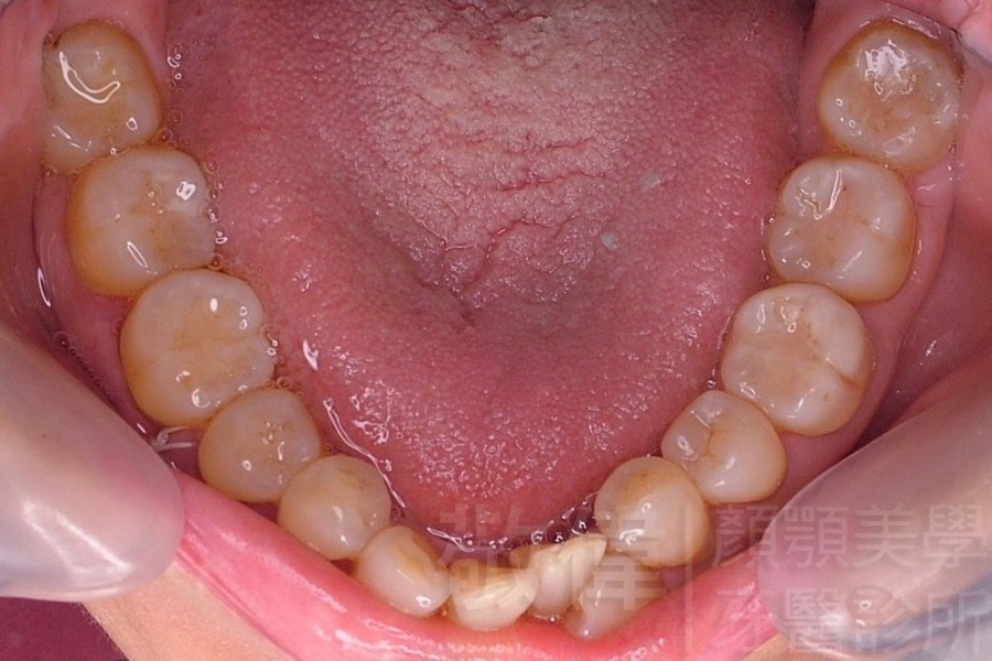
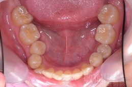
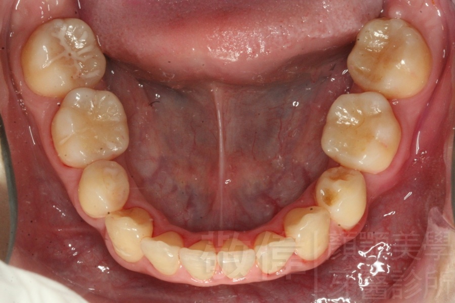
矯正前-上   矯正前-下
矯正後-上   矯正後-下
<個案說明>
  原來混亂歪七扭八的牙齒,尤其是暴牙(俗稱虎牙),笑起來不好看且沒有自信的笑。經由矯正之後,牙齒變的更健康,更能展現出自信的笑容。

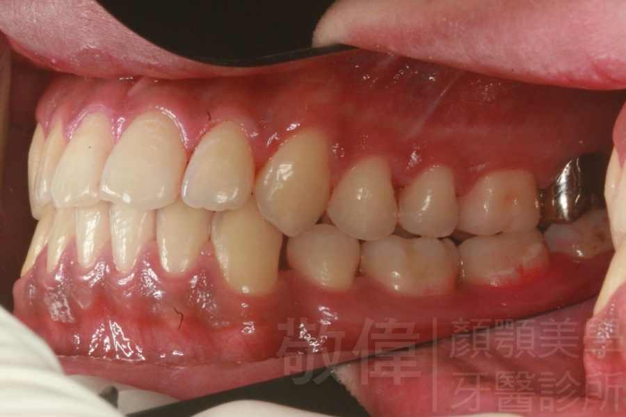
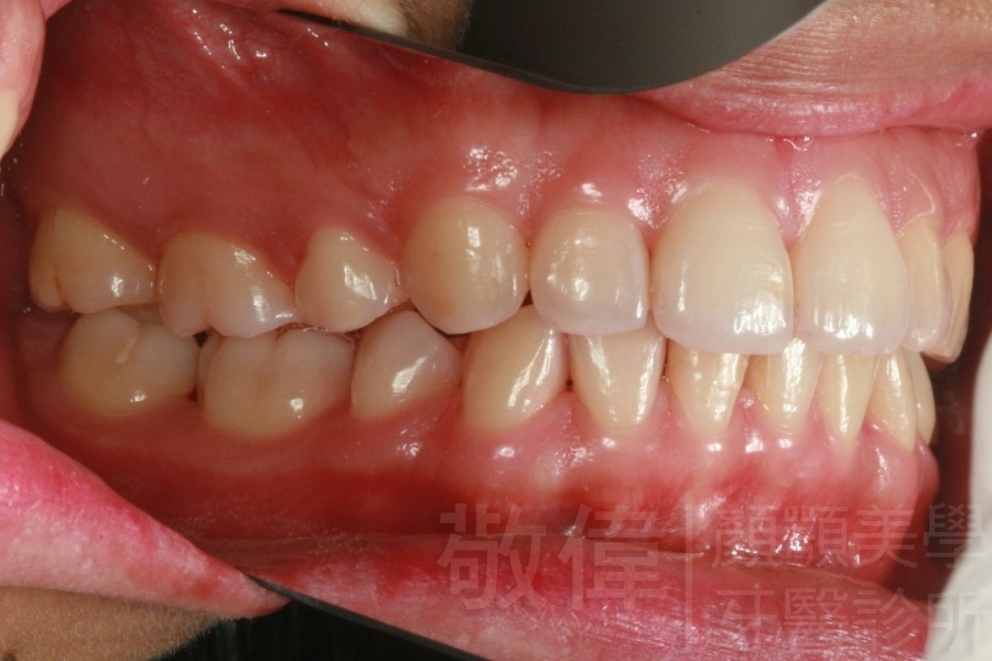
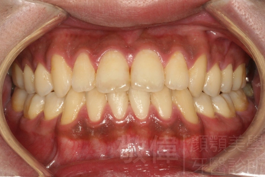
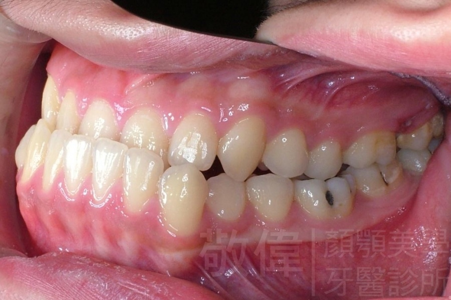
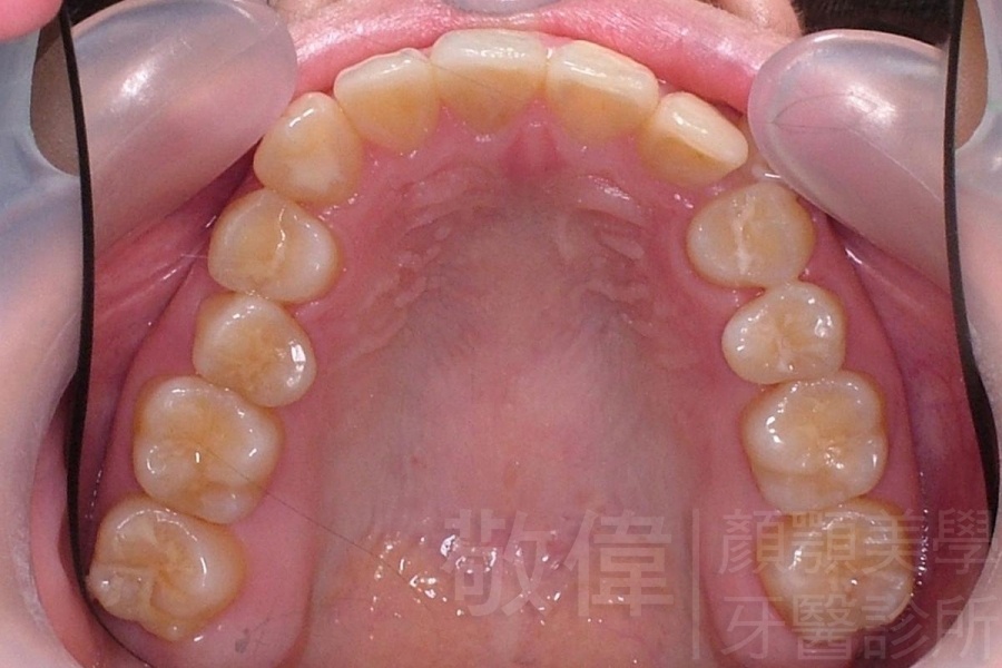
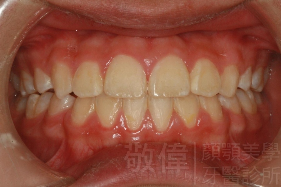
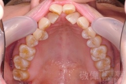
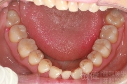
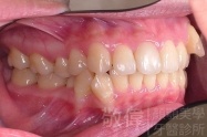
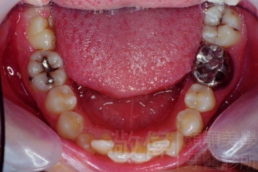
齒顏矯正/上下暴牙嘴唇不容易合起來

 
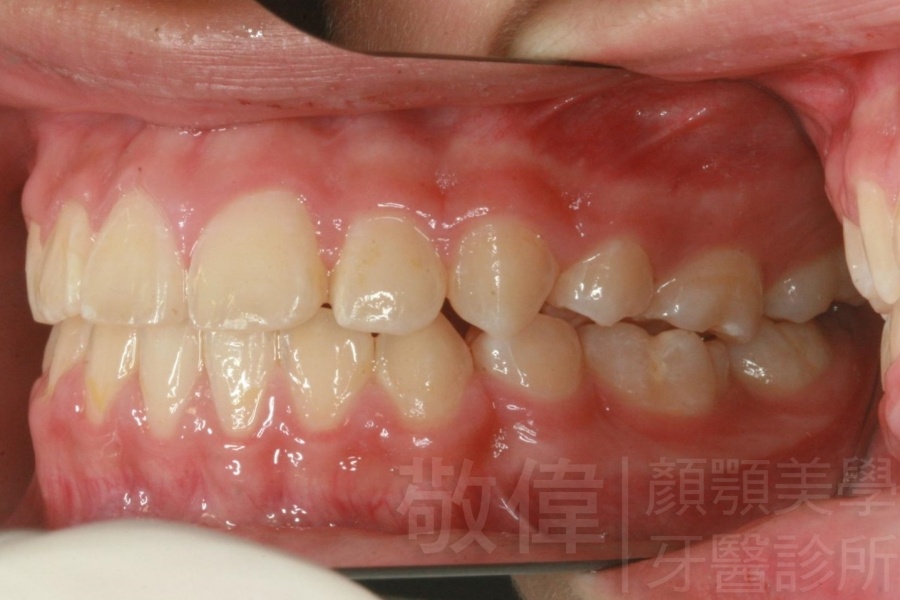
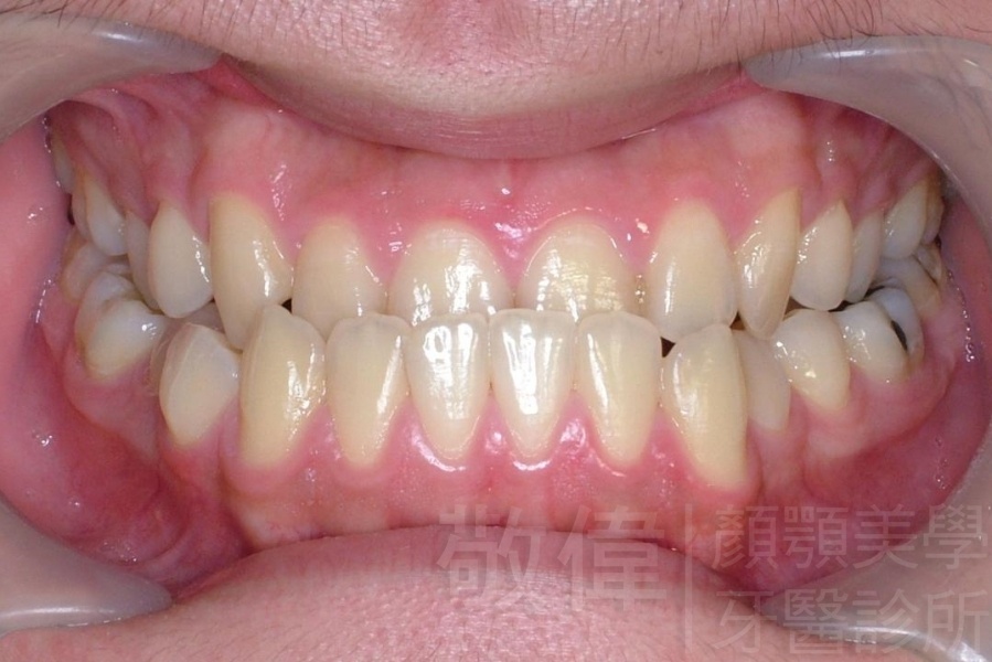
矯正前-右   矯正前-正   矯正前-左
矯正後-右   矯正後-正   矯正後-左
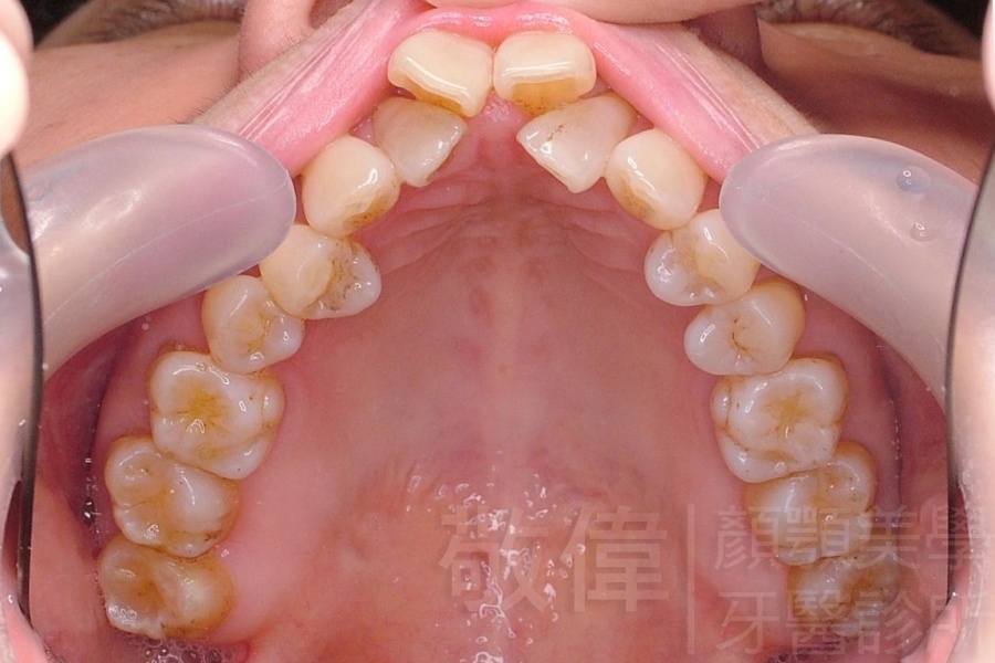
矯正前-上   矯正前-下
矯正後-上   矯正後-下
<個案說明>
  上下暴牙嘴唇不容易合起來,經矯正完成後,嘴唇很容易合起來。在學生時期的時候的他,舉止之間充滿著有自信,當時還參加了舞蹈社團,充滿了多采多姿的生活。

齒顏矯正/上嘴唇微暴

 
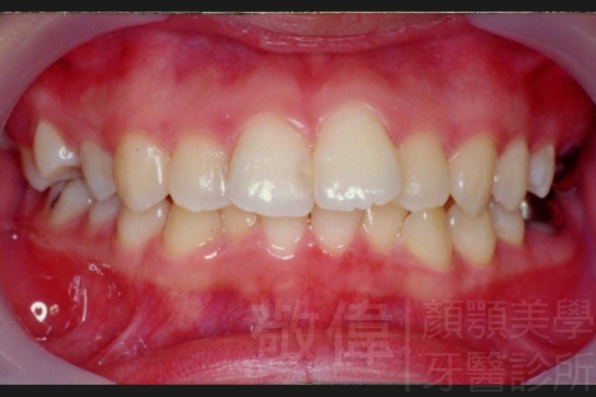
矯正前-右   矯正前-正   矯正前-左
矯正後-右   矯正後-正   矯正後-左
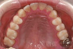
矯正前-上   矯正前-下
矯正後-上   矯正後-下
<個案說明>
  上嘴唇微暴,透過矯正技術,改善了他的笑容還有臉型比例,看起來比之前合諧,現在在社會上與人相處充滿了自信,跟同事的相處也更為融洽,也會有比較大的機會站在比別人有利的位置。

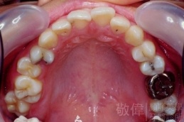
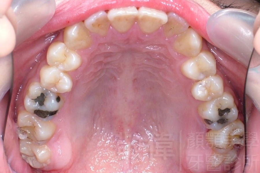
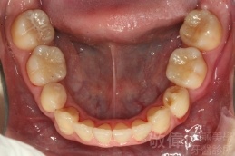
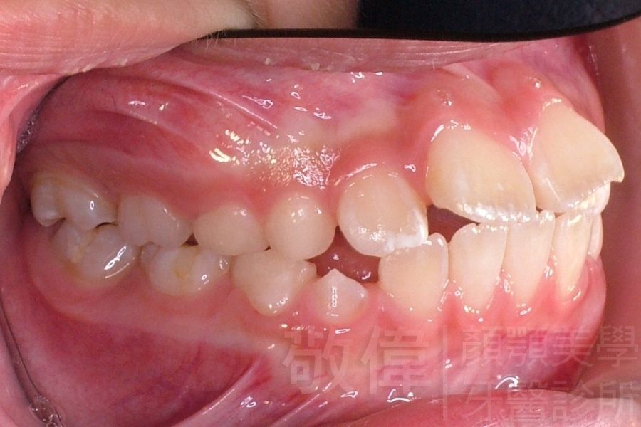
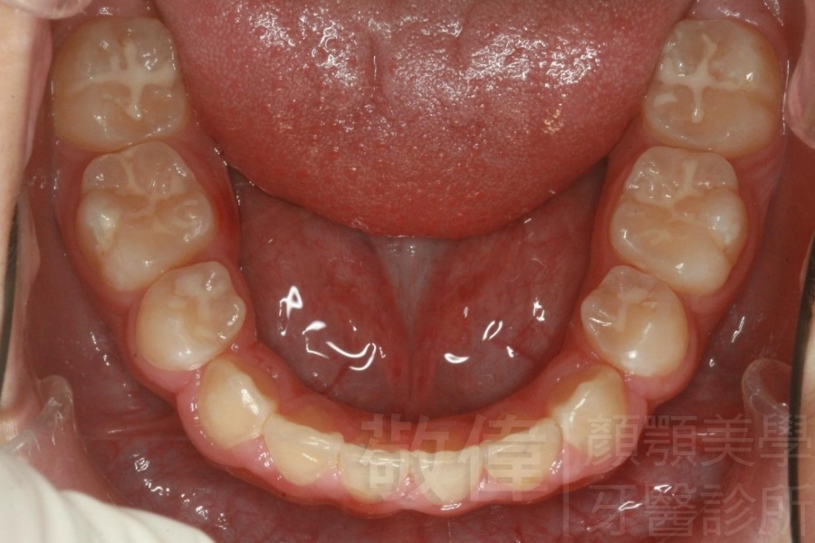
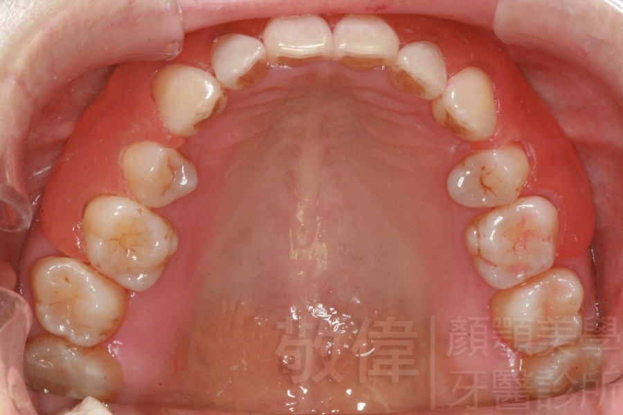
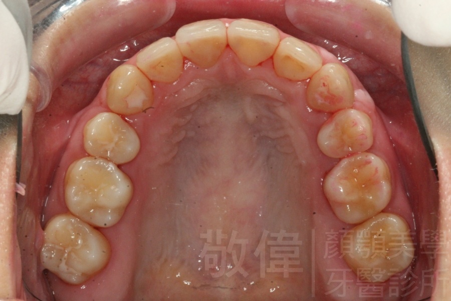
齒顏矯正/上顎暴牙且牙齒極度混亂

 
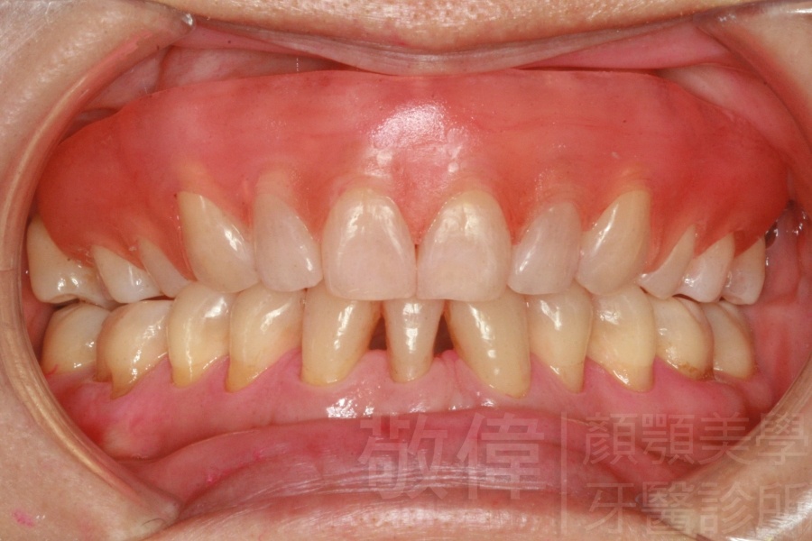
矯正前-右   矯正前-正   矯正前-左
矯正後-右   矯正後-正   矯正後-左
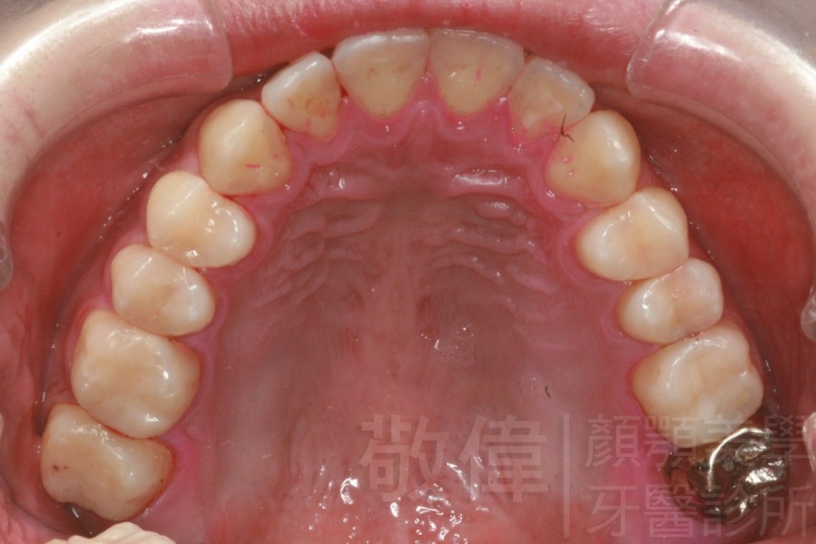
矯正前-上   矯正前-下
矯正後-上   矯正後-下
<個案說明>
  上顎暴牙且牙齒極度混亂,經由矯正之後,臉型大幅度改善,牙齒的排列更加的整齊健康。相較於之前眼神充滿精神,自信心展現無遺。

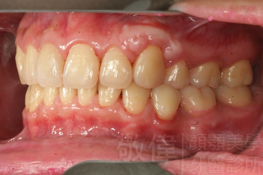
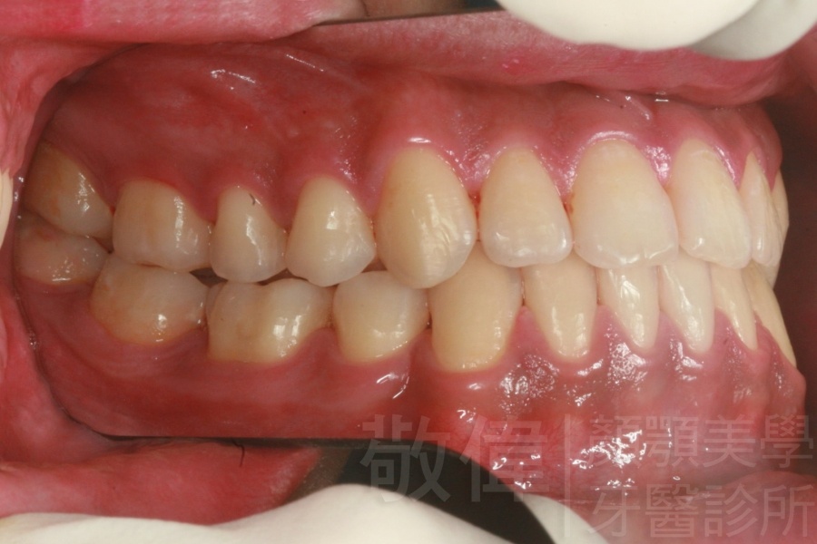
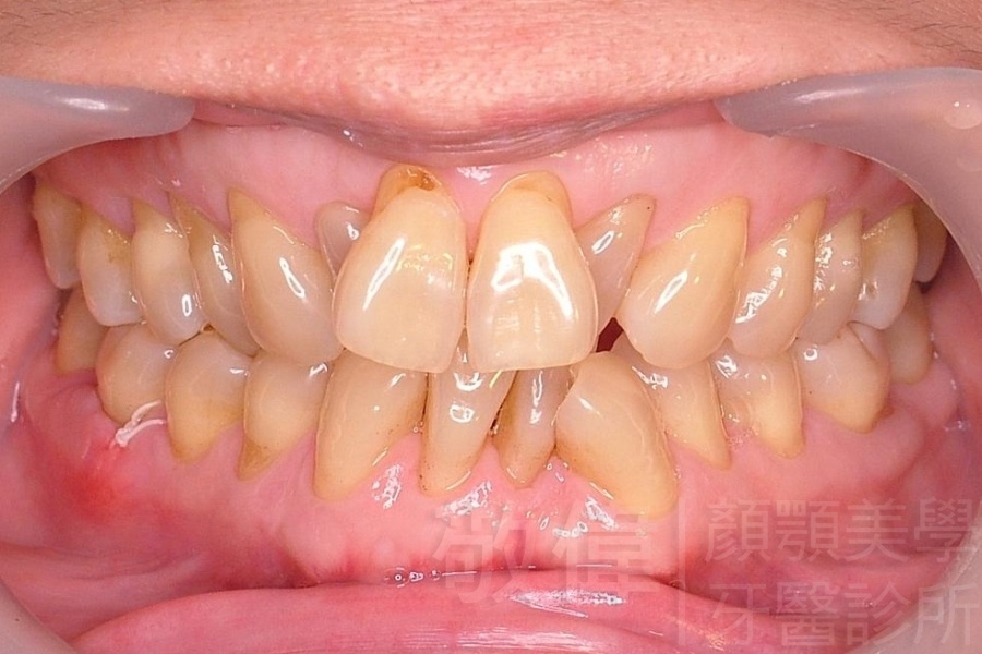
齒顏矯正/戽斗臉型 變身 大帥哥

 
矯正前-右   矯正前-正   矯正前-左
矯正後-右   矯正後-正   矯正後-左
矯正前-上   矯正前-下
矯正後-上   矯正後-下
<個案說明>
  戽斗(學名第三級咬合 class III)矯正之後,戽斗的樣子就比較沒有了。最主要的改變是在牙齒的咬合。從側面比較,治療前、治療後的臉型 可更明顯看出來 戽斗的感覺 減少了很多。

敬偉牙醫診所