| 編號 | | | 治療項目 | | | 標題 |
|---|---|---|---|---|
| 11 | 齒顏矯正 | 翹嘴小妹妹 變身 青春小淑女 | ||
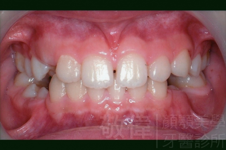
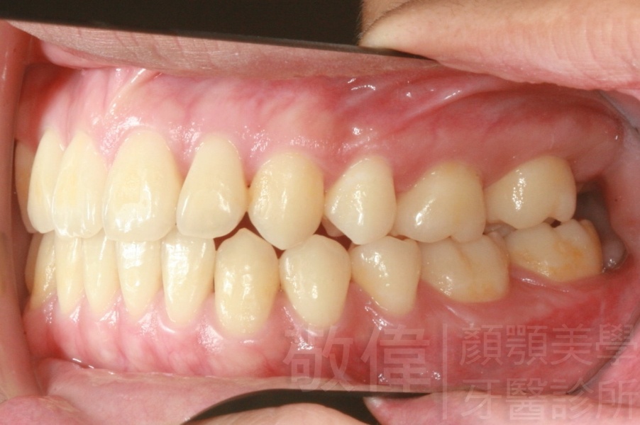
| 12 | 齒顏矯正 | 讓患者從大暴牙變成大帥哥 | ||
| 13 | 齒顏矯正 | 乳臭未乾的翹翹唇,變成含羞待放的靚妹 | ||
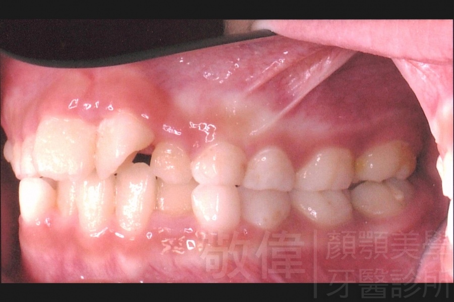
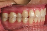
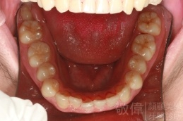
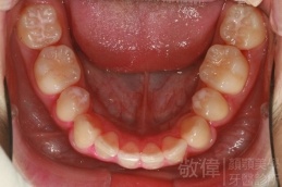
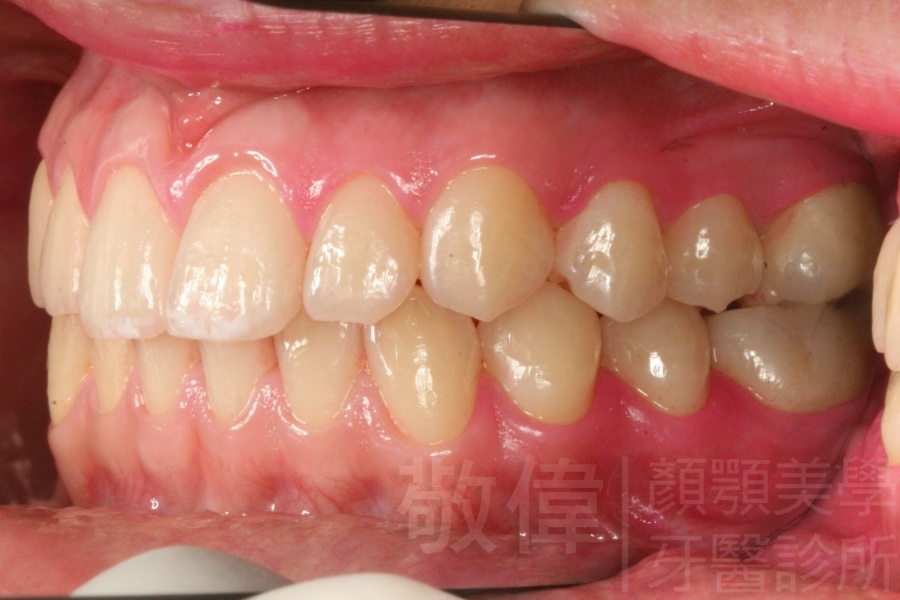
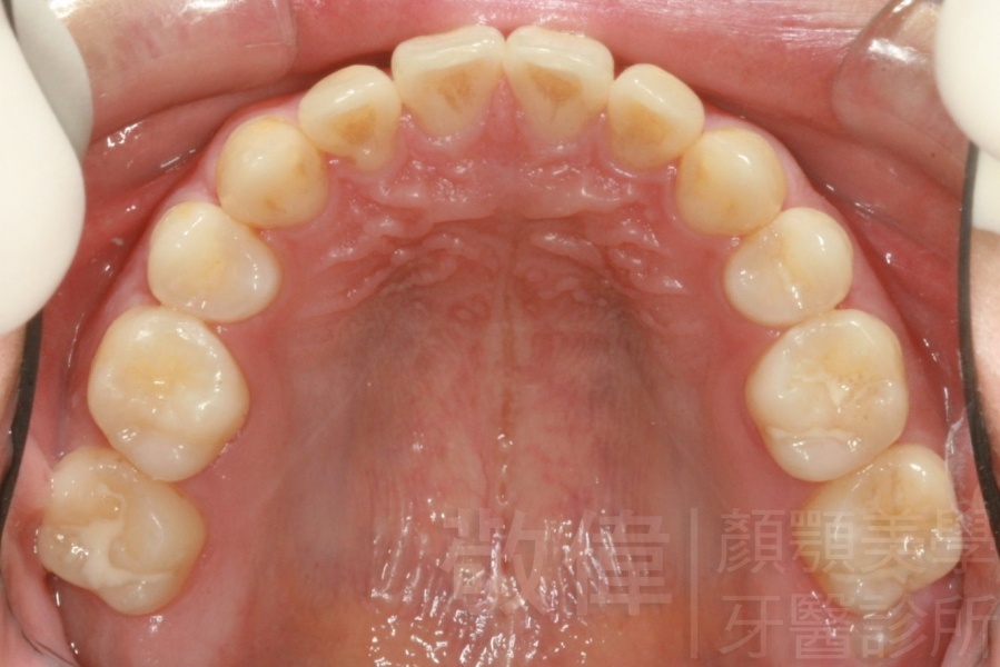
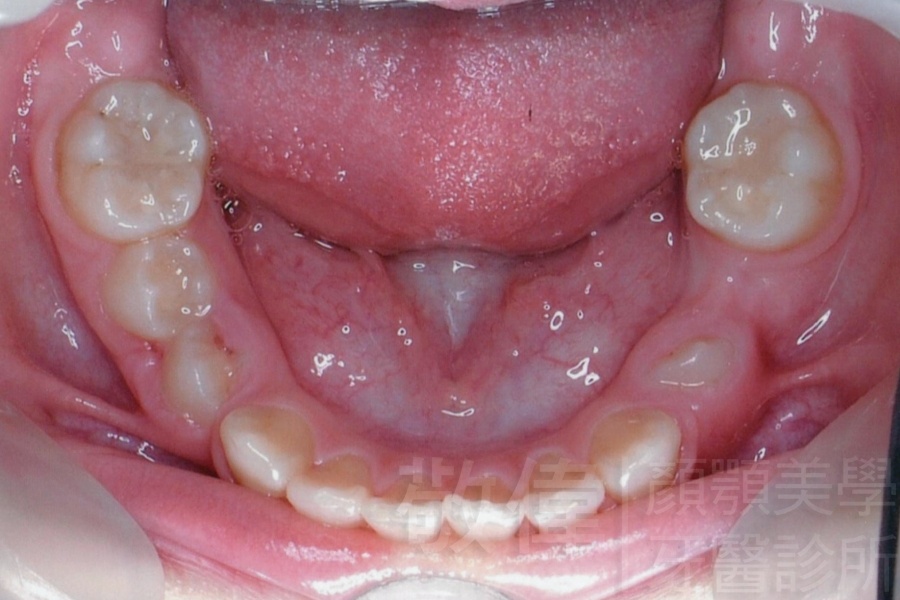
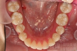
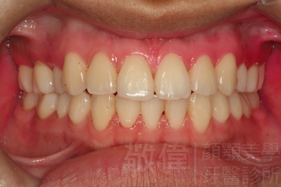
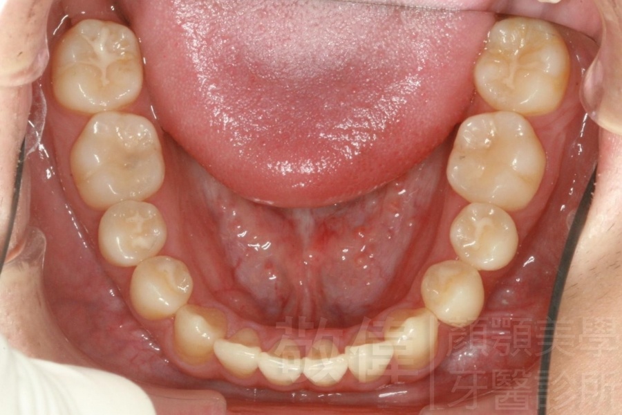
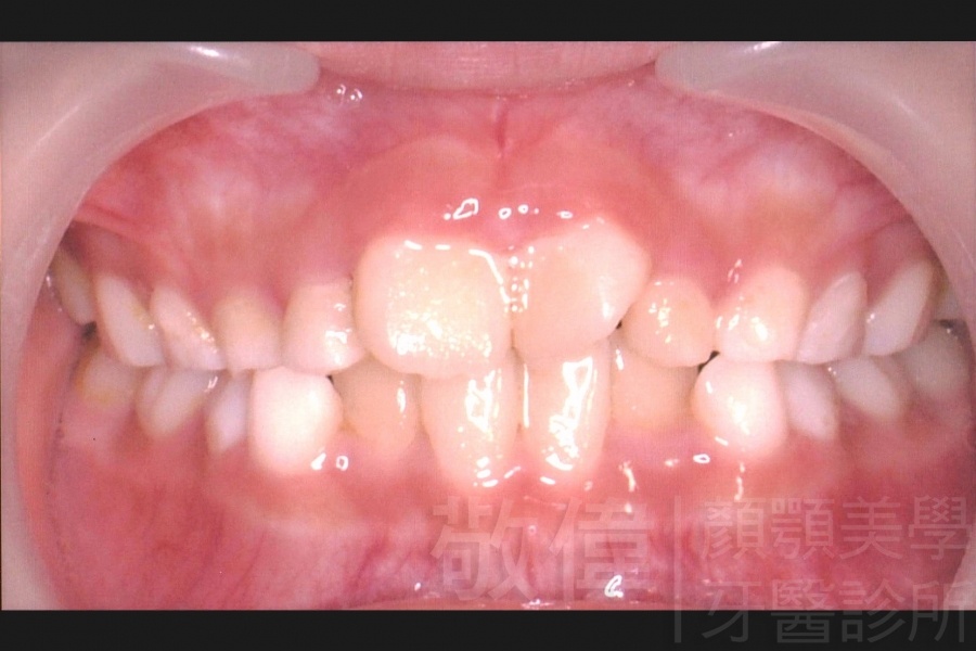
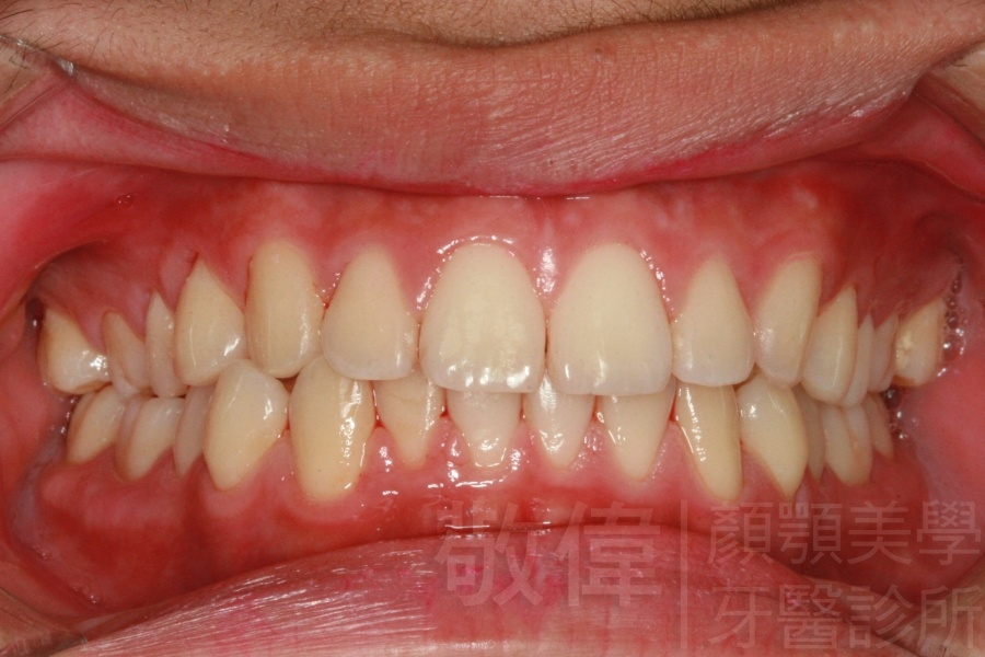
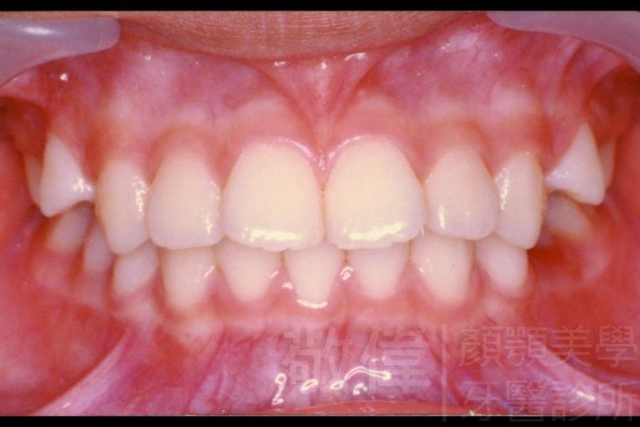
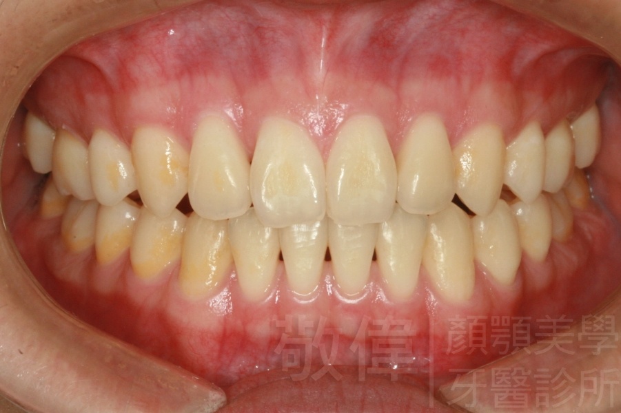
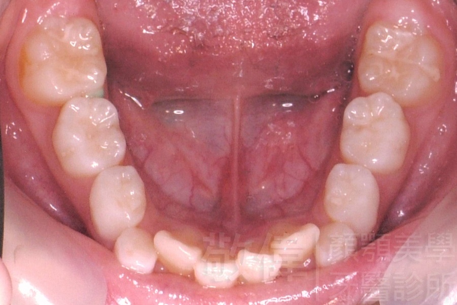
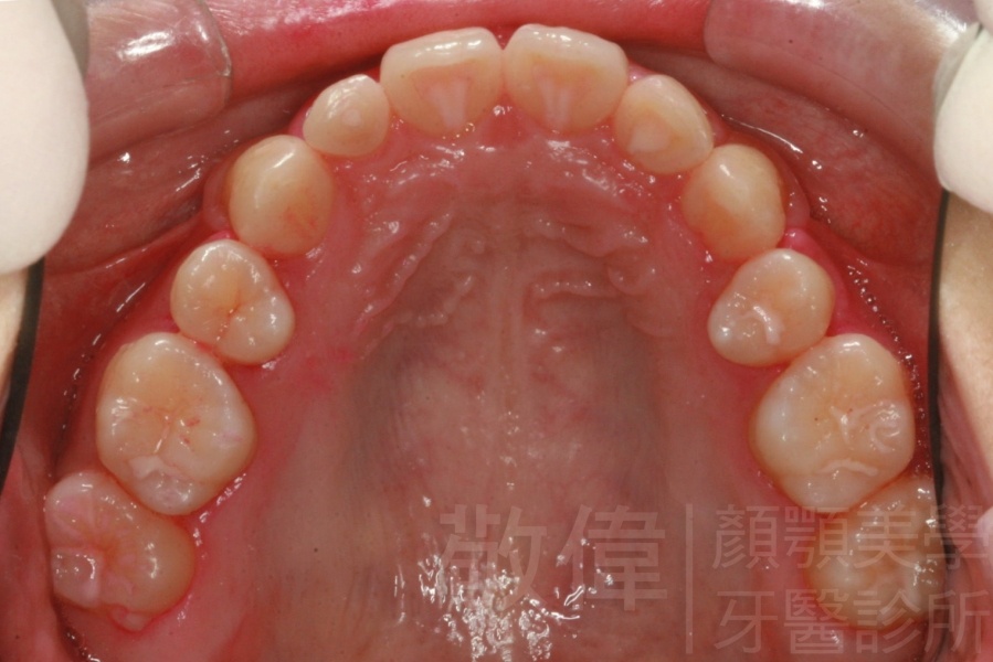
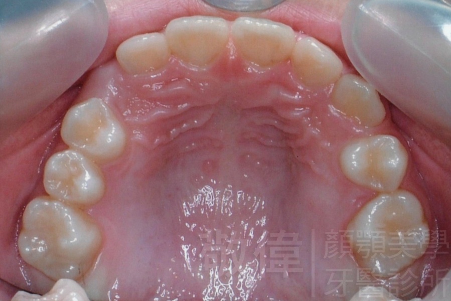
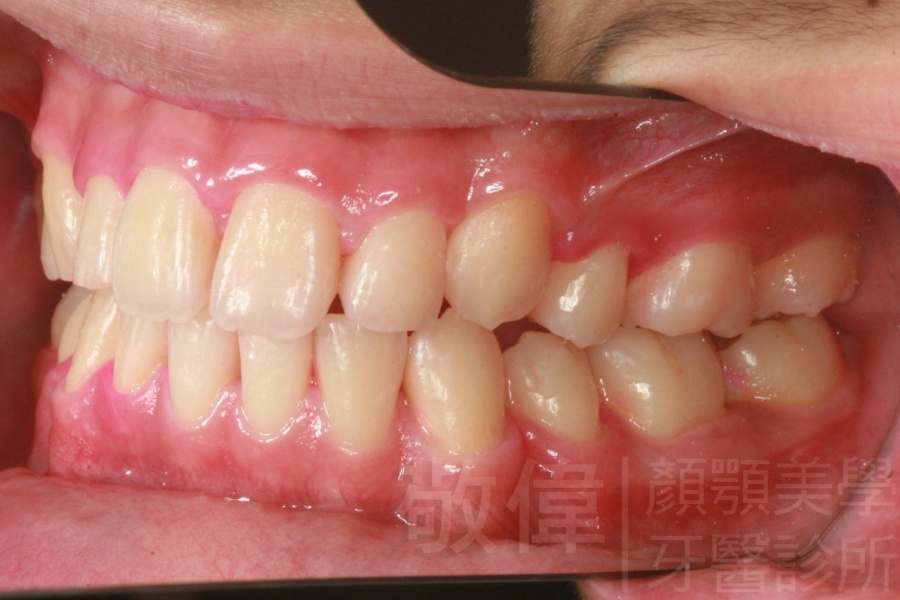
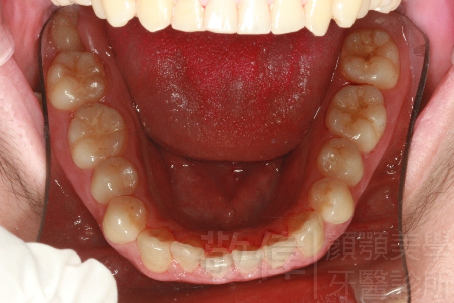
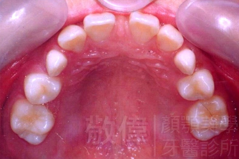
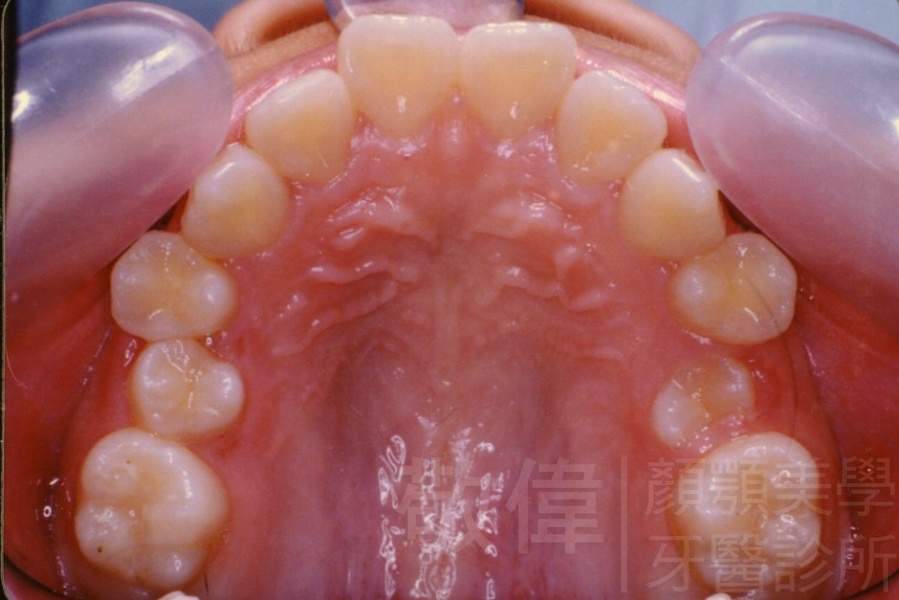
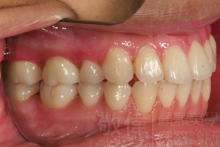
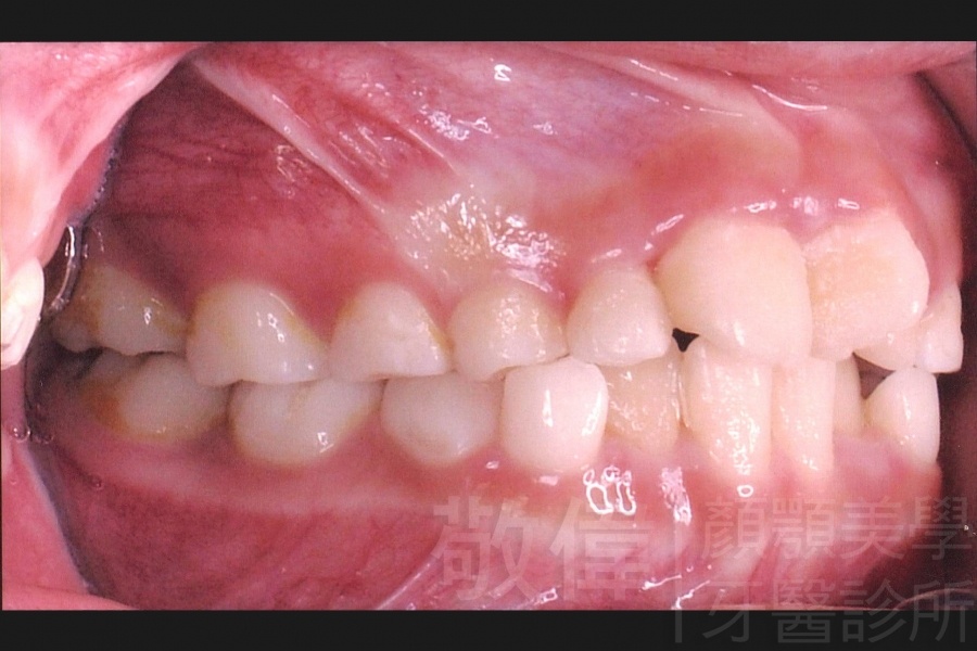
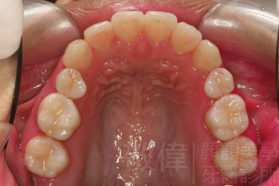
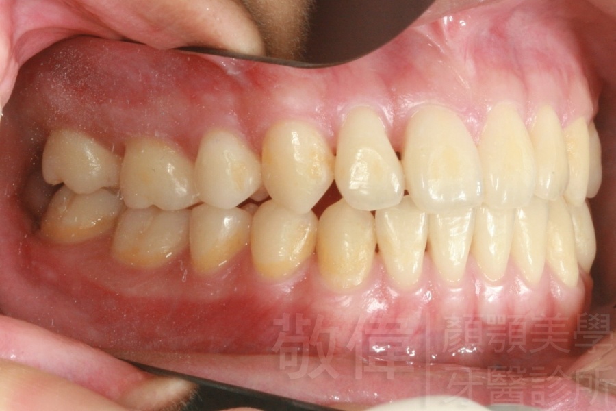
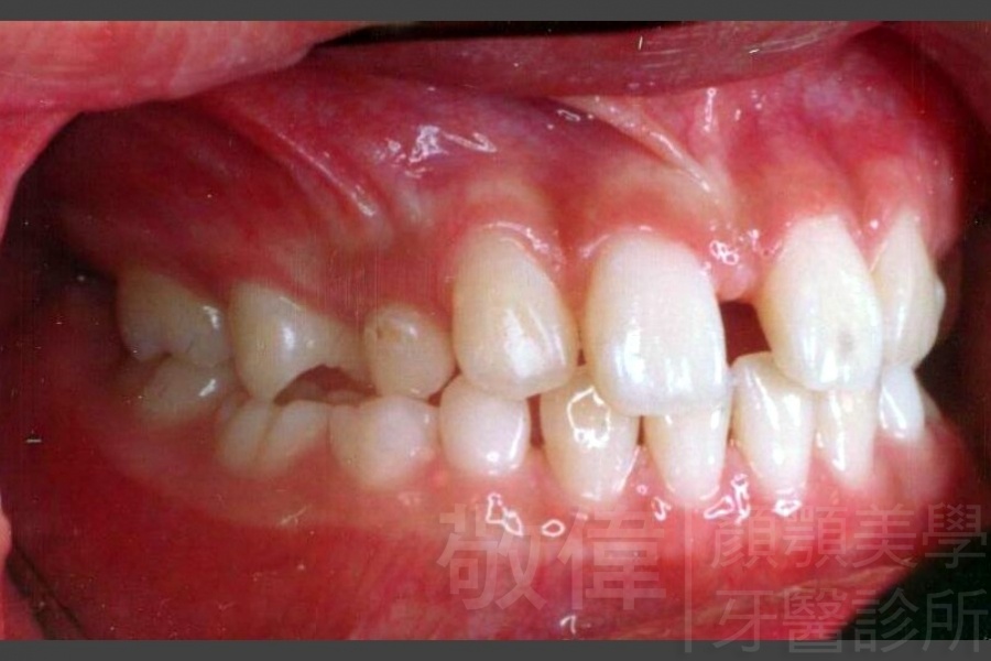
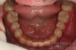
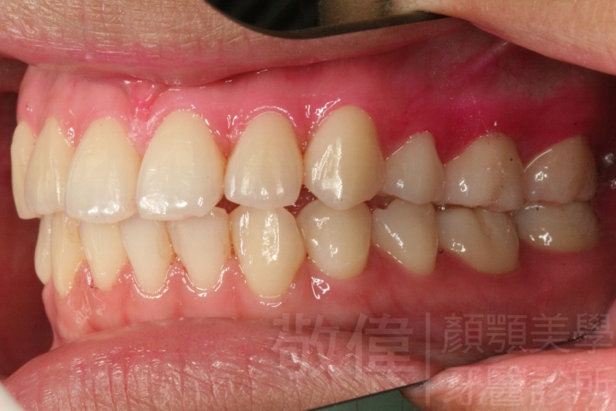
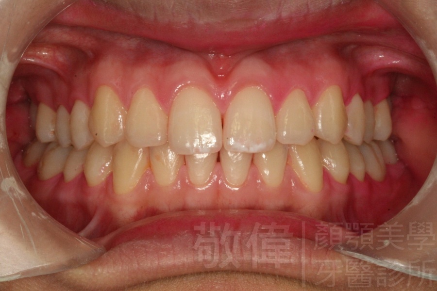
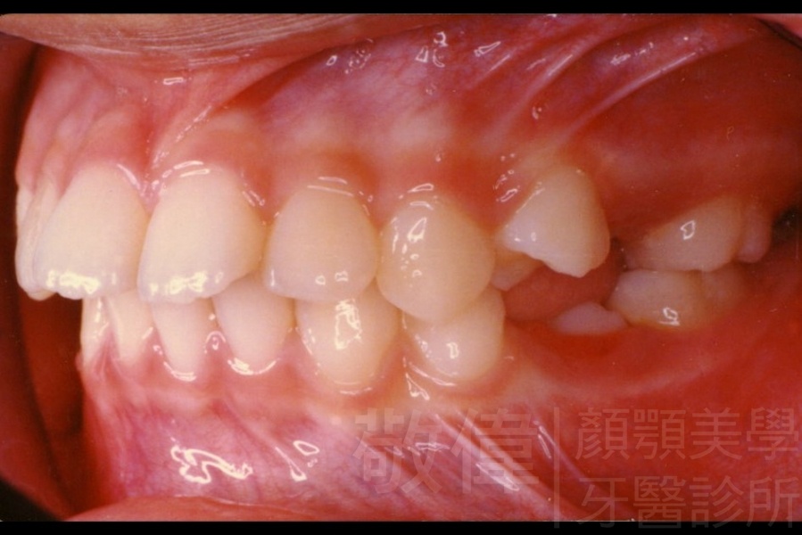
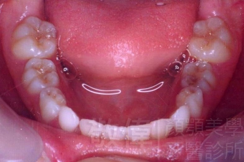
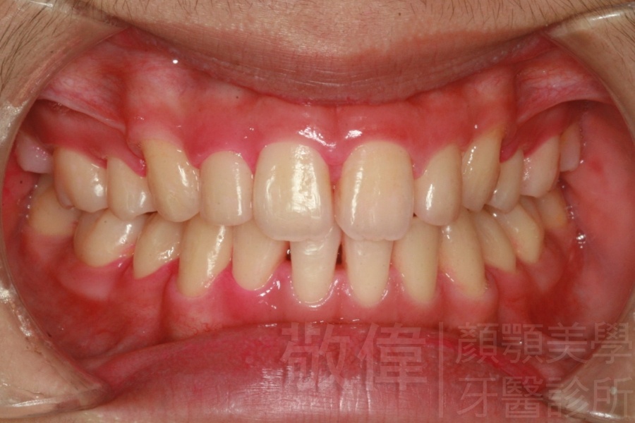
| 14 | 齒顏矯正 | 亂亂牙齒,干擾我的笑容 | ||
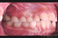
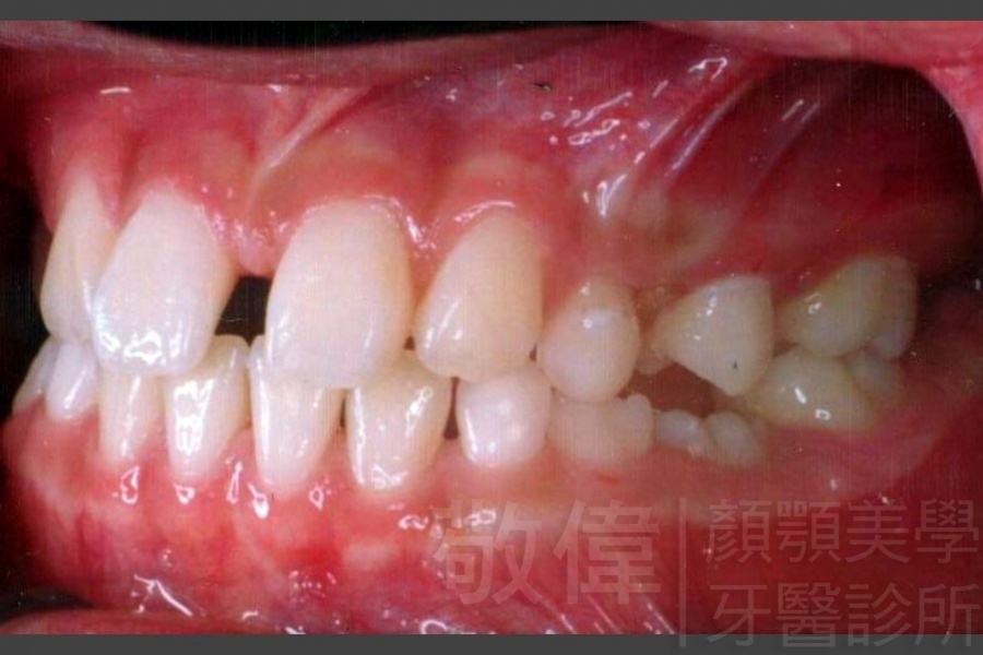
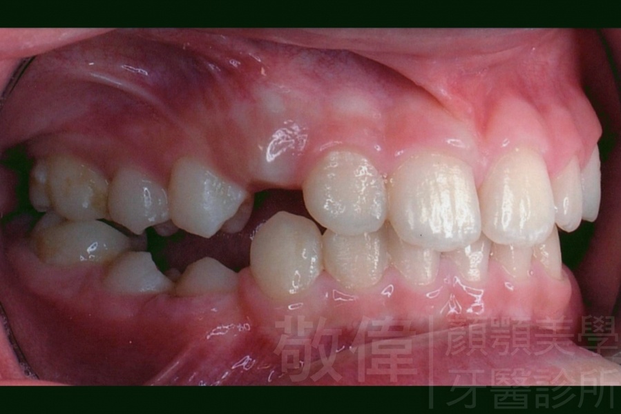
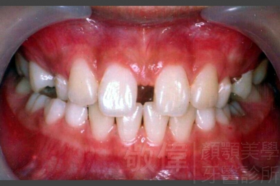
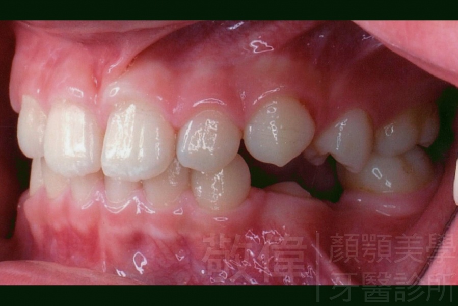
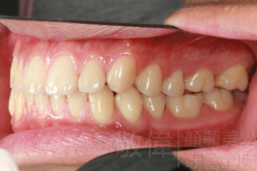
| 15 | 齒顏矯正 | 牙縫弟 變 大帥哥 |
齒顏矯正/翹嘴小妹妹 變身 青春小淑女
齒顏矯正/讓患者從大暴牙變成大帥哥
齒顏矯正/乳臭未乾的翹翹唇,變成含羞待放的靚妹
齒顏矯正/亂亂牙齒,干擾我的笑容
齒顏矯正/牙縫弟 變 大帥哥

| 編號 | | | 治療項目 | | | 標題 |
|---|---|---|---|---|
| 11 | 齒顏矯正 | 翹嘴小妹妹 變身 青春小淑女 | ||
| 12 | 齒顏矯正 | 讓患者從大暴牙變成大帥哥 | ||
| 13 | 齒顏矯正 | 乳臭未乾的翹翹唇,變成含羞待放的靚妹 | ||
| 14 | 齒顏矯正 | 亂亂牙齒,干擾我的笑容 | ||
| 15 | 齒顏矯正 | 牙縫弟 變 大帥哥 |
