| 編號 | | | 治療項目 | | | 標題 |
|---|---|---|---|---|
| 6 | 齒顏矯正 | 連3歲的小姪女都說~讚 | ||
| 7 | 齒顏矯正 | 戽斗、亂牙、爛牙,變身 免植牙的健牙美女 | ||
| 8 | 齒顏矯正 | 戽斗粗擴男,變韻味型男 | ||
| 9 | 齒顏矯正 | 暴牙憨厚妹 變成 人氣正妹 大作戰 | ||
| 10 | 齒顏矯正 | 變臉矯正-月亮妹 變身 陽光正妹 |
齒顏矯正/連3歲的小姪女都說~讚
齒顏矯正/戽斗、亂牙、爛牙,變身 免植牙的健牙美女
齒顏矯正/戽斗粗擴男,變韻味型男
齒顏矯正/暴牙憨厚妹 變成 人氣正妹 大作戰
齒顏矯正/變臉矯正-月亮妹 變身 陽光正妹
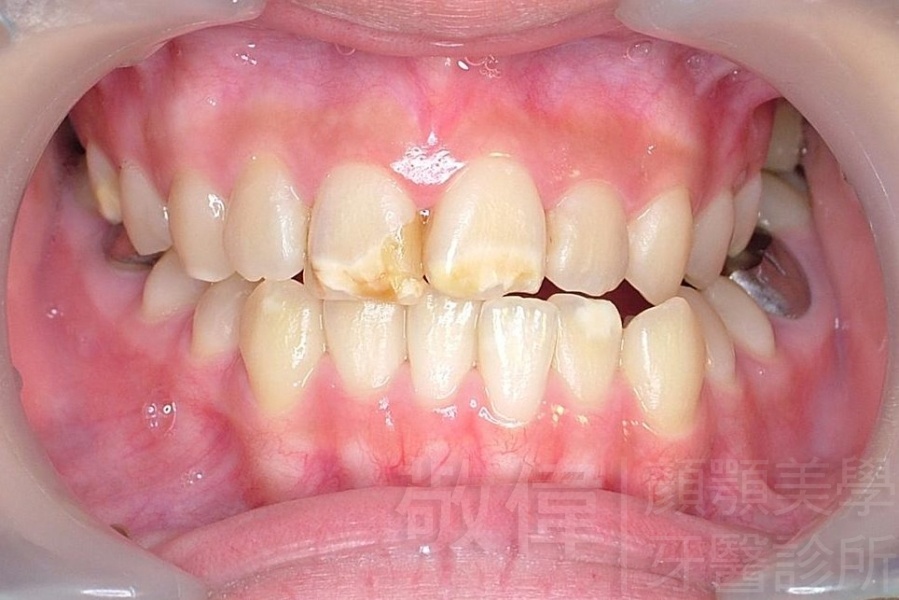
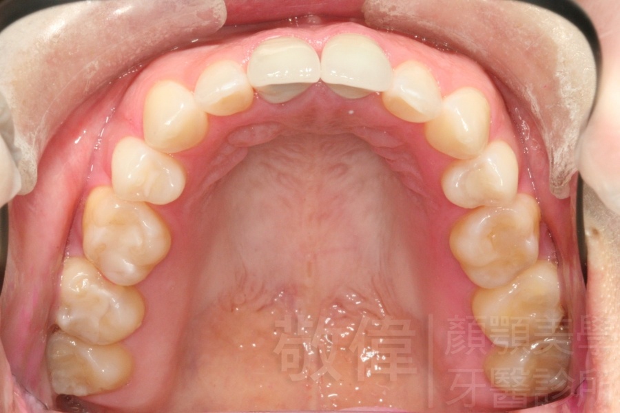
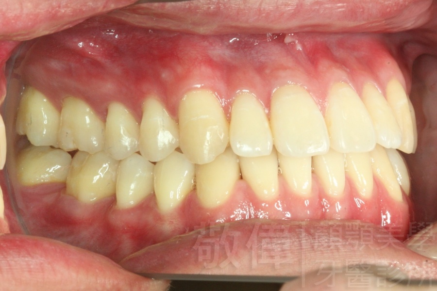
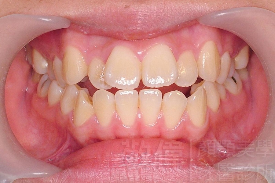
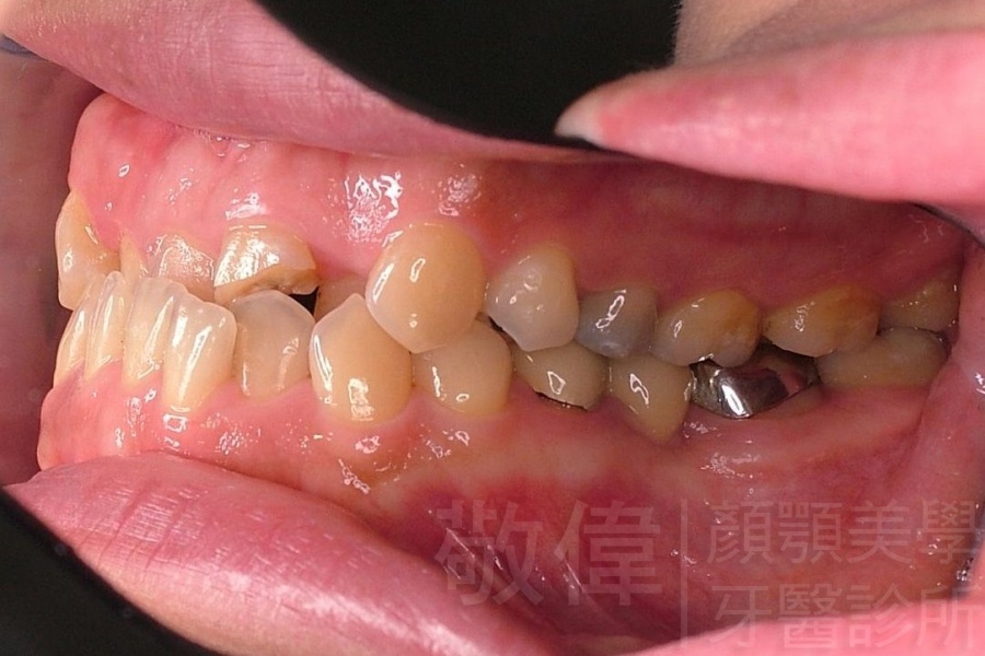
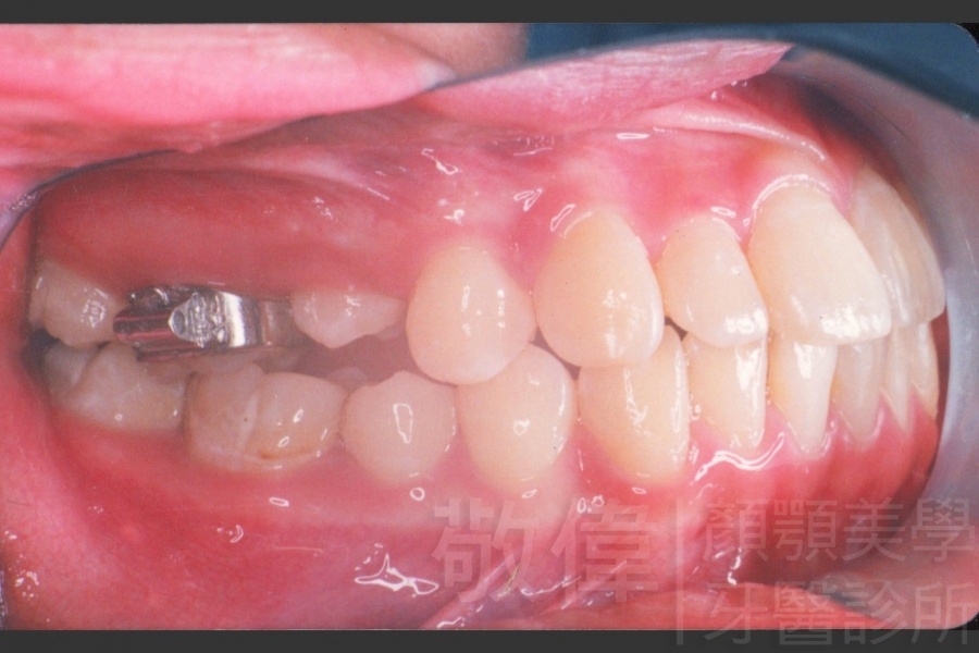
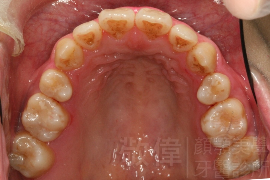
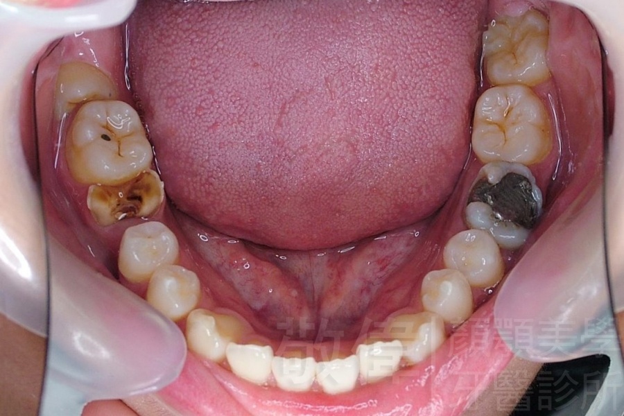
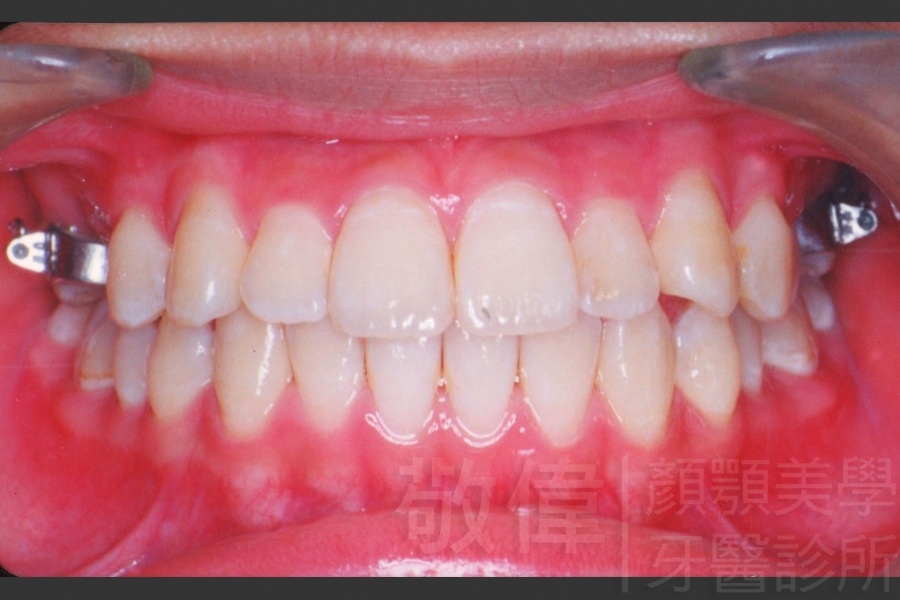
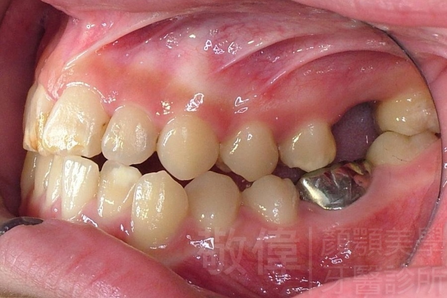
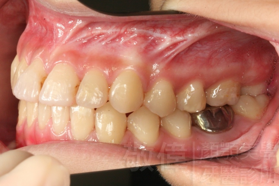
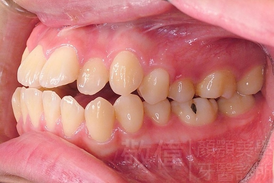
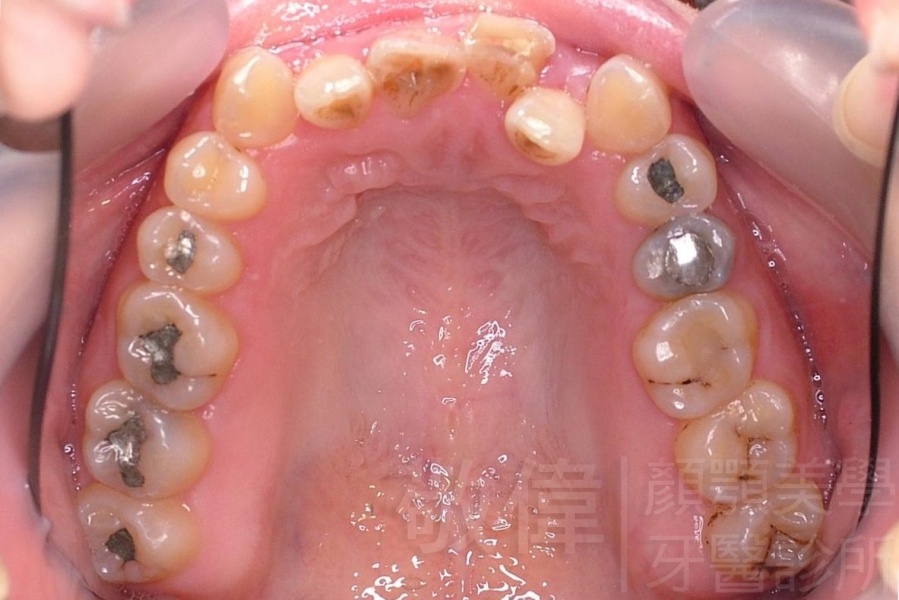
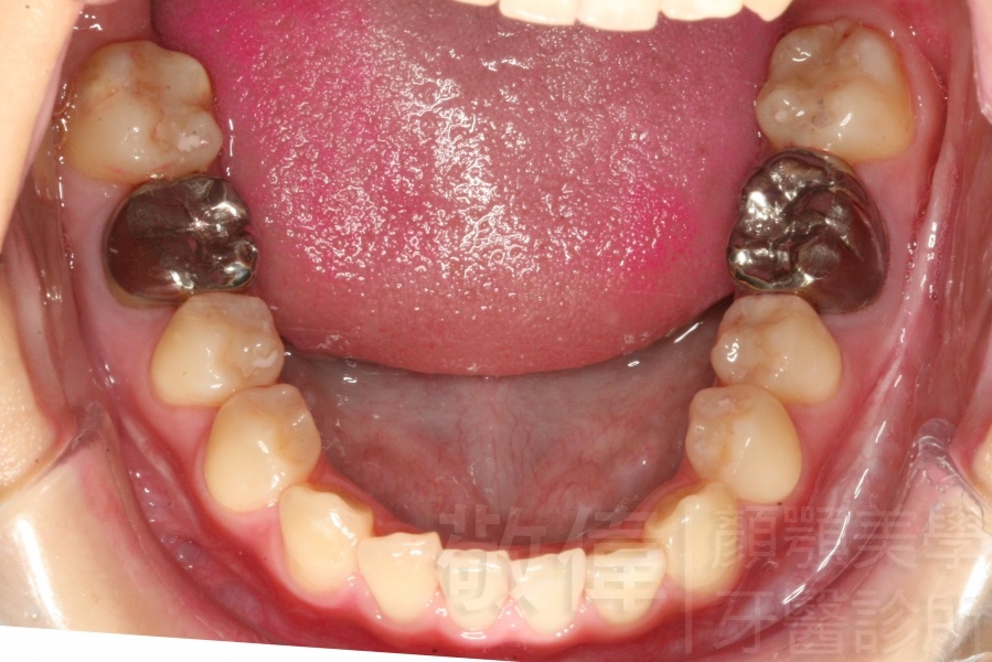
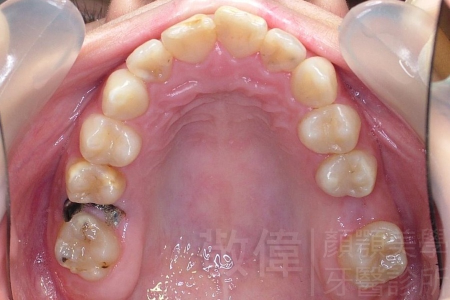
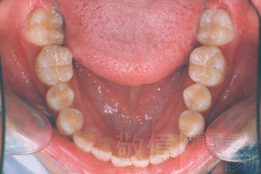
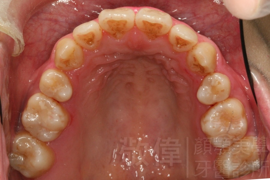
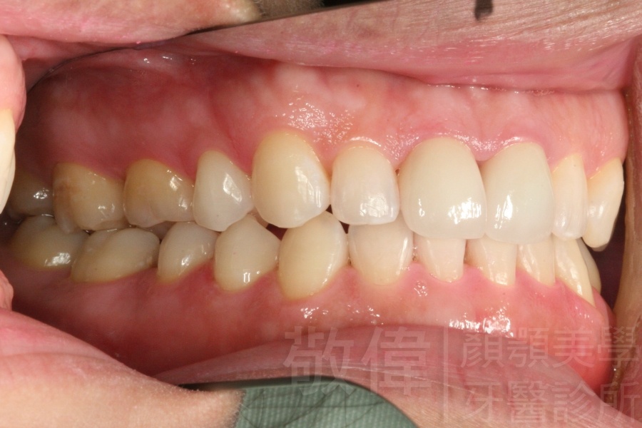
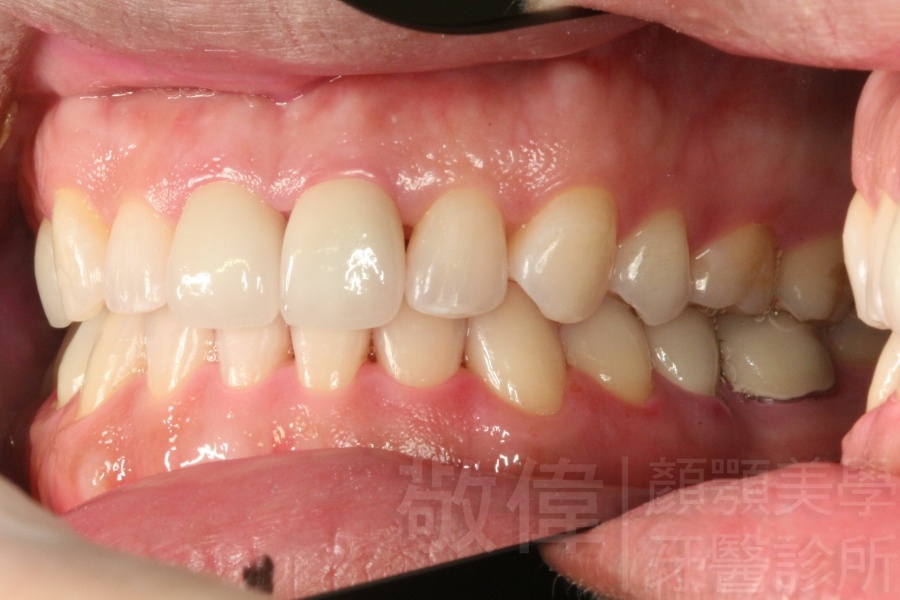
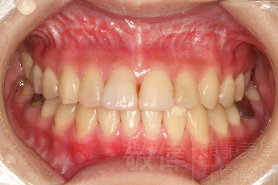
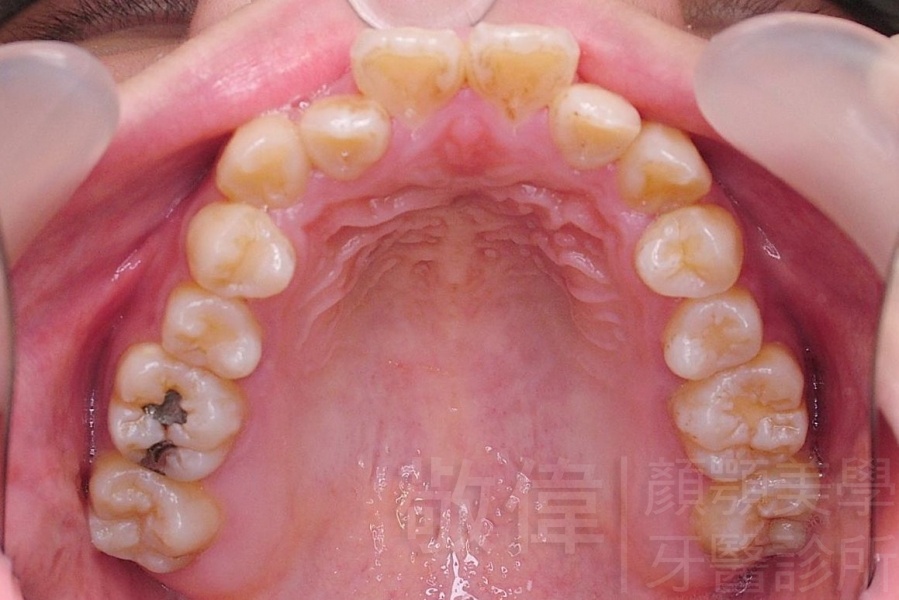
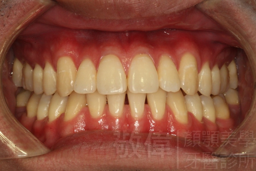
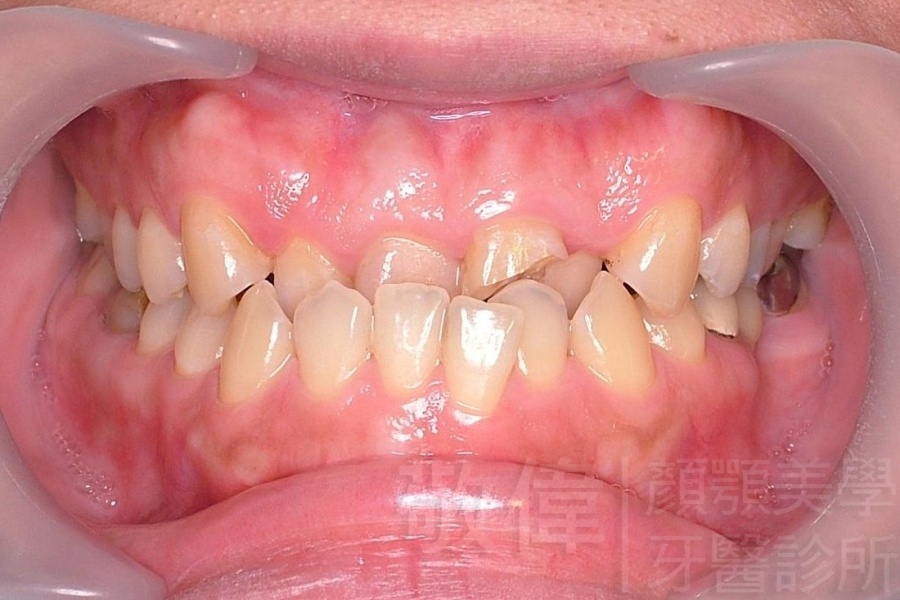
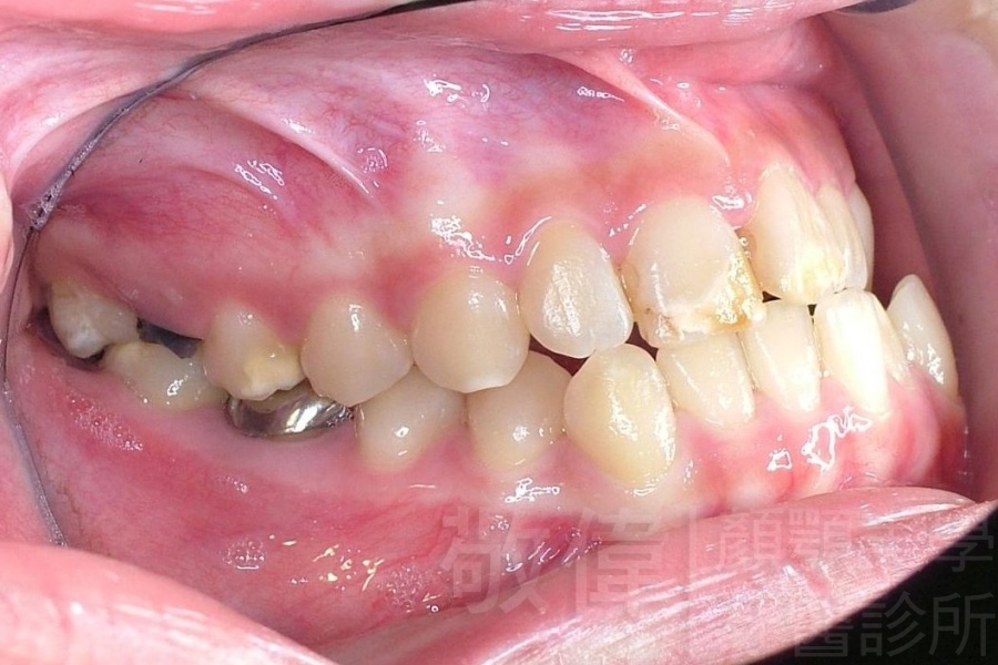
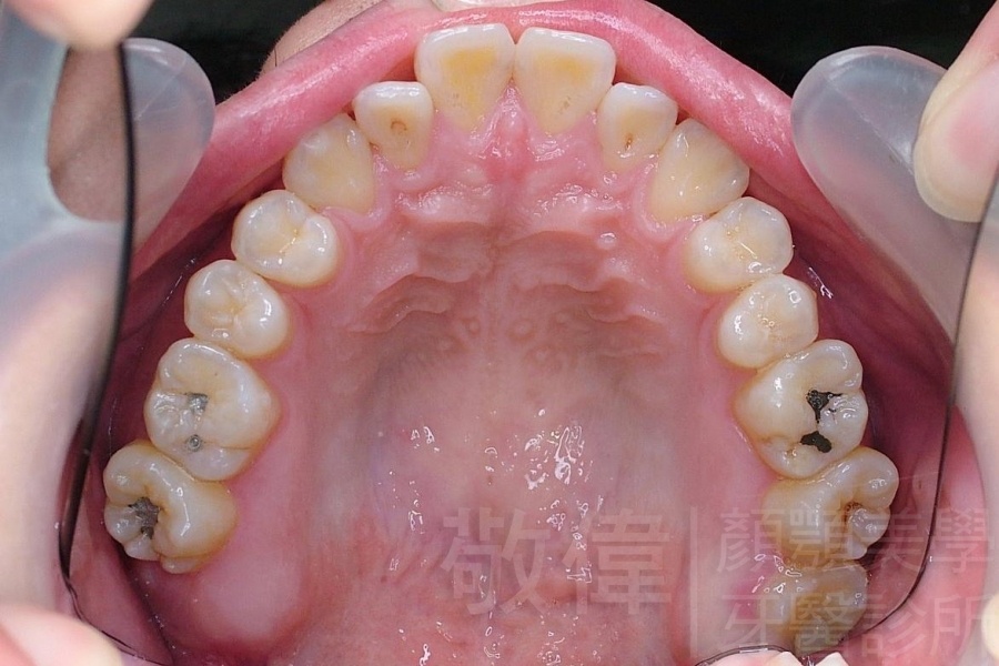
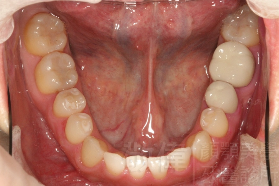
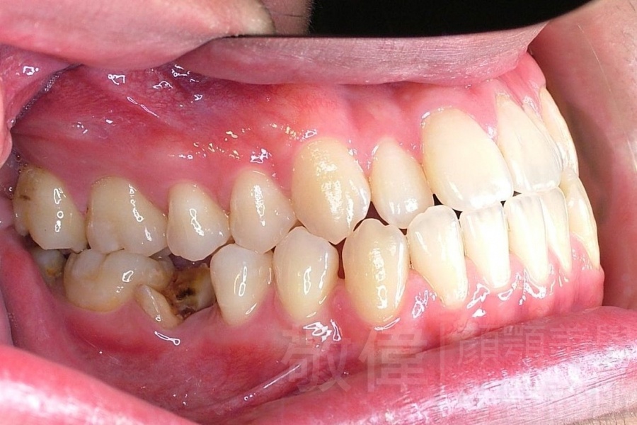
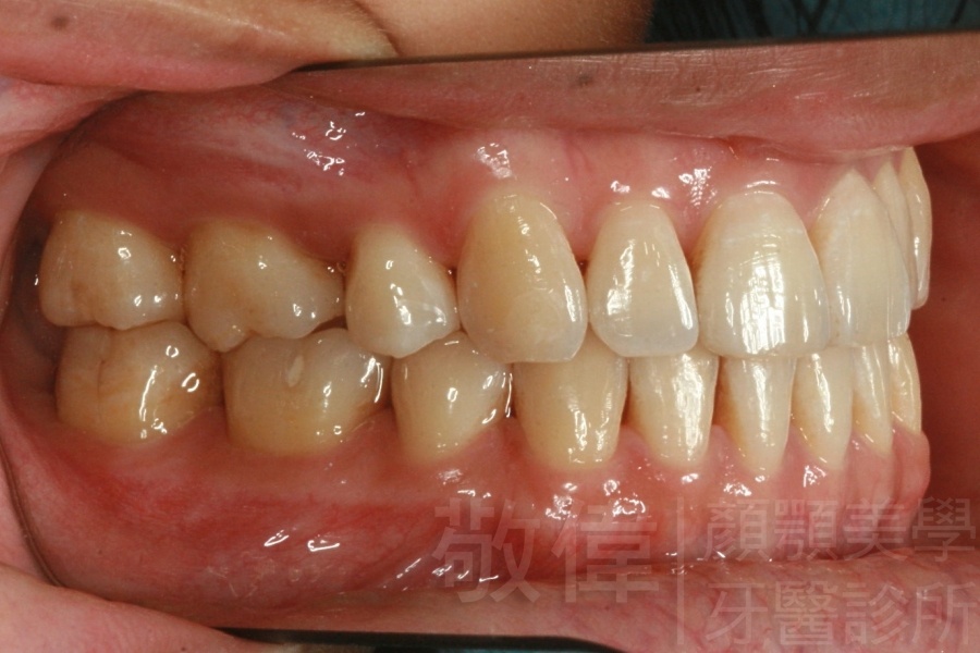
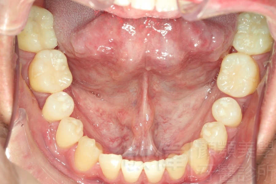
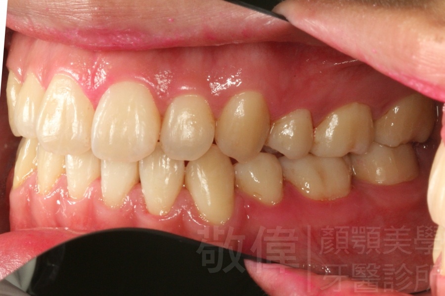
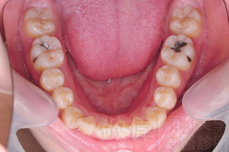
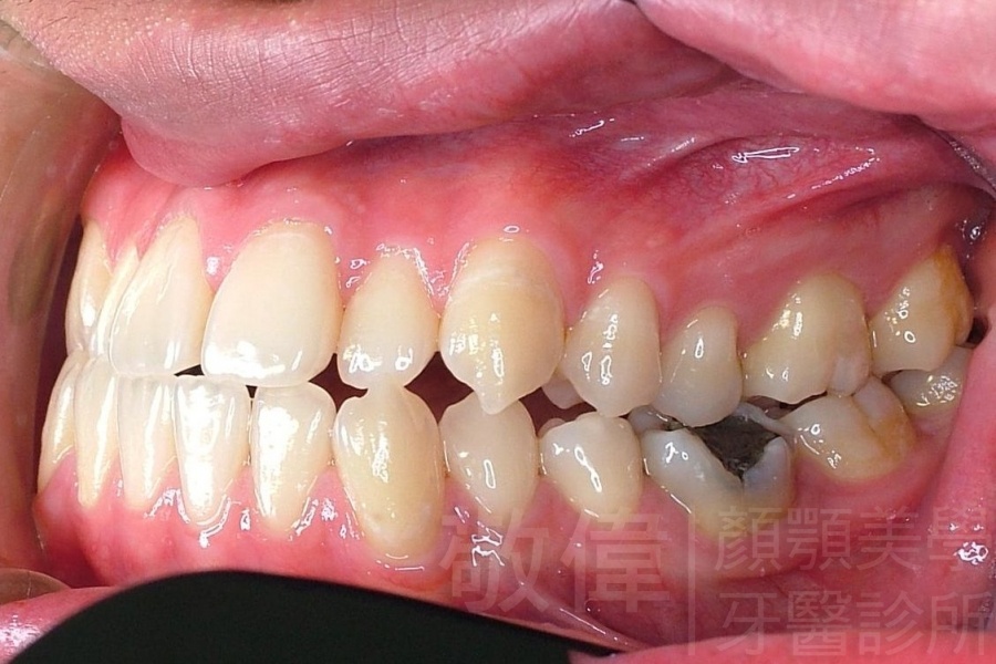
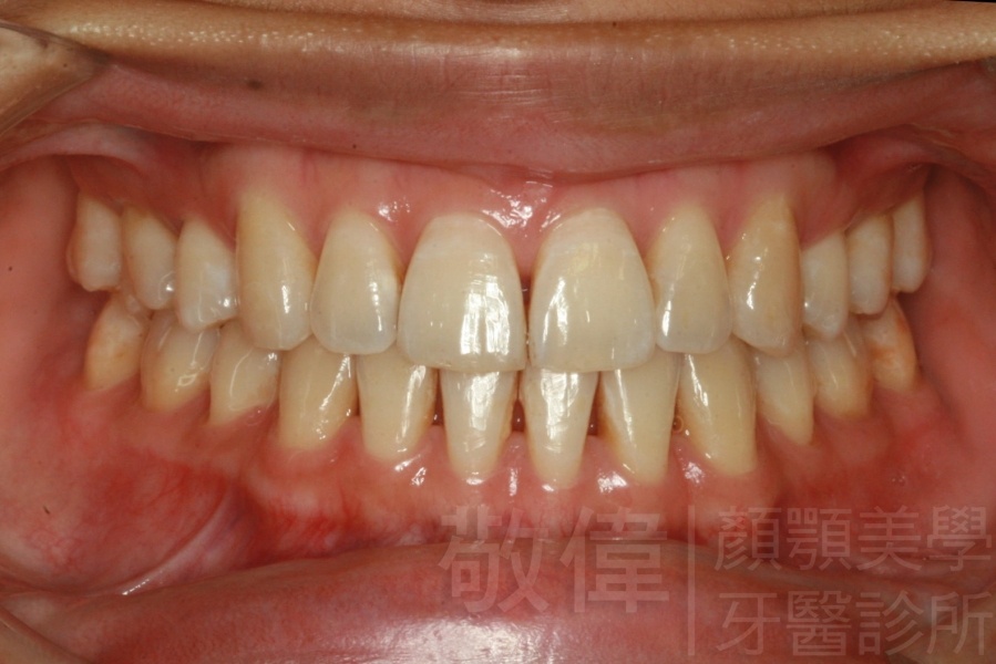
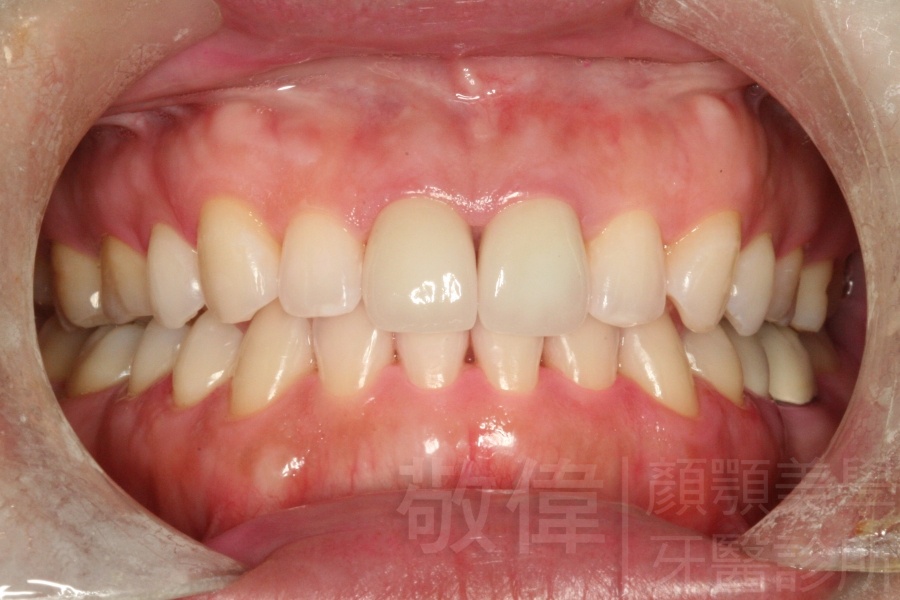
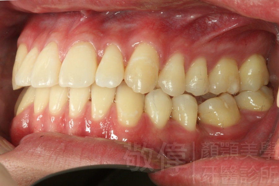
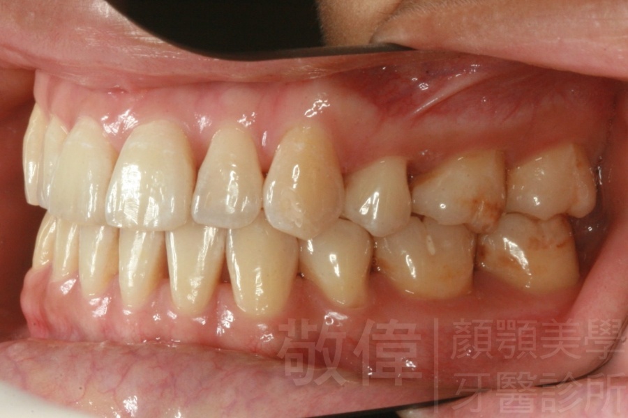
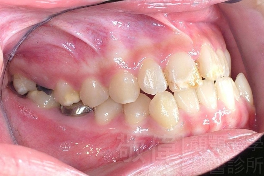
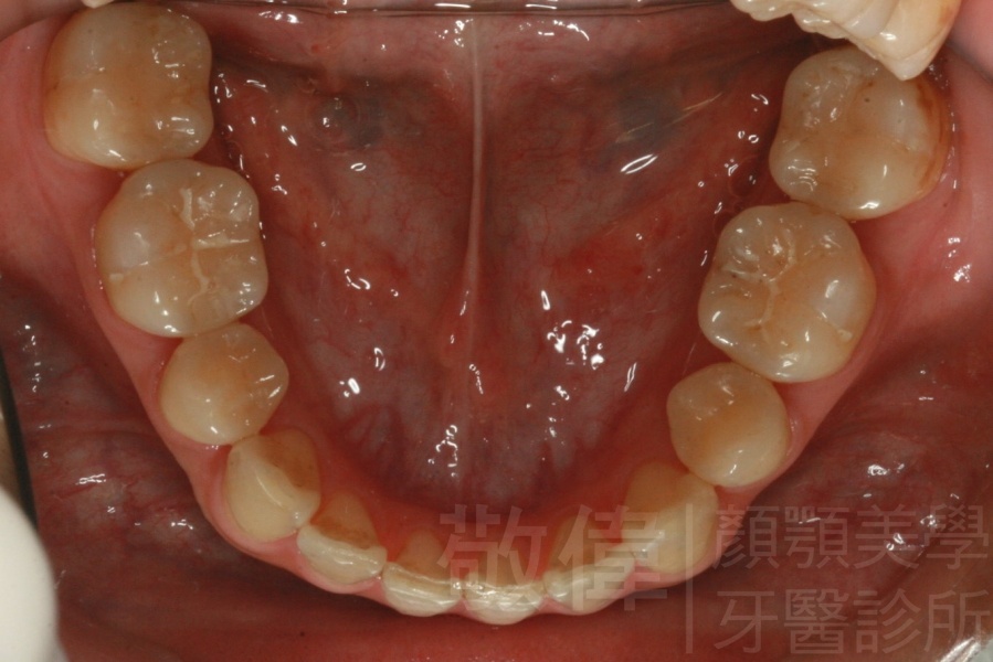
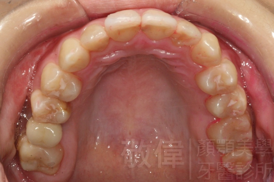
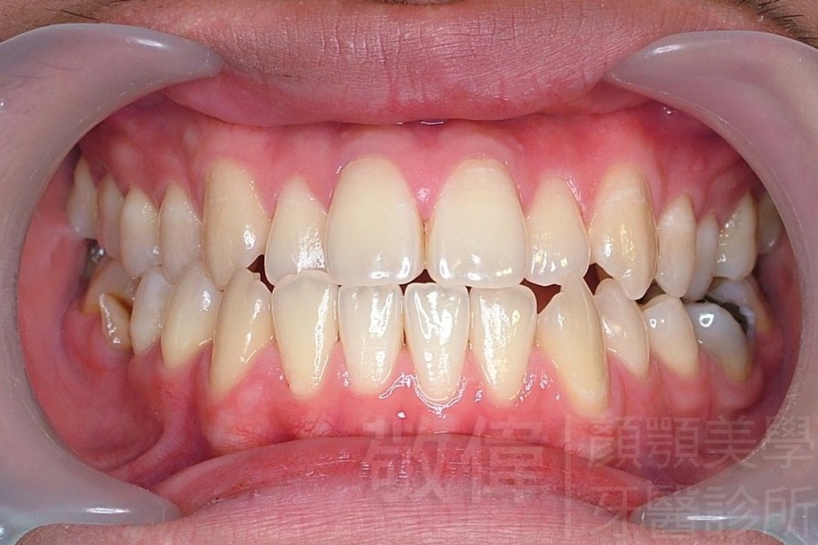
<個案說明>
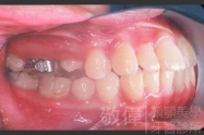
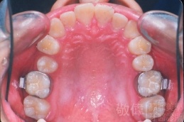
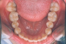
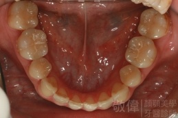
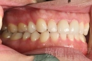
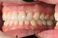
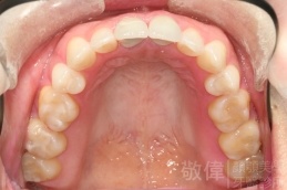
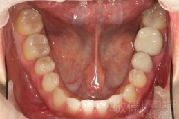
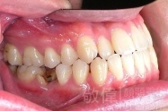
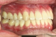
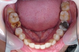
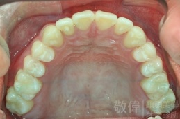
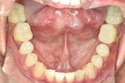
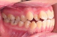
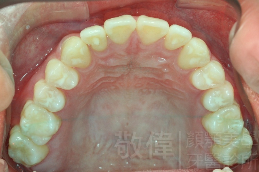
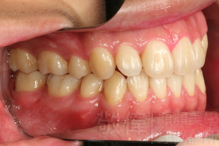
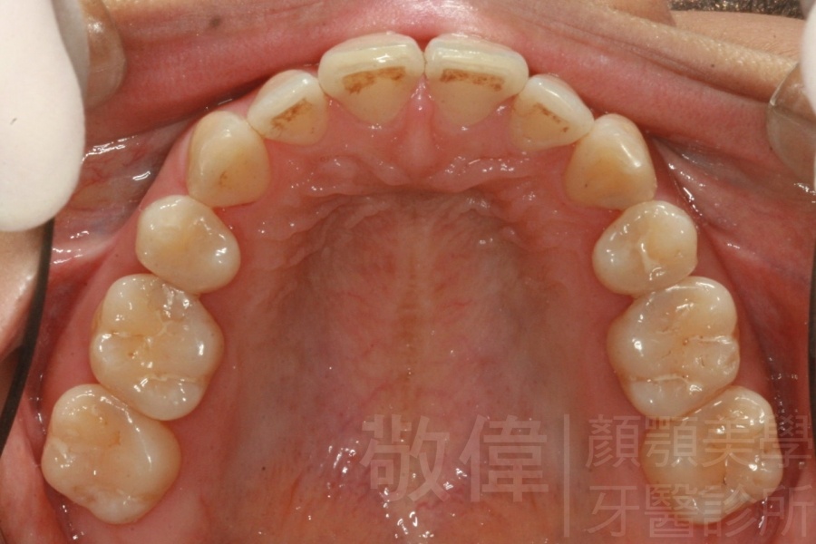
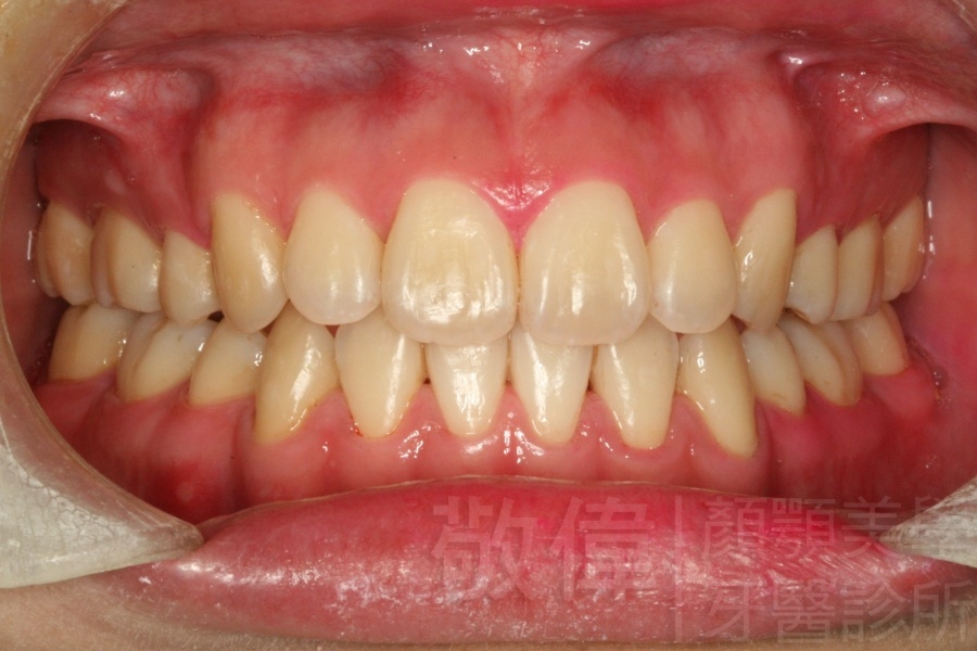
變臉矯正,原來戽斗妹跟大歪臉變成自信正妹
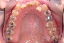
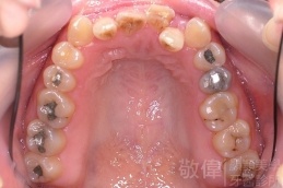
經由本院3D數影X光影像儀分析、與3D齒顎顏矯正技術,再配合口腔顎面正顎專科醫師施以正顎手術治療,雙方共同合作,使患者臉部外觀有很好的改善,大歪變小歪,產生了天南地北的大改變,她的人生也整個變得不一樣。
經由本院3D數影X光影像儀分析、與3D齒顎顏矯正技術,再配合口腔顎面正顎專科醫師施以正顎手術治療,雙方共同合作,使患者臉部外觀有很好的改善,大歪變小歪,產生了天南地北的大改變,她的人生也整個變得不一樣。
因為矯正與正顎手術的配合,使「戽斗妹」變成了「陽光正妹」,完全的改變了她的人生,在面對各種場合、與人交際都散發出自信微笑。所以,奉勸家長,如果小朋友有臉顎畸型的問題,應該考慮配合做這種簡單、安全、有效的正顎手術。
「3D齒顎顏矯正」,不止矯正您的牙齒,也會改變您的人生。「治療前」和「治療後」出社會的人生際遇一定會截然不同。










































































昶遠資訊 牙醫234