| 編號 | | | 治療項目 | | | 標題 |
|---|---|---|---|---|
| 11 | 前牙美容 | 快速矯正之美容晶瓷貼片 | ||
| 12 | 前牙美容 | 晶鑽全瓷冠前牙美容 | ||
| 13 | 前牙美容 | 晶鑽全瓷冠前牙美容 | ||
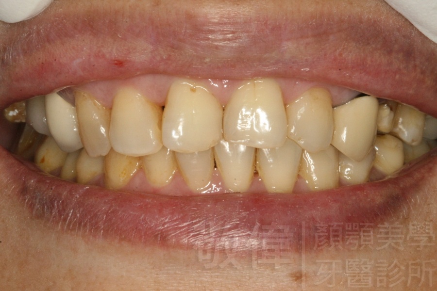
| 14 | 前牙美容 | 牙周病入侵,牙冠下的牙齒已爛 | ||
| 15 | 前牙美容 | 門牙和牙齦綘隙影響美觀 |
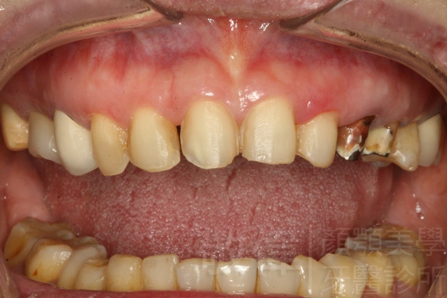
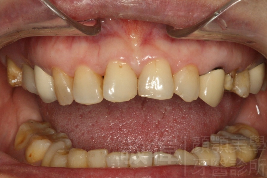
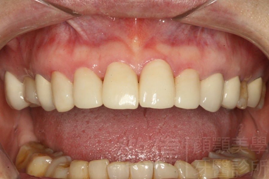
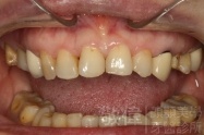
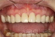
前牙美容/晶鑽全瓷冠前牙美容

| 編號 | | | 治療項目 | | | 標題 |
|---|---|---|---|---|
| 11 | 前牙美容 | 快速矯正之美容晶瓷貼片 | ||
| 12 | 前牙美容 | 晶鑽全瓷冠前牙美容 | ||
| 13 | 前牙美容 | 晶鑽全瓷冠前牙美容 | ||
| 14 | 前牙美容 | 牙周病入侵,牙冠下的牙齒已爛 | ||
| 15 | 前牙美容 | 門牙和牙齦綘隙影響美觀 |
